Cancer and the Cavalier King Charles Spaniel
-
What It Is - Forms of Dog Cancers
- Forms of Benign Tumors
- Causes
- Neutering or Not
- Symptoms
- Diagnosis
- Treatment
- Research News
- Related Links
- Veterinary Resources
While many cavalier King Charles spaniels develop cancer, and it is the breed's second leading cause of death, few forms of cancer are more common in the CKCS than in other purebred breeds of dogs. The ones that are include anal sac gland carcinoma, squamous cell carcinoma, and diffuse large B-cell lymphoma (DLBCL), and are discussed below.
Here, we provide information about the forms of cancer most common to dogs, and to cavaliers in particular, as well as the causes of those cancers, if known, and current treatments. There are several other websites with far more detailed information on the topics of canine cancer. See Related Links below.
RETURN TO TOP
What It Is
Cancer is a mutation of genes which normally control the growth of cells in the dog's body. Cancer appears as the uncontrolled growth and division of abnormal cells and which are able to invade other tissues.
There are several types of cancer, including carcinoma (which begins in the skin or in tissues that line or cover internal organs), sarcoma (which begins in connective or supportive tissue, such as bone, muscle, cartilage, and blood vessels), leukemia (which begins in the bone marrow or other blood cell producing tissues and causes abnormal blood cells to enter the blood), lymphoma and myeloma (which begin in the cells of the immune system), mastocytoma (which begins on the skin), and central nervous system cancers (which begin in the brain and spinal cord), such as meningioma and neuroblastoma. There are other forms in addition to these.
A cancer often is named for the organ in which it first appears, but it can spread to other parts of the body through the blood system and lymph system. It starts as a mutation of a cell, likely due to radiation or chemical damage or a change in the cell's genetic material. A mutation can affect the normal growth of that cell and its division into new cells, which also are mutated.
The mutated cells may form a mass, called a tumor (a neoplasm), which could be either malignant or benign. A benign tumor is not cancerous and often can be removed and not grow back or spread to other organs. A malignant tumor is one which continues to grow, often rapidly, invading the function of the organ, and which may spread to other parts of the body (metastasis). These cells also are regressive, non-specialized, and display a loss of structural and functional differentiation of normal cells.
Not all cancerous cells form tumors. Leukemia, for example, spreads through the blood system without creating a tumor.
RETURN TO TOP
Forms of Dog Cancers
Some forms of cancer among dogs include:
• Osteosarcoma: This bone cancer may be discovered as a painful swelling within a bone, and is visible on an x-ray. However, it may already have grown so rapidly that it has spread to other organs, such as the lungs, by the time the swelling is first noticed. Osteosarcoma cells lack the strength of normal bone cells, and as they grow and replace the normal bone structure, they weaken the bone to the point that it will collapse.
• Lymphoma: Canine malignant lymphoma is a
progressive, fatal disease caused by the malignant clonal expansion of lymphoid
cells. Although lymphoid cell neoplastic transformation is not restricted to
specific anatomic compartments, lymphoma most commonly arises from organized
lymphoid tissues i
ncluding the bone marrow, thymus, lymph nodes, and spleen. In
addition to these primary and secondary lymphoid organs, common extranodal sites
include the skin, eye, CNS, testis, and bone. Lymphoma is reported to be the
most common hematopoietic neoplasm in dogs, with an incidence reported to
approach 0.1% in susceptible, older dogs. Despite the prevalence of malignant
lymphoma, its etiology remains poorly characterized. Hypothesized etiologies
include retroviral infection, environmental contamination with phenoxyacetic
acid herbicides, magnetic field exposure, chromosomal abnormalities, and immune
dysfunction.
A cavalier was included in a 2003 study of 25 dogs diagnosed with canine multicentric lymphoma, which also had chromosome imbalances.
In a 2012 study, researchers reported that diffuse large B-cell lymphoma (DLBCL) "is prevalent in Cavalier King Charles Spaniel". A cavalier was included in a 2012 UK study of eleven dogs with rectal lymphoma. In a July 2019 article reporting on the incidence of lymphoma diagnoses of UK dogs in 2013, only 7 cases were reported, with an annual incidence risk of 69 per 100,000 dogs, which was slightly above the average overall incidence risk 63 of 100,000 dogs.
In a January 2014 article, an 8-year old neutered female cavalier King Charles spaniel was found to have T-cell lymphoma which had spread through the nervous system to numerous organs. The researchers noted that heretofore, involvement of peripheral nerves in spreading neoplastic lymphocytes is very rare in any veterinary species.
In a 2015 article, a team of Bulgarian veterinarians treated a 6-month-old male cavalier King Charles spaniel for loss of vision and disorientation. The dog was placed under general anesthesia to perform electroretinography (ERG), which is a technique for diagnosing the functioning of the outer retina. The results showed that the retina was functioning normally. The dog had a series of difficulties in recovering from the anesthesia, resulting in its death after several hours. During necropsy, the researchers diagnosed metastatic thymoma, an extremely rare lymphocytic cancer in dogs.
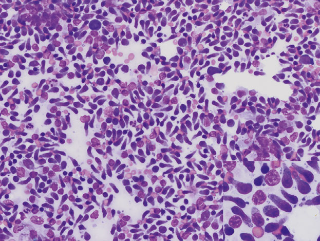
In an April 2017 article, University of Georgia pathologists found T-zone lymphoma (TZL) in a 10-year old spaded female cavalier. The inguinal and splenic lymph nodes were moderately enlarged. Other health issues in the CKCS included intervertebral disk disease (IVDD) and syringomyelia (SM).
In a December 2021 article, Japanese veterinary researchers successfully relieved the itching sensation of cutaneous epitheliotropic lymphomas (CEL or CETL) on the forepaw and tail of a 13-year-old female cavalierby injecting lokivetmab, an antibody treatment which controls pruritus (itching) in dogs. As a result of eliminating the itching sensation, prednisolone treatments were able to resolve the signs of the dog's lymphoma, including alopecia (hair loss), erythema (redness), erosion, and ulceration. Lokivetmab (Cytopoint, CADI) is an injected antibody treatment that deactivates canine IL-31, a cytokine which sends the itch signal to the dog's brain. It has been shown to be effective in controlling itching without the typical side effects of antihistamines and cortisteroids. It has been approved by the FDA for use in treating dogs' itching due to allergies caused by fleas, food, and other contact substances.
In a January 2022 article, Japanese clinicians report diagnosing a 10-year-old female cavalier with large granular lymphocytic (LGL) lymphoma of the bladder and skin. The dog's symptoms were blood in her urine (hematuria), excessive urination (pollakiuria), and a skin rash. They report that the cavalier initially responded well to nimustine as chemotherapy for 3 months. The symptoms recurred, including skin erosion and bladder wall thickening, and then the dog was administered chemotherapy with other anticancer drugs, including chlorambucil, vincristine, doxorubicin, L-asparaginase, cytosine arabinoside, and cyclophosphamide. The cavalier survived for 11 months and died due to tumor-related disseminated intravascular coagulation. The authors assert that this is the first report of a canine case of LGL lymphoma in the skin and bladder.
In a
June 2022 article, a Spanish veterinary student presented a case
study of a 9-year-old female cavalier
(right)
with skin conditions (alopecia, generalized desquamation, pruritus, and
mucocutaneous lesions) which had progressed over the previous nine
months and previously were diagnosed as allergy. Cutaneous
epitheliotropic lymphoma (CETL) was diagnosed by microscopic
examination of the diseased cells. The student observed that, " CETL is
a neoplastic disease characterized by the infiltration of T lymphocytes
into the epidermis." The cavalier was treated first with Lomustine and
prednisone, second with rabacfosadine and prednisone, third with
masitinib and prednisolone, fourth with CHOP (Cyclophosphamide,
Hydroxydaunomycin, Oncovin, all chemotherapy drugs, and Prednisolone),
and fifth with chlorambucil, a chemotherapy drug as a palliative. The
author stated that, "The cytotoxic drugs used ... are the most common
for CETL, and likewise, the need to use more than one therapy is
frequent." Rabacfosadine resulted in complete remission of the cancer
for three months, followed by progression resulting in her death.
• Lymphosarcoma.
• White blood cell.
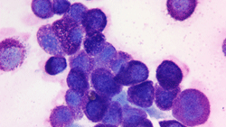
• Mast cell tumor: histiocytic
mastocytoma, mast cell sarcoma, mastocystosis. Mast cell tumors
(right) account
for about 10% of all skin tumors in dogs. Tumors on the perineum, digits, or
prepuce in dogs appear to be more aggressive than those on the trunk. In an
April 2013 report,
a UK clinic found that cavaliers are "underrepresented" in terms of
pre-disposition to developing mast cell tumors. In a
May 2016 Japanese review, cavaliers reportedly had a relatively low
incidence of mast cell tumors.
In a May 2025 article, Swedish researchers examined the medical records of insured dogs in Sweden from 2011 through 2016 to determine the incidence rate and other data of mast cell tumors (MCT). The mast cell tumor is the most common skin neoplasia among dogs. Of over 600,000 dogs in the study, 917 had been diagnosed with MCT, an incidence rate of 5.23 cases per 10,000 dog years. The breeds at highest risk were the Dogo Argentino and boxer, and the Jamthund and cavalier King Charles spaniel had the lowest risk. The median age at first diagnosis was 7.93 years. The cause-specific mortality rate was 0.79 deaths per 10,000 DYAR, and 87 of all dogs that were covered by life insurance died of MCT-related causes at a median age of 8.33 years. The Shar-pei had the highest risk of MCT-related death.
• Mammary tumor: tubular adenocarcinoma, papillary
adenocarcinoma, papillary cystic adenocarcinoma, solid carcinoma, anaplastic
carcinoma, fibrosarcoma. This is found largely in
females. It appears as a lump beneath the skin on the breast. (See photo at
right of a large mammary adeno-carcinoma; source:
"Tails of a Shelter Vet".) In a
2011 report, the cavalier
breed was identified as being at low-risk for mammary tumors. However, in a
2012 Swedish study, the researchers found that 15% of female cavalier King
Charles spaniels developed mammary tumors by the age of ten years. In a
May 2016 Japanese review, breast tumors amounted to 41.2% of all cancerous
tumors found in CKCSs over an eight year period. In this
March 2024 article, cavaliers "were significantly underrepresented among
dogs with malignant CMT [canine mammary tumors] among a single-center
retrospective study in Poland between 2009 and 2019.
• Adrenal cortical tumor: This is a tumor of the cortisol-producing cells of the adrenal gland. It is known to cause a form of Cushing's Disease.
• Pituitary tumor: This tumor produces excessive amounts of ACTH -- adrenocorticotrophic hormone, the hormone which causes the adrenal glands to produce cortisol). It also is known to cause a form of Cushing's Disease.
• Anal sac gland carcinoma: At least three studies of this form of cancer in cavaliers has been reported. One 2005 report , a 2006 article, and a third in 2009. In the September 2006 article examining the medical records of British dogs diagnosed with anal sac gland carcinoma (ASGC), cavaliers were ranked third (behind English cocker spaniels and springer spaniels) as having a breed pre-disposition to developing ASGC.
In the 2009 report, the author states that:
"English Cocker spaniels (and to a lesser extent Springer and Cavalier King Charles spaniels) are at higher risk of developing anal sac tumours than other dogs. This conclusion is based upon the analysis of large numbers of cases of anal sac tumours using data from veterinary pathology laboratories and breed registration data from The British Kennel Club."
See also this January 2013 study. See also this February 2017 article regarding surgical treatment of anal sac adenocarcinoma in a CKCS and other breeds.
•
Squamous cell carcinoma:
Squamous cell carcinoma (SCC) is a common skin cancer in humans and
dogs, which may include the eyelid. In the cavalier King Charles spaniel
and a limited number of other breeds, however, it can attack the cornea.
It is caused by an excessive production of squamous cells in the outer
layer of skin. In the eye, SCC has been described as a pink, elevated,
and cauliflower-like mass on the surface of the cornea (right). SCC must be
identified and treated promptly, as it can be an aggressive cancer which can
result in blindness. In a
June 2009 article, Dr. Kerry Ketring wrote
that:
"This isolated mass is most commonly seen in older Cavalier King Charles spaniels, pugs, and Shih Tzus. These tumors can be removed with care by a stromal keratectomy. Laser therapy, B-radiation, and cryotherapy have been recommended following the keratectomy."
In both a 2008 study and a May 2011 study of this cancer in the cornea, which included three CKCSs, the authors found that it was related to chronic dry eye, which is a very common disorder in this breed. This form of carcinoma also is known to develop within the mouths and throats of cavaliers. In a November 2024 article of the recurrence rate of SCC in 16 dogs, 3 of them, the second most common breed, were cavaliers.
• Tonsillar squamous cell carcinoma: A tonsillar squamous cell carcinoma is a tumor of the epithelium cells which cover the dog's tonsils. It can be a particularly aggressive, metastatic tumor, which also is highly invasive and commonly extends into the adjoining cells and other areas of the body, including especially the lungs. Cavaliers have been found to be particularly susceptible to tonsillar squamous cell carcinomas in at least four published reports. See this 2011 report of a study of 44 dogs with tonsillar squarmous cell carcinoma, including four cavaliers. Additionally, see this 2013 report showing a cavalier with this disease, and this 2016 report on another CKCS with this disorder, and this 2023 report of 17 cavaliers.
• Epithelial-myoepithelial carcinoma: In an October 2018 article, a team of Japanese veterinary pathologists (C.-H. Park, N. Shiwa, J. Sumimoto) investigated a growing tumor located between the left submandibular salivary gland and the parotid salivary gland of a 7-year-old cavalier King Charles spaniel. They removed the tumor and found that it was an epithelial-myoepithelial carcinoma (EMC), which is a rare malignant neoplasm of the salivary gland in humans and is also a rare tumor in veterinary medicine.
• Conjunctival hemangioma and hemangiosarcoma: In a 2006 study in which cavaliers were included, the authors concluded that ultraviolet light played a significant role in the cancer's development. Hemangiosarcoma (HSA) is a vascular cancer -- it forms from blood vessels.
• Meningioma: In a 2010 report, a cavalier was found to have a meningioma in a post-mortem examination. The authors noted that, "isolated unilateral facial myokymia preceding diagnosis of a meningioma affecting facial nerve function within the caudal cranial fossa and the remarkably long duration of neurological signs (75 months) attributable to the neoplasm."
• Sebaceous gland adenocarcinoma. In a 2017 article, cavaliers were identified as being at "increased risk" for sebaceous carinomas. See also this August 2019 article.
• Acute lymphocytic leukemia: In a February 2012 report from North Carolina State University's veterinary school, a CKCS suffering from this cancer was treated with bone marrow containing peripheral blood progenitor cells which were extracted from a litter mate and transplanted into the patient.
• Melanoma: canine melanoma, oral melanoma. Typically, canine melanoma is found in the mouth (oral melanoma), on toes, behind the eyes, or on the skin, but it may develop anywhere.
• Liposarcoma: It arises in fatty tissue and is an uncommon soft-tissue tumor. In a September 2006 case study, a cavalier was diagnosed with an "intradural-extramedullary myxoid liposarcoma" high in the cervical spine. The tumor was surgically removed, and she then was treated with radiation therapy, resulting in complete remission. The cancer recurred 18 months later and was treated in the same manner. The dog was euthanized 11 months following the second round of treatment, due to another recurrance of the cancer.
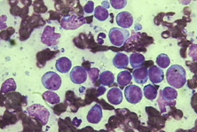
• Histiocytic sarcoma: Histiocytic sarcoma (HS) is most common in middle-aged and older dogs, with certain breeds being predisposed, including the Bernese mountain dog, flat-coated retriever, and Rottweiler. In an April 2017 article, pathologists reported on an 8 year old neutered male cavalier diagnosed with histiocytic sarcoma in his spleen. His symptoms over ten days included progressive vomiting, loss of appetite, lethargy, and mild neurologic signs. Fine-needle aspirates of nodules on the spleen suggested a carcinoma. However, a post-mortem chemical examination of the cancerous cells determined the cancer was an histiocytic sarcoma, affecting the lungs and adrenals, in addition to the spleen.
• Oligodendroglioma: Oligodendroglioma is a common tumor in mature dogs, found in the brain or spinal cord. It can remain stable for long periods without treatment, followed by rapid deterioration.In a September 2022 poster presentation at the 2022 ESVN-ECVN Symposium, Swiss clinicians reported on a 4 year old female cavalier which was diagnosed with an oligodendroglioma tumor. In this case, the CKCS was diagnosed at age 9 months, having displayed sudden episodes of pain and cervical scratching at 6 months. The tumor was monitored periodically by MRI over the following 4 years and treated with dexamethasone, omeprazole, and gabapentin. Then at age 4 years and 9 months, there occurred a sudden onset of seizures and rapid neurological deterioration to sudden death. A post-mortem (necropsy) found a "anaplastic oligodendroglioma (WHO grade III) with subarachnoidal and intraventricular drop metastasis". The investigators concluded with the advice that, "Although oligodendroglioma is a common primary intracranial tumor in dogs, survival data are scarce because of lack of systematic and prospective follow-up studies. It is highly desirable to collect prospective follow-up data from a large oligodendroglioma cohort to identify prognostic factors." See also this November 2024 case study report of this same dog. See also this August 2009 article reporting a case study of a 9-month-old cavalier puppy which experienced cluster seizures.
RETURN TO TOP
Forms of Benign Tumors
Benign tumors are noncancerous growths which usually grow slowly and can't spread to other tissues. Some forms of benign tumors among dogs include:
• Anal Sac Disorders: In a March 2021 article, UK researchers examined the VetCompass records of 104,212 dogs treated in 110 UK veterinary practices in 2013. They found that 4.4% of those visits were for non-neoplastic (non-cancerous) anal sac disorders (ASDs). The cavalier King Charles spaniel was the most common breed diagnosed with ASDs during that period. The most common treatments consisted of antimicrobials and analgesics. Anal sacculectomy (surgery) was performed in fewer than 1% of cases. See also our webpage on anal sac disorders.
• Chemodectoma: These are usually benign, heart-based tumors which can cause some symptoms similar to those of mitral valve disease, including syncope. See this 2011 article.
• Vertebral Angiomatosis: This condition is the formation of non-neoplastic (non-cancerous ) tumors which form blood vessels, essentially a benign vascular malformation. In a January 2024 article, Italian clinicians diagnosed a case of vertebral angiomatosis in a 3 year old female cavalier. The dog suffered from ataxia (poor muscle control causing balance and walking difficulties), and loss of voluntary motor control of the hind legs. Computed tomography (CT) showed an abnormal growth at the T5 vertebra. It was a densel material within the vertebral canal, causing spinal cord compressiont. Magnetic resonance imaging (MRI) confirmed the lesion. They performed a T4-T5 hemi-dorsal laminectomy to decompress the spinal cord. Examination of the removed mass confirmed it was vertebral angiomatosis. The dog intitially improved after the surgery, but 5 months later the clinical signs returned.
RETURN TO TOP
Causes
The primary causes associated with the development and growth of cancerous
cells are wide-ranging. They include:
• Exposure to certain forms and quantities of radiation.
• Exposure to certain chemicals which can damage cells' genetic structure (mutagens and carcinogens in the environment and diet). in a 2012 study, lawn-care pesticides have been among those chemicals identified as increasing the risk of malignant lymphoma in dogs.
• Certain hormones, such as oestrogen and testosterone.
• Certain viruses.
• Genetic pre-disposition.
• Excessive stress and depression (yes, dogs can suffer both).
• A confused immune system.
• Neutering or not: Neutered male dogs reportedly have a "significantly increased risk for several forms of prostate cancer. In an August 2007 dog population study in the USA and Canada, researchers found that neutered males had "a significantly increased risk for each form of cancer ... urinary bladder transitional cell carcinoma (TCC), prostate adenocarcinoma (ACA), prostate TCC, prostate carcinoma (CA), and prostate tumors". They concluded that "Breed predisposition suggests that genetic factors play a role in the development of prostate cancer. The risk associated with being neutered is highest for TCC".
Hemangiosarcoma (HSA) is a cancer that is affected by neutering in females. Cardiac HSA for spayed females was greater than 4 times that of intact females. A study on splenic HSA found the spayed females had more than 2 times the risk of developing this tumor as intact females. Intact females had a significantly lower risk of developing LSA (lymphoma) than neutered females or neutered males or intact males. A study on cutaneous mast cell tumors (MCT) in several dog breeds examined risk factors such as breed, size, and neuter status. The results showed a significant increase in frequency of MCT in neutered females; four times greater than that of intact females. See this February 2013 report.
In a In a February 2014 report about 2,505 Vizslas, researchers found that: (a) Mast cell cancer: 3.5 times higher incidence in neutered male and female dogs, independent of age at the time of neutering. (b) Hemangiosarcoma: 9.0 times higher incidence in neutered females compared to nonneutered females, independent of age at the time spaying was performed. No difference in incidence of this disease was found for neutered versus nonneutered males. (c) Lymphoma (lymphosarcoma): 4.3 times higher incidence in neutered male and female dogs, independent of age at the time of neutering. (d) Other types of cancer: 5.0 times higher incidence in neutered male and female dogs. The younger a dog was at the time of neutering the younger the age of the dog at the time the cancer was diagnosed. (e) All cancers combined: 6.5 times higher incidence of cancer in neutered females compared to nonneutered females; 3.6 times higher incidence of cancer in neutered males compared to nonneutered males.
• Not spaying and delayed spaying? It long had been reported that a female's risk of developing mammary cancer is greatly reduced by spaying, and the earlier the better. However, in a June 2012 review of all of these prior studies, the authors found that: "Due to the limited evidence available and the risk of bias in the published results, the evidence that neutering reduces the risk of mammary neoplasia, and the evidence that age at neutering has an effect, are judged to be weak and are not a sound basis for firm recommendations."
• Some medications. In both a 2008 study and a 2011 study, the researchers concluded that dogs (including cavaliers) treated with cyclosporine for dry eye are at risk to develop axial corneal squamous cell carcinoma.
• Possibly a consequence of surgery. In a 2010 report, a cavalier developed multiple inverted papilloma, which were benign tumors, following an ovariohysterectomy.
To some extent, dogs living longer lives are at greater risk of cancer eventually developing.
• Microchips? Do microchips induce cancer in dogs? The jury is out on this possible cause. Here is a link to a 2007 article, published in 2010, reviewing case reports.
RETURN TO TOP
Symptoms
See VetDepot's "Symptoms of Cancer in Dogs and Cats" and Colorado State University's Animal Cancer Center's "Top 10 Warning Signs of Cancer in Pet Animals".
RETURN TO TOP
Diagnosis
See VetDepot's "Diagnosing Cancer in Dogs and Cats".
RETURN TO TOP
Treatment
- Prescriptive medicines
- Chemotherapy
- Antibody therapy
- Stem cell transplants
- Radiation therapy
- Fluorescent therapy
- Surgery
- Vaccines
- Hyperthermia
- Cryotherapy and Cryosurgery
- Immunotherapy
- Holistic care
- Palliative care
- The "Tagamet & Benadryl Protocol"
The form of treatment depends upon the form of the cancer. The options include:
• Prescriptive Medicines
Tigilanol tiglate (EBC-46, StelFonta) is a diterpene ester which treats certain types of mast cell tumors in dogs by being injected into the tumor. It causes an inflammatory response, attracting immune cells and results in killing the tumor as quickly as within a week following treatment. In two January 2021 articles, an international team of researchers for QBiotics Group, the patent holder of tigilanol tiglate (TT) report the drug's success in healing mast cell tumors in most dogs being treated. In the first of the two January 2021 articles, 123 dogs diagnosed with mast cell tumors were treated. They report that a single TT treatment resulted in 75% of the tumors healed within a month and with no recurrence in 93% of those dogs by three months. They concluded that: "Tigilanol tiglate is efficacious and well tolerated, providing a new option for the local treatment of MCTs in dogs." In the second January 2021 article, the researchers studied 64 dogs which had been treated with TT over a 12-month post-treatment period. They report finding that 57 (89%) remained tumor-free and 7 had developed a recurrence. All of the recurrences occurred within the first 6 months, and 5 of the 7 in the first 12 weeks. They concluded that: "Tigilanol tiglate provided a durable long-term local response for the treatment of MCT [mast cell tumors] in dogs."
For non-metastatic mast cell tumors on the skin (cutaneous) or located at or near the elbow of the hock, an injection of tigilanol tiglate into the tumor has been approved by the US Food & Drug Administration (FDA), as of November 2020. The drug activates a protein kinase C cascade that spreads throughout the tumor and causes an inflammatory response and leads to destruction of the vascular system within the tumor. See the FDA report here. In an August 2021 article, 18 dogs diagnosed with high-grade msat cell tumors (tumors which are associated with a poor prognosis, are inherently more invasive, and have higher rates of local recurrence) were treated with tigilanol tiglate (TT). Ten of the 18 dogs (56%) achieved and maintained a complete response for at least 84 days after their first or second injection. The researchers concluded that TT "provides an alternative local treatment approach to dogs with HGMCT that would either pose an unacceptable anaesthetic risk or the tumour location provides a challenge when attempting surgical excision."
Prescriptive medications such as: Palladia (toceranib phosphate), a tyrosine kinase inhibitor, used to treat mast cell tumors; and Oncept, a canine oral melanoma therapeutic vaccine, is a tyrosinase inhibitor.
In a December 2021 article, Japanese veterinary researchers successfully relieved the itching sensation of skin lymphomas on the forepaw and tail of a 13-year-old female cavalier by injecting lokivetmab, an antibody treatment which controls pruritus (itching) in dogs. As a result of eliminating the itching sensation, prednisolone treatments were able to resolve the signs of the dog's lymphoma, including alopecia (hair loss), erythema (redness), erosion, and ulceration. Lokivetmab (Cytopoint, CADI) is an injected antibody treatment that deactivates canine IL-31, a cytokine which sends the itch signal to the dog's brain. It has been shown to be effective in controlling itching without the typical side effects of antihistamines and cortisteroids. It has been approved by the FDA for use in treating dogs' itching due to allergies caused by fleas, food, and other contact substances.
RETURN TO TOP
•
Chemotherapy
Chemotherapy consists of doses of toxic active ingredients that are intended to destroy rapidly dividing cancer cells but to spare the normal cells. Recent research has produced compounds of procaspase-3 activating compound 1 (PAC-1), which has been effective in killing lymphoma cells in dogs. See the reports discussed below herein: September 2010, October 2011, and January 2012.
In a February 2017 article, University of Minnesota researchers report the success of a new drug, eBAT, which specifically targets hemangiosarcoma (HSA) tumors while causing minimal damage to the dog's immune system. HSA is a vascular cancer, meaning it forms from blood vessels. eBAT can simultaneously target the tumor and its vascular system. eBAT was tested on 23 dogs of various breeds with HSA of the spleen. Dogs received three treatments of eBAT after surgery to remove the tumor and before conventional chemotherapy. The drug treatment improved the 6-month survival rate to approximately 70%. Five of the 23 dogs that received eBAT treatment lived more than 450 days.
In a September 2018 article, researchers found that doxorubicin (Adriamycin), a chemotherapy medication given intravenously following surgery for visceral hemangiosarcoma signifcantly increased the survival time (66 days versus 274 days) over dogs not treated following surgery.
In a January 2022 article, Japanese clinicians report diagnosing a 10-year-old female cavalier King Charles spaniel with large granular lymphocytic (LGL) lymphoma of the bladder and skin. The dog's symptoms were blood in her urine (hematuria), excessive urination (pollakiuria), and a skin rash. They report that the cavalier initially responded well to nimustine as chemotherapy for 3 months. The symptoms recurred, including skin erosion and bladder wall thickening, and then the dog was administered chemotherapy with other anticancer drugs, including chlorambucil, vincristine, doxorubicin, L-asparaginase, cytosine arabinoside, and cyclophosphamide. The cavalier survived for 11 months and died due to tumor-related disseminated intravascular coagulation. The authors assert that this is the first report of a canine case of LGL lymphoma in the skin and bladder.
In a June 2022 article, a 9-year-old female cavalier had skin conditions (alopecia, generalized desquamation, pruritus, and mucocutaneous lesions) which had progressed over the previous nine months and previously were diagnosed as allergy. Cutaneous epitheliotropic lymphoma (CETL) was diagnosed by microscopic examination of the diseased cells. The cavalier was treated first with Lomustine and prednisone, second with rabacfosadine and prednisone, third with masitinib and prednisolone, fourth with CHOP (cyclophosphamide, hydroxydaunomycin, oncovin, all chemotheraphy drugs and prednisolone), and fifth with chlorambucil, a chemotherapy drug as a palliative. The author stated that, "The cytotoxic drugs used ... are the most common for CETL, and likewise, the need to use more than one therapy is frequent." Rabacfosadine resulted in complete remission of the cancer for three months, followed by progression resulting in her death.
Ivermectin, which is used widely to prevent both internal and external parasites in dogs, as well as treat the dogs for parasitic disorders, is being studied as a treatment for and treat dogs, particularly females, for various forms of cancer, particularly mammary cancers.
In this April 2023 article, Indian researchers treated 94 dogs diagnosed with transmissible venereal tumors with a combination of vincristine sulfate and ivermectin, both injected, once a week for up to six weeks. Within four to six weeks, 81 of those 94 dogs fully recovered, a success rate of 86%. They concluded:
"The superior efficacy of combination of vincristine sulfate and parenteral ivermectin chemotherapy regimen might be due to the synergistic effect of ivermectin which as powerful antitumor activity through the inhibition of proliferation, metastasis, and angiogenic activity and promotes programmed cancer cell death, apoptosis, autophagy and pyroptosis in a variety of cancer cells."
See also this August 2019 article and this March 2023 article.
RETURN TO TOP
• Antibody Therapy
Monoclonal antibody (MAb) therapy may follow conventional chemotherapy, to treat T-cell lymphomas. Canine Lymphoma Monoclonal Antibody (CL/MAb 231) is a specific protein directed against canine lymphoma T-cells. It is used following a conventional chemotherapy regimen in an effort to prolong duration of remission.
RETURN TO TOP
• Stem Cell Transplants
Stem cell transplants, using donor bone marrow containing peripheral blood progenitor cells, for treating dogs with lymphoma or lymphocytic leukemia. In a May 2015 article, US veterinarians successfully transplanted allogeneic hematopoietic stem cells from a littermate into a cavalier King Charles spaniel diagnosed with lymphocytic leukemia. The report states that the affected CKCS remained stable for at least two years.
RETURN TO TOP
• Radiation Therapy
Radiation therapy is a beam of ionizing, high-energy waves (e.g., x-rays, gamma rays) aimed
at the tumor to destroy the cancer cells. To provide a large dose of
radiation to the tumor while reducing the exposure of surrounding tissues,
radiation beams are shaped--or aimed--from several angles to intersect at the
tumor. Fractionation of dosing also allows normal cells to recover between
treatments; cancer cells are slower to recover. The radiation delivery system is
a large machine which includes a computed tomography (CT) scanner and
which rotates around the patient while the dog lies sedated on a
platform.
Ionizing radiation directly damages DNA, which can cause cell death
and other effects. Because of its rapid turnover
rate, however, the epidermis is especially sensitive to acute radiation-induced
dermatitis, with lesions developing in over 90% of dogs receiving fractionated
radiation therapy for skin and soft-tissue tumors.
Lesions can develop several
weeks into therapy. The skin becomes pink and tender before mild exudation and
eventual alopecia with scarring appear. Bacterial infection may occur in the
immediate post-treatment period. Scarring often persists after discontinuation
of radiation treatments. The 9 year old cavalier at the left here suffered
scarring from radiation therapy for squamous cell carcinoma of the external ear
canal. See this
August
2016 article, the source of this information, for additional details.
RETURN TO TOP
• Fluorescent Therapy
Fluorescent therapy, or photodynamic therapy (PDT), begins with the administration of a drug called a photosensitizer (exogenous chromophores), which, over a period from 24 to 72 hours, the cancer cells absorb. The cells then are exposed to a light of a specific wavelength which causes the photosensitizer in the cells to produce a form of oxygen that in turn kills the cancer cells.
This method enables the selective targeting of cancer cells, particularly those in the skin and cavities, and even in some internal tumors. It has the advantage of being non-invasive.
RETURN TO TOP
• Surgery
See this February 2017 article regarding surgical treatment of anal sac adenocarcinoma in a CKCS and other breeds.
RETURN TO TOP
• Vaccines
Oncept Melanoma vaccine, by Merial, is immunotherapy reportedly for dogs with stage II or III oral melanoma, to help achieve local disease control. Vaccination involves a four-dose series, once every two weeks, using a needle-free transdermal device. After this initial series, the dog receives a booster vaccine every six months. See this January 2017 article for details about the success of Oncept. Merial also has introduced a vaccine for treatment of B-cell lymphoma (DLBCL) called Canine Lymphoma Vaccine, DNA, which is designed to target CD20 proteins, a cell surface marker estimated to be expressed in about 70% of dogs with B-cell lymphoma.
RETURN TO TOP
• Hyperthermia
See I-Therm treatments.
RETURN TO TOP
• Cryotherapy and Cryosurgery
RETURN TO TOP
• Immunotherapy
Immunotherapies include immune enhancement formula compounds, such as PetLife, such as chrysin, Coriolus Versicolor, diindolymethane (DIM), Resveratrol, Quercetin, green tea extract, and l-selenium methionine.
RETURN TO TOP
•
Holistic Care
Holistic care can include some of the above modalities, such as hyperthermia and immunotherapy, as well as traditional Chinese medicine (TCM), herbal medicines, and types of palliative care. One form of TCM currently being studied for treating hemangiosarcoma is polysaccharopeptide (PSP), a derivative of the Coriolus versicolor mushroom. The reported results have been mixed, with some research finding that PSP had favorable results in treating hemangiosarcoma, while others found that PSP did not improve the survival of affected dogs. See this September 2012 article and this September 2022 article. I'm-Yunity is a brand containing PSP derived from the Coriolus versicolor mushroom.*
* Read more about
the Coriolus versicolor mushroom here.
Note that the term "Turkey Tail Mushroom" is a generic
nickname which
includes the Coriolus versicolor but also other, similarly shaped mushrooms
which do not contain PSP. So, beware of any brands using the name Turkey
Tail mushroom that do not also assure that the contents are solely
Coriolus versicolor (also known as trametes versicolor).
In a January 2015 report, researchers found lupeol (Fagarsterol) eliminated recurrence of oral melanomas following partial surgical removal. See also this September 2022 article.
An overview of holistic treatments of cancer is A Holistic Approach for the Treatment of Cancer. by Joseph Demers, DVM. See also this October 2014 study.
RETURN TO TOP
• Palliative Care
Palliative care, including medicaitons, are to manage the cancer and its symptoms, and improve quality of life, when cure is not an option.
RETURN TO TOP
• The "Tagamet & Benadryl Protocol"
This means medicating the dog with these two over-the-counter pills, Tagamet (cimetidine) and Benadryl (diphenhydramine hydrochloride), both antihistamines, may have some benefit in reducing the size of mast cell tumors, because this form of cancer produces vast quantities of histamines which can cause the tumor to enlarge and fuel cancer growth. However, reducing the size of the tumor does not necessarily mean eliminating the cancer. Tagamet alone may also have some beneficial effects upon melanoma cancer. If this protocol is followed, it should not be instead of more conventional prescribed medications or chemotherapy, but in addition to them.
RETURN TO TOP
Research News
June 2025:
Cavaliers had lowest risk of mast cell tumors among insured dogs
in Sweden.
In a
May 2025 article, Swedish researchers Karolina Engdahl (right), Sara
Saellstrom, A. Åke Hedhammar, Maria Dimopoulou, and Henrik Ronnberg
examined the medical records of insured dogs in Sweden from 2011 through
2016 to determine the incidence rate and other data of mast cell tumors
(MCT). The mast cell tumor is the most common skin neoplasia among dogs.
Of over 600,000 dogs in the study, 917 had been diagnosed with MCT, an
incidence rate of 5.23 cases per 10,000 dog years. The breeds at highest
risk were the Dogo Argentino and boxer, and the Jamthund and cavalier
King Charles spaniel had the lowest risk. The median age at first
diagnosis was 7.93 years. The cause-specific mortality rate was 0.79
deaths per 10,000 DYAR, and 87 of all dogs that were covered by life
insurance died of MCT-related causes at a median age of 8.33 years. The
Shar-pei had the highest risk of MCT-related death.
January 2024:
Vertebral Angiomatosis is diagnosed in a cavalier.
In
a January 2024 article,
Italian clinicians (Teresa Gagliardo, Teresa Bruna Pagano, Silvana Lo
Piparo, Veronica Bifara, Filena Bono, Salvatore Ruffino, Filippo Cinti)
diagnosed a case of vertebral angiomatosis in a 3 year old female
cavalier King Charles spaniel. This condition is the formation of
non-neoplastic (non-cancerous ) tumors which form blood vessels,
essentially a benign vascular malformation. The dog suffered from ataxia
(poor muscle control causing balance and walking difficulties), and loss
of voluntary motor control of the hind legs. Computed tomography (CT)
showed an abnormal growth at the T5 vertebra. It was a densel material
within the vertebral canal, causing spinal cord compressiont. Magnetic
resonance imaging (MRI) confirmed the lesion. They performed a T4-T5
hemi-dorsal laminectomy to decompress the spinal cord. Examination of
the removed mass confirmed it was vertebral angiomatosis. The dog
intitially improved after the surgery, but 5 months later the clinical
signs returned.
January 2023:
Cavaliers predominate among 123 dogs diagnosed with tonsillar
carcinomas.
In
a
January 2023 multi-national review (by Elisabetta Treggiari
[right], MacKenzie A. Pellin, Giorgio Romanelli, Gianluca Maresca,
Irina Gramer, Andrew D. Yale, Evi Pecceu, Matteo Pignanelli, Juan
Borrego, Katarzyna Purzycka, Davide Berlato) of 123 cases of dogs
diagnosed with tonsillar carcinoma between 2012 and 2021, 17 (14%) were
cavalier King Charles spaniels, the highest percentage of any breed in
the study. The investigators concluded that cavaliers and other spaniel
breeds and collies may be "overrepresented". They found that overall
survival remains short for dogs with tonsillar carcinoma, despite
treatments which included surgrey (tonsillecdtomy), chemotherapy
(conventional, tyrosine kinasenhibitors or metronomic chemotherapy),
radiotherapy, nonsteroidal anti-inflammatory drugs (NSAIDs) or a
combination of these.
September 2022:
Cavalier develops and dies of oligodendroglioma, a progressive
brain tumor.
In
a
September 2022 poster presentation at the 2022 ESVN-ECVN Symposium,
Swiss clinicians F. Graciolli Tomazi (right), V. M. Stein, A.
Oevermann, F. Meneses, and A. Maiolini reported on a 4 year old female
cavalier King Charles spaniel which was diagnosed with a cancerous brain
tumor called an oligodendroglioma. Oligodendroglioma is a common tumor
in the brains of dogs, with which dogs can remain stable for long
periods without treatment, followed by rapid deterioration. In this
case, the CKCS was diagnosed at age 9 months, having displayed sudden
episodes of pain and cervical scratching at 6 months. The tumor was
monitored periodically by MRI over the following 4 years and treated
with dexamethasone, omeprazole, and gabapentin. Then at age 4 years and
9 months, there occurred a sudden onset of seizures and rapid
neurological deterioration to sudden death. A post-mortem (necropsy)
found a "anaplastic oligodendroglioma (WHO grade III) with
subarachnoidal and intraventricular drop metastasis". The investigators
concluded with the advice that, "Although oligodendroglioma is a common
primary intracranial tumor in dogs, survival data are scarce because of
lack of systematic and prospective follow-up studies. It is highly
desirable to collect prospective follow-up data from a large
oligodendroglioma cohort to identify prognostic factors."
July 2022:
Cavalier diagnosed with cutaneous epitheliotropic lymphoma
(CETL) cancer dies after 3-month remission with rabacfosadine.
In
a
June 2022 article, Spanish veterinary student Carolina Maturana
Nolla presented a case study of a 9-year-old female cavalier King
Charles spaniel (right) with skin conditions (alopecia, generalized
desquamation, pruritus, and mucocutaneous lesions) which had progressed
over the previous nine months and previously were diagnosed as allergy.
Cutaneous epitheliotropic lymphoma (CETL) was diagnosed by microscopic
examination of the diseased cells. The student observed that, " CETL is
a neoplastic disease characterized by the infiltration of T lymphocytes
into the epidermis." The cavalier was treated first with Lomustine and
prednisone, second with rabacfosadine and prednisone, third with
masitinib and prednisolone, fourth with CHOP (Cyclophosphamide,
Hydroxydaunomycin, Oncovin, all chemotherapy drugs, and Prednisolone),
and fifth with chlorambucil, a chemotherapy drug as a palliative. The
author stated that, "The cytotoxic drugs used ... are the most common
for CETL, and likewise, the need to use more than one therapy is
frequent." Rabacfosadine resulted in complete remission of the cancer
for three months, followed by progression resulting in her death.
March 2022:
Cavalier with difficulty in breathing found to have a cancerous
tumor in the heart.
In
a
March 2022 article, UK researchers (Alex Shirlow, Kieran Borgeat,
Nicolette Hayward, Emma Scurrell, Jessie Rose Payne [right]) a
cavalier King Charles spaniel displaying dyspnea (shortness of breath)
and tachypnea (rapid breathing) and a mild mitral valve murmur, was
suspected of the onset of congestive heart failure due to mitral valve
disease (MVD). However, they found that the dog's heart rhythm was
regular and that the size of the heart and the pulmonary vessels were
within normal limits. Echocardiography detected a mass which was
limiting the inflow of blood to the left side of the heart. Also, the
dog's right eye showed blood collected between the cornea and the iris,
and secondary glaucoma. A tumor was suspected within the heart, and the
dog was euthanized due to a grave prognosis. Post-mortem examination
revealed a metastatic osteosarcoma tumor in the left atrium and
pulmonary vein, metastatic osteosarcoma in the myocardium, lungs, the
uveal tract of the right eye, and both adrenal glands. Whitney grade II
myxomatous changes were noted on the mitral and tricuspid valve
leaflets. The investigators cautioned that although cavaliers with
dyspnea often raise suspicion of MVD, other more unusual causes of
dyspnea should also be considered in the absence of classic clinical MVD
findings.
January 2022:
Cavalier has first reported case of large granular lymphocytic
lymphoma in its bladder and skin.
In
a
January 2022 article, Japanese clinicians (Mami Adachi [right],
Hirotaka Igarashi, Minoru Okamoto, Takashi Tamamoto, Yasutomo Hori)
report diagnosing a 10-year-old female cavalier King Charles spaniel
with large granular lymphocytic (LGL) lymphoma of the bladder and skin.
The dog's symptoms were blood in her urine (hematuria), excessive
urination (pollakiuria), and a skin rash. They report that the cavalier
initially responded well to nimustine as chemotherapy for 3 months. The
symptoms recurred, including skin erosion and bladder wall thickening,
and then the dog was administered chemotherapy with other anticancer
drugs, including chlorambucil, vincristine, doxorubicin, L-asparaginase,
cytosine arabinoside, and cyclophosphamide. The cavalier survived for 11
months and died due to tumor-related disseminated intravascular
coagulation. The authors assert that this is the first report of a
canine case of LGL lymphoma in the skin and bladder.
RETURN TO TOP
December 2021:
Lokivetmab relieves itching of skin lymphoma in a cavalier.
In
a
December 2021 article, Japanese veterinary researchers (Kiyohiko
Inai [right], Keita Kitagawa, Mami Murakami, Toshiroh Iwasaki)
successfully relieved the itching sensation of skin lymphomas on the
forepaw and tail of a 13-year-old female cavalier King Charles spaniel
by injecting lokivetmab, an antibody treatment which controls pruritus
(itching) in dogs. As a result of eliminating the itching sensation,
prednisolone treatments were able to resolve the signs of the dog's
lymphoma, including alopecia (hair loss), erythema (redness), erosion,
and ulceration. Lokivetmab (Cytopoint, CADI) is an injected antibody
treatment that deactivates canine IL-31, a cytokine which sends the itch
signal to the dog's brain. It has been shown to be effective in
controlling itching without the typical side effects of antihistamines
and cortisteroids. It has been approved by the FDA for use in treating
dogs' itching due to allergies caused by fleas, food, and other contact
substances.
March
2021:
Cavaliers are at the lowest risk of osteosarcoma in a UK study.
In a
March 2021 article, a team of UK researchers (Grace L. Edmunds
[right], Matthew J. Smalley, Sam Beck, Rachel J. Errington, Sara
Gould, Helen Winter, Dave C. Brodbelt, Dan G. O'Neill) reviewed the
medical records via the VetCompass dataset of 1,756 osteosarcoma cases
in dogs to identify the at-risk breeds. Osteosarcoma is an aggressive
bone neoplasm for of cancer. They found that the cavalier King Charles
spaniel was the lowest risk breed among those with at least one case in
the study.
March 2021:
Injected tigilanol tiglate rapidly kills dogs' mast cell tumors,
in two recent studies.
In
two January 2021 articles, an international team of researchers, led by
Dr. Pamela D. Jones (right) of QBiotics Group, the patent
holder of tigilanol tiglate (TT, EBC-46, StelFonta), report the drug's
success in healing mast cell tumors in most dogs being treated.
Tigilanol tiglate is a diterpene ester which treats certain types of
mast cell tumors in dogs by being injected into the tumor. It causes an
inflammatory response, attracting immune cells and results in killing
the tumor as quickly as within a week following treatment. In
the first of the two January 2021 articles, 123 dogs diagnosed with
mast cell tumors were treated. They report that a single TT treatment
resulted in 75% of the tumors healed within a month and with no
recurrence in 93% of those dogs by three months. They concluded that:
"Tigilanol tiglate is efficacious and well tolerated, providing a new
option for the local treatment of MCTs in dogs."
In the second January 2021 article, the researchers studied 64 dogs which had been treated with TT over a 12-month post-treatment period. They report finding that 57 (89%) remained tumor-free and 7 had developed a recurrence. All of the recurrences occurred within the first 6 months, and 5 of the 7 in the first 12 weeks. They concluded that: "Tigilanol tiglate provided a durable long-term local response for the treatment of MCT [mast cell tumors] in dogs."
March 2021:
Cavaliers top the list of breeds diagnosed with non-cancerous
anal sac disorders in a year-long UK study. In
a
March 2021 article, UK researchers (Dan G. O'Neill [right],
Anke Hendricks, Jennifer A. Phillips, Dave C. Brodbelt, David B. Church,
Anette Loeffler) examined the VetCompass records of 104,212 dogs treated
in 110 UK veterinary practices in 2013. They found that 4.4% of those
visits were for non-neoplastic (non-cancerous) anal sac disorders
(ASDs). The cavalier King Charles spaniel was the most common breed
diagnosed with ASDs during that period. The most common treatments
consisted of antimicrobials and analgesics. Anal sacculectomy (surgery)
was performed in fewer than 1% of cases.
RETURN TO TOP
December 2020:
Cavaliers show an age-dependent relationship with cell
proliferation marker Ki67 in UK study of canine livers.
In
a
December 2020 article, a team of University of Cambridge veterinary
researchers (Laura J. A. Hardwick, Andre J. Kortum, Fernando
Constantino-Casas, Penny J. Watson [right]) examined the normal
livers of 51 post-mortem dogs of twelve breeds, including ten cavaliers
(19.6%). The aim was to provide insight into liver ageing in
microscopically normal canine livers with and without increased risk of
chronic hepatitis. In the age-dependence portion of the study, they
report finding that cavaliers showed a positive correlation between the
antigen protein Ki67 and age. The cavaliers ranged in age from 1 to 14
years, with Ki67 scoring a 0 mean number of positive hepatocytes per
high powered field in CKCSs up to age 9 years, and increased mean scores
above that age. Ki67 is an antigen protein that is a reliable marker for
cell proliferation and is used to assess cancerous cell growth,
particularly diffuse large B-cell lymphoma (DLBCL), which is the most
common type of lymphoma in dogs.
November
2020:
FDA approves Stelfonta injection to treat certain mast cell
tumors in dogs. For
non-metastatic mast cell tumors on the skin (cutaneous) or located at or
near the elbow of the hock, an injection of tigilanol tiglate
(Stelfonta) into the tumor has been approved by the US Food & Drug
Administration (FDA), as of November 2020. The drug activates a protein
kinase C cascade that spreads throughout the tumor and causes an
inflammatory response and leads to destruction of the vascular system
within the tumor. See the FDA report here.
RETURN TO TOP
October 2018: Japanese veterinary researchers find an epithelial-myoepithelial carcinoma tumor in a CKCS's throat. In an October 2018 article, a team of Japanese veterinary pathologists (C.-H. Park, N. Shiwa, J. Sumimoto) investigated a growing tumor located between the left submandibular salivary gland and the parotid salivary gland of a 7-year-old cavalier King Charles spaniel. They removed the tumor and found that it was an epithelial-myoepithelial carcinoma (EMC), which is a rare malignant neoplasm of the salivary gland in humans and is also a rare tumor in veterinary medicine.
RETURN TO TOP
April
2017:
U. of Ga. pathologists find T-zone lymphoma in a CKCS. In
an
April 2017 article, University of Georgia pathologists (Corry K.
Yeuroukis, Jessica M. Thiman, Anne C. Avery, Melinda S. Camus, Jaime L.
Tarigo) found T-zone lymphoma (TZL) in a 10-year old spaded female
cavalier. The inguinal and splenic lymph nodes were moderately enlarged.
Other health issues in the CKCS included intervertebral disk disease
(IVDD) and syringomyelia (SM). They used flow cytometry instead of a
surgical biopsy, as a less invasive method to examine the lymphocytes in
the lymph node (right). They stated that, "The discovery of TZL
was an unexpected but significant finding which highlights the
importance of investigating enlarged lymph nodes when present." They
decided to not conduct chemotherapy, as it has not been shown to improve
the already prolonged median survival times with TZL.
April 2017:
CKCS with histiocytic sarcoma of his spleen has deceptive signs
and pathology. In an
April 2017 article, University of Georgia veterinary pathologists
(Lorelei L. Clarke, Lisa S. Kelly, Bridget
Garner,
Cathy A. Brown) report on an 8 year old neutered male cavalier King
Charles spaniel diagnosed with histiocytic sarcoma in his spleen. His
symptoms over ten days included progressive vomiting, loss of appetite,
lethargy, and mild neurologic signs. Fine-needle aspirates of nodules on
the spleen suggested a carcinoma. However, a post-mortem chemical
examination of the cancerous cells determined the cancer was an
histiocytic sarcoma, affecting the lungs and adrenals, in addition to
the spleen. (At right, see spleen with multifocal firm nodules
with surrounding hemorrhage and central necrosis.)
February 2017: New drug to treat dogs with hemangiosarcoma targets the tumor with minimal side effects. In a February 2017 article, University of Minnesota researchers report the success of a new drug, eBAT, which specifically targets hemangiosarcoma (HSA) tumors while causing minimal damage to the dog's immune system. HSA is a vascular cancer, meaning it forms from blood vessels. eBAT can simultaneously target the tumor and its vascular system. eBAT was tested on 23 dogs of various breeds with HSA of the spleen. Dogs received three treatments of eBAT after surgery to remove the tumor and before conventional chemotherapy. The drug treatment improved the 6-month survival rate to approximately 70%. Five of the 23 dogs that received eBAT treatment lived more than 450 days.
RETURN TO TOP
May 2016: Cavaliers have high incidence of breast tumors and low incidence of mast cell tumors, in Japanese review. In a May 2016 article, Japanese researchers reviewed all canine cancer cases in one prefecture (equivalent to a state in the USA) between 2005 and 2012. Thirty-four cases involved cavalier King Charles spaniels. Of those, 41.2% of tumors in cavaliers were breast tumors. The lowest incidence in CKCSs was mast cell tumors.
March 2016:
Cancerous
thymus is found in 6-month old cavalier. In a
2015 article,
a team of
Bulgarian veterinarians (G. Simeonova, V. Nedev, R. Simeonov) treated a 6-month-old male cavalier
King Charles spaniel for loss of vision and disorientation. The dog was
placed under general anesthesia to perform electroretinography (ERG),
which is a technique for diagnosing the functioning of the outer retina.
The results showed that the retina was functioning normally. The dog had
a series of difficulties in recovering from the anesthesia, resulting in
its death after several hours. During necropsy, the researchers
diagnosed metastatic thymoma, an extremely rare lymphocytic cancer in
dogs.
RETURN TO TOP
May 2015:
Cavalier overcomes lymphocytic leukemia with stem cells from littermate.
In a
May 2015 article, a team of US veterinarians and researchers
(Steven E. Suter [right], Matthew J. Hamilton, Edmund W. Sullivan,
Gopalakrishnan M. Venkataraman)
successfully transplanted allogeneic hematopoietic stem cells from a
littermate into a cavalier King Charles spaniel diagnosed with
lymphocytic leukemia. The report states that the affected CKCS remained
stable for at least two years.
January 2015: Japanese researchers find post-operative injection of lupeol eliminated recurrence of oral melanoma in a CKCS. In a January 2015 report, a team of Japanese researchers injected lupeol, a triterpene extracted from various fruits and vegetables that reportedly inhibits melanoma cell proliferation, in 11 dogs, including a 17-year-old cavalier, following partial (and one complete) surgical removal of oral malignant melanoma cancers. The usual post-operative treatment would have been radiation. There were no severe adverse effects, such as local pain, diarrhea, or vomiting, in any of the dogs during lupeol treatment. The treatment was successful in 10 of the 11 cases, including in the CKCS.
RETURN TO TOP
September 2014: Penn Vet School's "I'm-Yunity" doses appear to be succeeding in treating hemangiosarcoma cancer. In a September 2014 article in Penn Vet school's Bellweather magazine, the on-going research led by Dr. Dorothy Cimino Brown (see our November 2012 item below) appears to have been having favorable results in treating hemangiosarcoma. The treatments include a form of traditional Chinese medicine (TCM) called I'm-Yunity, a compound derived from the Coriolus versicolor mushroom.
If you want your dog to participate in this study, here is a link to the study's webpage.
February 2014:
Pet
food specialist links dry kibble to increase in pets' cancer. In a
December 2013
article
in
Food Safety News, Barbara Royal, D.V.M., of The Royal
Treatment Veterinary Center in Chicago, is concerned about how dry kibble is
processed:
"The extrusion process (a high heat processing), creates two potent carcinogens, a heterocyclic amine and an acrylamide, which will be in every extruded kibble food, but certainly not be on the label. It is a byproduct of the extrusion process, and because it is not an ingredient that is added, it need not be put on the label," she explains.
"So owners are unaware that, with every bite, they are feeding a potent carcinogen. I believe that this is one reason we are seeing such an increase in cancers in our pets."
January 2014: Study of 2,500+ Vizslas find neutering results in "significantly increased odds" of developing certain cancers. In a February 2014 report in JAVMA of 2,505 Vizslas, researchers found that neutered males "had significantly increased odds of developing mast cell cancer, lymphoma, all other cancers, all cancers combined, and fear of storms, compared with the odds for sexually intact dogs." Neutered females "had significantly increased odds of developing hemangiosarcoma". Further, they found that the younger the age at neutering, "the earlier the mean age at diagnosis of mast cell cancer, cancers other than mast cell, hemangiosarcoma, lymphoma, all cancers combined, a behavioral disorder, or fear of storms."
January 2014: Cavalier dies of fast-spreading T-cell lymphoma through the nervous system. A team of Japanese veterinarians report in a January 2014 article about an 8-year old neutered female cavalier King Charles spaniel with T-cell lymphoma which had spread through the nervous system to numerous organs. They noted that heretofore, involvement of peripheral nerves in spreading neoplastic lymphocytes is very rare in any veterinary species.
RETURN TO TOP
April 2013: UK study finds CKCSs not pre-disposed to mast cell tumors. In an April 2013 report, a UK clinic has found that cavaliers are "underrepresented" in terms of pre-disposition to developing mast cell tumors. This study appears to contradict a 2012 Swedish study which reached an opposite finding.
February 2013: Neutering may affect dog's risk for developing certain cancers. A University of California at Davis study of golden retrievers has found that early neutering was associated with an increase in the occurrence of lymphosarcoma in males. Late neutering was associated with the subsequent occurrence of mast cell tumors and hemangiosarcoma in females.
January 2013: VetDC announces research for canine lymphoma drug. Veterinary Emerging Technologies Development Corporation (VetDC) has announced that is is funding the development of an anti-proliferative agent that preferentially targets lymphoid cells and works by inhibiting cellular DNA synthesis, leading to the induction of apoptosis, or programmed cell death. The agent is tagged VDC-1101. The drug was originally tested on dogs but was developed for human use. VetDC aims to make it available for dogs within two years.
In a prior study, VDC-1101 reportedly demonstrated substantial antitumor activity in dogs with both treatment-naïve and refractory lymphoma when administered on an every three-week schedule. Dr. David Vail, professor of oncology at the University of Wisconsin-Madison School of Veterinary Medicine, said "We are very encouraged by the results of this analysis, given the high unmet need for novel, effective veterinary anti-cancer agents, particularly in the refractory setting. These results indicate that VDC-1101 may be a powerful and convenient new therapeutic option for treating lymphoma in companion animals." See VetDC's website for more information.
RETURN TO TOP
December 2012: Swedish study finds high percentage of mammary tumors in cavaliers. In a retrospective study (from 1995 through 2006) of Swedish dogs, the researchers found that 15% of female cavalier King Charles spaniels developed mammary tumors by the age of ten years.
November 2012: Penn Vet School extends its mushroom research. Penn Vet School has announced that it is enrolling patients into a new clinical trial for dogs with splenic hemangiosarcoma. Its press release states, "This trial will be evaluating the effects of a traditional chinese medicine supplement with anti-cancer properties." Obviously, this would be the Coriolus versicolor mushroom discussed below. Its announcement goes on: "A previous trial using the supplement significantly increased survival time in dogs with this type of cancer." Contact the researchers for more information: vcic@vet.upenn.edu or 215-573-0302.
November 2012:
Mushroom compound
extends life of dogs with cancer, study finds. In
a 2012 study, Penn Vet School
researchers reported that dogs with hemangiosarcoma that were given a compound
derived from the Coriolus versicolor mushroom (Yun Zhi [I'm-Yunity]) (right)
had the longest survival times ever reported for dogs with the disease.
In a later interview, researcher Dorothy Cimino Brown said:
"We were shocked. Prior to this, the longest reported median survival time of dogs with hemangiosarcoma of the spleen that underwent no further treatment was 86 days. We had dogs that lived beyond a year with nothing other than this mushroom as treatment".
Shocked? In fact, Coriolus versicolor has been used as a medicinal mushroom in traditional Chinese medicine for over 2,000 years. The substance in the mushroom believed to be beneficial in fighting cancer is polysaccharopeptide, (PSP). The immune enhancement formula compound PetLife contains Coriolus versicolor.
August 2012: Lymphoma is reported to be prevalent in CKCS. Italian researchers report in Hematological Oncology that "Diffuse large B-cell lymphoma (DLBCL) is prevalent in Cavalier King Charles Spaniel".
June 2012: Early spaying does not mean reduced risk for mammary cancer. In a June 2012 review of studies of neutering and mammary cancer in dogs, the authors found that:
"Due to the limited evidence available and the risk of bias in the published results, the evidence that neutering reduces the risk of mammary neoplasia, and the evidence that age at neutering has an effect, are judged to be weak and are not a sound basis for firm recommendations."
February
2012: N. C. State University performs
bone marrow transplant on a CKCS. Dr. Steven Suter,
assistant professor of oncology at North Carolina State University, treated a
cavalier King Charles spaniel named Zeke (pictured at left), suffering from
acute lymphocytic leukemia (ALL), by transplanting bone marrow from his
littermate Chip (pictured at right).
"We do require a donor, since we can not harvest progenitor cells from the patient. Leukemia patients have too many cancer cells floating around in their blood, so the machine would harvest them also. So, we find a matched donor who does not have cancer obviously, and harvest the cells from them," Dr. Suter said. "We don't use this procedure regularly to treat dogs with leukemia ... we've treated two dogs with leukemia. We use it mainly to treat dogs with lymphoma, which is a very different disease."
He hopes that cases like Chip and Zeke will lead to a donor database for dogs, similar to the sort that people use. The typical cost of such a procedure is reportedly $15,000.00. Read more here.
January 2012: Some lawn care chemicals may increase the risk of canine malignant lymphoma. A 2012 report of a six-year study of 263 dogs at the Foster Hospital for Small Animals at Tufts University's Cummings School of Veterinary Medicine, has shown that certain lawn pesticides (which were not identified in the study) may increase the risk of malignant lymphoma in dogs.
January
2012:
Researchers find new anti-cancer PAC-1 compounds multi-fold more potent than
PAC-1. PAC-1 researchers Danny C. Hsu, Howard S. Roth, Diana C.
West, Rachel C. Botham, Chris J. Novotny, Steven C. Schmid, and
Paul J. Hergenrother (at left in photo) report in a
January
2012 study that PAC-1 compounds were "two- to four-fold more potent than
PAC-1 and S-PAC-1 in cell culture, and thus have promise as experimental
therapeutics for treatment of the many cancers that have elevated expression
levels of procaspase-3." See also these
October 2011 and September
2010 entries below.
Update: In an August 2013 newspaper article, Dr. Hergenrother stated that PAC-1 targets a cellular enzyme called procaspase-3 found at elevated levels in many forms of cancers, including those of the breast, colon, liver, lung, skin, blood and brain. "It gives cancer cells a signal to commit suicide," he said, but PAC-1 also spares the normal cells and can penetrate brain tumors.
RETURN TO TOP
December 2011: Good News: study finds CKCSs at low risk for mammary tumors. In a study by Norwegian canine geneticists of the identification of genetic variation in 11 candidate genes of canine mammary tumour, the the cavalier King Charles spaniel breed was identified as being at low-risk for mammary tumors.
October 2011: Univ. of Illinois researchers find PAC-1 compound signals canine lymphoma cancer cells to self-destruct. In an October 2011 report, University of Illinois researchers, led by chemistry professor Paul Hergenrother, have found that procaspase-3 activating compound 1 (PAC-1) acts as an anti-cancer agent which signals lymphoma cancer cells in canines to self-destruct. See also this September 2010 entry below.
In conclusion, PAC-1 is a small molecule that preferentially activates procaspase-3 to caspase-3, and induces apoptotic death in canine and human B-cell lymphoma lines. PAC-1 can be safely administered to research dogs and be consistently maintained at concentrations for prolonged periods of time which are predicted to exert anticancer effects.
February 2011: TGen needs spaniel DNA samples. The Translational Genomics Research Institute (TGen) seeks DNA samples from healthy spaniels to establish a genetic backdrop of healthy bloodlines against which genetic signatures of disease susceptibility can be deciphered and to perform periodic population surveys. Details are at http://www.tgen.org/research/canine-spaniel-frm.cfm
RETURN TO TOP
September 2010: PAC-1 anti-cancer compound found safe and effective in dogs with lymphoma. In a September 2010 study of a PAC-1 (procaspase-3 activating compound 1) derivative called S-PAC-1 (sulfonamide-PAC-1), the S-PAC-1 (administered as a 24- or 72-hour continuous IV infusion) in 6 pet dogs with spontaneously-occurring lymphoma revealed this compound to be safe in all 6 dogs and effective at reducing or stabilizing tumor growth in 4 out of 6 of them.
January 2009: Researchers seek DNA samples of cavaliers for anal sac gland carcinoma study. University of Cambridge veterinary oncologists are soliciting blood samples of cavaliers (and other spaniel breeds) either affected with anal sac gland carinoma or non-affected.
August 2007: Neutered male dogs reportedly have a "significantly increased risk for several forms of prostate cancer. In an August 2007 dog population study in the USA and Canada, researchers (Jeffrey N. Bryan, Matthew R. Keeler, Carolyn J. Henry, Margaret E. Bryan, Allen W. Hahn, Charles W. Caldwell) found that neutered males had "a significantly increased risk for each form of cancer ... urinary bladder transitional cell carcinoma (TCC), prostate adenocarcinoma (ACA), prostate TCC, prostate carcinoma (CA), and prostate tumors". They concluded that "Breed predisposition suggests that genetic factors play a role in the development of prostate cancer. The risk associated with being neutered is highest for TCC".
RETURN TO TOP
Related Links
RETURN TO TOP
Veterinary Resources
Oral eosinophilic granuloma in three cavalier King Charles spaniels. Bredal WP, Gunnes G, Vollset I, Ulstein TL. J Small Anim Pract. Octobeer 1996;37(10):499-504. Quote: Oral eosinophilic granuloma is a rare and enigmatic disease in dogs. The clinical, haematological, cytological and histopathological features of three unrelated Cavalier King Charles spaniels with oral ulcers are presented. The disease was characterised by granuloma or plaque formation in the oral cavity. Common clinical signs were clearing the throat, swallowing problems, coughing during and after meals, reduced appetite and difficulty in eating. Haematological findings were not specific. Cytology was considered easier to perform than tissue biopsy due to friability of the tissue, but could not be used to confirm a granuloma diagnosis. The diagnosis of oral eosinophilic granuloma was verified histopathologically in each case. Response to glucocorticoid therapy varied, from complete remission to lack of any visible effect, leading to a guarded prognosis. The aetiology of the disease was not determined; however, the gross and microscopic morphologies of the lesions, their location and the response to corticosteroid therapy was suggestive of hypersensitivity.
Chromosome aberrations in canine multicentric lymphomas detected with comparative genomic hybridisation and a panel of single locus probes. R Thomas, K C Smith, E A Ostrander, F Galibert, and M Breen. Brit J Cancer; Oct. 2003;89(8):1530-1537. Quote: "Malignant lymphoma (lymphosarcoma) represents one of the most frequently encountered canine neoplasms, most commonly affecting middle-aged to older dogs of a wide range of breeds. The disease originates from the malignant transformation of developing lymphocytes, and in the absence of chemotherapy, survival beyond one month after diagnosis is uncommon. Although generally considered a chemoresponsive form of malignancy in the dog, .. the disease is highly heterogeneous at both the clinical and histological level. A proportion of cases demonstrate more favourable response to therapy, and longer overall survival time, than others receiving the same initial diagnosis. ... Since humans and dogs demonstrate extensive genome homology, it is likely that canine lymphoma will also be associated with recurrent chromosome aberrations. However, few reports exist describing chromosome abnormalities detected in canine lymphoma and at present insufficient data are available from which to draw significant conclusions on their findings. ... The development of comparative genomic hybridisation (CGH) as a technique for indirect analysis of chromosomal copy number changes in human tumour cells now provides a means by which imbalanced genomic aberrations can be identified accurately and efficiently without the need to generate tumour chromosome preparations. The application of CGH to the dog, the advent of novel molecular cytogenetic resources for this species, the development of comparative cytogenetic maps and the generation of an integrated canine genome map now provide a means by which to overcome prior practical difficulties and embark on more comprehensive studies of tumour karyotypes in this species. ... We have used CGH analysis to identify chromosome imbalances in 25 cases [including one cavalier King Charles spaniel] of canine multicentric lymphoma. The resulting range and distribution of aberrations observed indicates that, as with the human counterpart of this disease, the cytogenetic profiling of canine lymphoma as a potential aid to diagnosis and clinical management warrants more detailed investigation."
New aspects of canine pyometra. R. Hagman, Doctoral thesis, Swedish University of Agricultural Sciences, Uppsala, 2004. Quote: "Breeds with high risk of the development of pyometra in the present study were Collie (rough-haired), Rottweiler, Cavalier King Charles Spaniel, Bernese Mountain Dog and Golden Retriever. ... The interactions with biological age could be interpreted as that in some breeds (e.g. Rottweiler, rough-haired Collie, Golden Retriever, and Cavalier King Charles Spaniel), the risk of pyometra actually increases more and at an earlier age compared with other breeds. These breeds may carry a higher genetic predisposition for pyometra than other breeds."
Anal sac tumours of the dog and their response to cytoreductive surgery and chemotherapy. S.G. Emms. Austr Vet J; June 2005;83(6):340-343. Quote: "A retrospective study of anal sac tumours without pulmonary metastases, from the author's clinical records for the period July 1989 to July 2002, was conducted to establish the response to treatment with surgery and melphalan chemotherapy. Of 21 dogs [including cavalier King Charles spaniels] with tumours of the anal sacs 19 had apocrine gland adenocarcinomas of anal sac origin, one had a benign papillary cystadenoma and another had a malignant melanoma. Two of the 19 dogs had bilateral anal sac adenocarcinomas. Ten of the 19 dogs with apocrine gland adenocarcinomas of anal sac origin had sublumbar lymphadenopathy. Five dogs were excluded by their owners from recommended treatment. Fourteen dogs with apocrine gland adenocarcinomas of anal sac origin were treated by surgical cytoreduction and chemotherapy with melphalan. Seven of the 14 dogs had regional lymph node metastases. Cytoreduction was by local excision of the anal sac in all 14 dogs and concurrent removal of the sublumbar retroperitoneal lymph nodes in the seven dogs with regional lymph node metastases. The median survival time of dogs with sublumbar nodal metastasis was 20 months and for dogs with tumour localised to the anal sac the median survival time was 29.3 months. There was no difference in median survival of those dogs with sublumbar metastases compared to those without. This study suggests there is a role for melphalan in the treatment of dogs with anal sac adenocarcinoma when combined with cytoreductive surgery, with treatment survival times and the local recurrence rate of the primary tumour comparing favourably with previously published treatment regimes."
Primary Renal Neoplasia of Dogs. Jeffrey N. Bryan, Carolyn J. Henry, Susan E. Turnquist, Jeff W. Tyler, Julius M. Liptak, Scott A. Rizzo, Gabriella Sfiligoi, Steven J. Steinberg, Annette N. Smith, and Tarraca Jackson. J Vet Intern Med 2006;20:1155-1160. Quote: "Background: Primary renal tumors are diagnosed uncommonly in dogs. Hypothesis: Signs and survival will differ among different categories of primary renal tumors. Animals: Data were collected from the medical records of 82 dogs [including a cavalier King Charles spaniel] with primary renal tumors diagnosed by examination of tissue obtained by ultrasound-guided biopsy, needle aspiration, surgery, or at postmortem examination. Results: Forty-nine dogs had carcinomas, 28 had sarcomas, and 5 had nephroblastomas. The dogs were geriatric (mean 8.1 years; range: 1-17) with a weight of 24.9 kg (range: 4.5-80). Tumors occurred with equal frequency in each kidney with 4% occurring bilaterally. Initial signs included one or more of hematuria, inappetance, lethargy, weight loss, or a palpable abdominal mass. Pain was reported more frequently in dogs with sarcomas (5/28). The most common hematologic abnormalities were neutrophilia (22/63), anemia (21/64), and thrombocytopenia (6/68). Polycythemia was present in 3 dogs and resolved with treatment. Hematuria (28/49), pyuria (26/49), proteinuria (24/50), and isosthenuria (20/56) were the most frequently observed abnormalities on urinalysis. Pulmonary metastases were noted on thoracic radiographs in 16% of dogs at diagnosis. Seventy-seven percent of dogs had metastatic disease at the time of death. Median survival for dogs with carcinomas was 16 months (range 0-59 months), for dogs with sarcomas 9 months (range 0-70 months), and for dogs with nephroblastomas 6 months (range 0-6 months). Conclusions and Clinical Importance: Primary renal tumors in dogs are generally highly malignant with surgery being the "only treatment that improves survival."
Canine conjunctival hemangioma and hemangiosarcoma: a retrospective evaluation of 108 cases (1989-2004). Chris G. Pirie, Amy M. Knollinger, Chet B. Thomas, Richard R. Dubielzig. Vet Ophth; July 2006;9(4):215-226. Quote: "Canine conjunctival tumors of vascular endothelial origin are common, although under-reported. The purpose of this study was to evaluate the epidemiology of and potential risk factors for these tumors. This study evaluated 108 cases [including cavalier King Charles spaniels] (70 hemangiomas, 38 hemangiosarcomas) from 8300 canine submissions between 1989 and 2004. Signalment, location, pigmentation, size, duration, diagnosis, margins, ancillary therapy, and geographic location were recorded. Follow-up information was available for 49 cases. Each case was matched with two unaffected controls and compared using logistic regression analysis. Average age upon presentation was 8.6 years; there was no sex predilection. Risk of conjunctival tumors was statistically different among breed groups (P = 0.0010), demonstrating a propensity to occur in groups likely to have increased outdoor activity. Primary involvement occurred within nonpigmented epithelium along the leading edge of the nictitating membrane (41/108) and temporal bulbar conjunctiva (33/108). The etiology remains unknown; however, the strong site predilection, involvement of nonpigmented epithelium, and development within specific breed classes strongly suggest ultraviolet (UV) light as a significant risk factor. In a full-logistic model including breed, gender, age, and UV exposure, UV was not a statistically significant variable (P = 0.1215). In a reduced-model including UV only, significance was approached (P = 0.0696) and posthoc contrast demonstrated a significant linear trend with increasing UV exposure (P = 0.0147). In separate analysis of risks associated with hemangiosarcoma, compared with hemangioma, breed was not significant while increasing UV exposure was significant (P = 0.0381). Early surgical therapy is recommended and may be curative; however, recurrence is possible and more likely with hemangiosarcomas (11/20)."
Combined Use of Surgery and Radiation in the Treatment of an Intradural Myxoid Liposarcoma in a Dog. Sergio Rodenas, Isabel Valin, Patrick Devauchelle, Françoise Delisle, Michel Baron. J. AAHA. September 2006;42(5):386-391. Quote: An intradural-extramedullary myxoid liposarcoma of the high cervical spine was diagnosed in a 9-year-old, spayed female Cavalier King Charles spaniel that was presented for a 2-month history of cervical pain and tetraparesis. Radiation therapy applied after surgery resulted in complete remission of the neurological deficits. The tumor recurred 18 months after surgical excision. A second surgery and another course of radiotherapy again resulted in complete remission of the clinical signs. The dog was euthanized 11 months after the second surgery because of tumor recurrence.
Breed, gender and neutering status of British dogs with anal sac gland carcinoma. G. A. Polton, V. Mowat, H. C. Lee, K. A. Mckee, T. J. Scase. Vet. & Comparative Onocology. September 2006; doi: 10.1111/j.1476-5829.2006.00100.x. Quote: This study details the breed, gender and neutering status of a large cohort of British canine patients suffering from histologically confirmed anal sac gland carcinoma [ASGC]. Estimates of the relative risk for the development of this disease attributable to these factors are calculated. To reduce the impact of sampling errors, cases were selected from veterinary histopathology laboratories rather than referral hospital databases, and multiple estimates of the general British canine population were used. The weaknesses of the statistical assumptions made are discussed. There was no evidence to support a gender predisposition for the development of this condition. English cocker spaniels are significantly over-represented, with a mean relative risk estimate of 7.3. ... The data indicated that English cocker spaniels, springer spaniels and cavalier King Charles spaniels exhibited statistically significant probabilities of an increased incidence of ASGC; the cocker spaniels demonstrated absolute consistency across the reference populations, P < 0.001. These three breeds were distinguished and the Fisher's exact tests repeated so that 'at-risk' breeds were excluded from the 'not-at-risk' groups. Odds ratios and their 95% confidence intervals were then calculated for the at-risk breeds using the modified groupings (Table 3). The data indicate a marked predisposition for the development of ASGC in English cocker spaniels, with an average odds ratio of 7.3; average odds ratios for springer spaniels and cavalier King Charles spaniels were 2.2 and 2.6, respectively. ... The mean relative risk estimate associated with being neutered was 1.4; the effect of neutering appeared to be more significant in male dogs compared with that in female dogs.
A population study of neutering status as a risk factor for canine prostate cancer. Jeffrey N. Bryan, Matthew R. Keeler, Carolyn J. Henry, Margaret E. Bryan, Allen W. Hahn, Charles W. Caldwell. The Prostate; August 2007;67(11):1174-1181. Quote: "Background: Prostate cancer has been reported to occur more commonly in neutered than intact male dogs in several case series. This study was undertaken to evaluate risk of prostate cancer in a large population database. The hypothesis was that castration is a risk factor for prostate cancer in male companion dogs. Methods: Data were derived from recorded visits to North American veterinary teaching hospitals. The Veterinary Medical Databases (VMDB) were queried to yield male dogs with urinary bladder transitional cell carcinoma (TCC), prostate adenocarcinoma (ACA), prostate TCC, prostate carcinoma (CA), and prostate tumors. A second query yielded all male dogs over the age of 4 years without a diagnosis of urinary tract cancer. These populations were compared to determine relative risks for developing each disease, singly and collectively, associated with neutering status. Odds ratios were calculated for breed as a risk factor. Results: Neutered males had a significantly increased risk for each form of cancer. Neutered males had an odds ratio of 3.56 (3.02-4.21) for urinary bladder TCC, 8.00 (5.60-11.42) for prostate TCC, 2.12 (1.80-2.49) for prostate adenocarcinoma, 3.86 (3.13-4.16) for prostate carcinoma, and 2.84 (2.57-3.14) for all prostate cancers. Relative risks were highly similar when cases were limited to those with a histologically confirmed diagnosis. Conclusions: Breed predisposition suggests that genetic factors play a role in the development of prostate cancer. The risk associated with being neutered is highest for TCC, supporting previous work identifying the urothelium and ductular rather than acinar epithelium as the source of these tumors."
Corneal squamous cell carcinoma in dogs with a history of chronic keratitis. R. R. Dubielzig, C. S. Schobert and J. Dreyfus. Vet Ophth; 2008;11(6):413-429 (Abstract 101). Quote: "Purpose: Corneal squamous cell carcinoma (SCC) is a rare tumor in dogs. The COPLOW has seen a recent increase in primary SCC in the axial cornea. We report here on 25 cases. Methods: Twenty-five cases of primary axial corneal SCC were selected from the COPLOW collection which includes more that 6000 neoplastic specimens. ... Results: The number of canine corneal SCC has risen in the past several years from 1 case per year from 1998 to 2004, jumping to 6 cases in 2005, 8 cases in 2006, and 7 cases in 2007. Brachycephalic breeds are overrepresented. The breed distribution included 8 Pugs, 5 Bulldog, 2 Boxers, 2 Greyhound, 2 Shi Tzu, 2 Border Collie, 2 Pekinese, 1 Bassett, 1 Chow, 1 Cocker, and 1 Cavalier King Charles Spaniel. No correlation to sex was found. Out of the 25 cases, 21 showed signs of chronic keratitis prior to developing SCC. In the remaining 4 cases the prior corneal history was unknown. Within the group of 25, 10 cases had been treated with cyclosporine alone, 4 with tacrolimus alone, 5 with both cyclosporine and tacrolimus, and 6 treated with other drugs or unknown. Follow-up information was obtained from 23 cases with a follow-up interval of between 5 days and 31 months (mean: 7.9 months). Three dogs had died for reasons unrelated to the ocular disease. One dog had recurrent disease extending deeply into the cornea. Conclusions: Brachycephalic dogs with a background of chronic keratitis that are treated with nonsteroidal antiinflammatory drugs are at risk to develop axial corneal SCC. The increase in annual cases of SCC suggests that this phenomenon is a developing problem."
Examining the heritability of anal sac gland carcinoma in cocker spaniels. Gerry Polton. J Sm Animal Prac; Jan 2009;50(1):57. Quote: English cocker spaniels, and to a lesser extent springer and cavalier King Charles spaniels, are at higher risk of developing anal sac gland tumours than other dogs. ... If colleagues have encountered this tumour in an English cocker spaniel, a springer spaniel or a cavalier King Charles spaniel, it would be of great value to this project if a blood sample and/or the affected patient's pedigree certificate could be submitted for inclusion in the analyses. ... For further information or to submit blood or pedigrees please contact Gerry Polton at North Downs Specialist Referrals, Friesian Building 3&4, Brewerstreet Dairy Business Park, Brewer Street, Bletchingley, Surrey RH1 4QP, UK. Tel: +44 (0) 1883 741440, Fax: +44 (0) 1883 347030. E-mail: gerrypolton@gmail.com website: www.ndsr.co.uk
Multi-focal cerebral oligoastrocytoma in a puppy. G. L. Walmsley, K. Chandler, E. S. Davies, C. R. Lamb, B. Smyth, B. A. Summers. J. Sm. Anim. Pract. August 2009; doi: 10.1111/j.1748-5827.2009.00761.x. Quote: A nine-month-old entire male cavalier King Charles spaniel presented with cluster seizures, which had been preceded by behaviour changes for approximately 24 hours. ... The Neurological deficits were found localising to the prosencephalon, mesencephalon and myelencephalon. Magnetic resonance imaging identified multiple, large lesions involving both cerebral hemispheres. Management with antiepileptic and immunomodulatory drugs was instituted; however, the seizures became progressively refractory and the puppy was euthanased. Histopathology following post-mortem examination found a mixed glial cell tumour with discrete areas where neoplastic cells appeared oligodendroglial or astrocytic. Primary intracranial neoplasia is a rare cause of neurological disease in young dogs. Moreover, this case is unusual in terms of both the mixed glial nature of the neoplasm and also its multi-focal distribution.
Association between anal sac gland carcinoma and dog leukocyte antigen-DQB1 in the English Cocker Spaniel. J Aguirre-Hernández; G Polton; L J Kennedy; D R Sargan. Tissue antigens 2010;76(6):476-81. Quote: "Anal sac gland carcinomas occur frequently in English Cocker Spaniels and, to a lesser extent, in other spaniel breeds. The disease typically presents in dogs aged 8 years or older and frequently metastasises to the local lymph nodes. The association between anal sac gland carcinoma in English Cocker Spaniels and the major histocompatibility complex class II loci (the dog leukocyte antigen loci DLA-DRB1, -DQA1, -DQB1) was investigated in 42 cases and 75 controls. Based on a corrected error rate of 0.017 for each test, the allele distribution in DLA-DRB1 showed no significant difference between cases and controls (P value = 0.019), while a significant difference was obtained for DLA-DQA1 and -DQB1 alleles (P values are 0.010 and 3.3 × 10⁻⁵). The DLA-DQB1*00701 allele was the most common in both cases and controls, but it had a higher frequency among the former (0.89) than in the latter (0.61), while the second most common allele had a higher frequency in the controls (0.23) than in the cases (0.07). Haplotype distributions were also significantly different between the two groups (P value = 1.61 × 10⁻⁴). This is the second disease in English Cocker Spaniels for which the most common DLA-DQB1 allele in the breed has been shown to have a higher frequency in cases than controls, while the second most common allele in the breed (*02001) has a significantly higher frequency in the controls, compared with the cases."
The development of multiple cutaneous inverted papilloma following ovariohysterectomy in a dog. Munday, J.S.; French, A.F.; MacNamara, A.R. N.Zeal. Vet. J.; June 2010;58(3):168-171(4). Quote: "Case History: Ovariohysterectomy was performed on an adult Cavalier King Charles Spaniel. The skin that had been clipped for surgery was noticed to be erythematous 8 days later. Clinical and Pathological Findings: Poorly defined patches containing multiple papules were visible bilaterally within the clipped skin. These became larger over the following 2 weeks, and samples were collected for histology. Seven days later, the lesions were multiple raised masses, up to 5 cm in diameter. Histology revealed numerous cup-shaped epidermal proliferations extending into the dermis. The presence of keratin ocytes with increased quantities of blue-grey cytoplasm, and koilocytosis suggested papillomaviral infection; Canis familiaris papillomavirus (CfPV-2) DNA was amplified from two separate samples. Complete regression was observed 8 weeks after the lesions had been initially observed. Diagnosis: Multiple inverted papilloma confined to skin that had been clipped for surgery. Clinical Relevance: This is the first time that the development of canine cutaneous papillomas has been associated with surgery. The nature of the association between surgery and development of the papillomas is uncertain. However, it is possible that damage to superficial skin could promote the formation of papillomas. This is the first identification of CfPV-2 in New Zealand."
Microchip-induced tumors in laboratory rodents and dogs: A review of the literature 1990-2006. Katherine Albrecht. IEEE Int'l Symposium. June 2010;337-349. Quote: This paper reviews literature published in oncology and toxicology journals between 1990 and 2006 addressing the effects of implanted radio-frequency (RFID) microchips on laboratory rodents and dogs. Eleven articles were reviewed in all, with eight investigating mice and rats, and three investigating dogs. In all but three of the articles, researchers observed that malignant sarcomas and other cancers formed around or adjacent to the implanted microchips. The tumors developed in both experimental and control animals, and in two household pets. In nearly all cases, researchers concluded that the microchips had induced the cancers. Possible explanations for the tumors are explored, and a set of recommendations for policy makers, human patients and their doctors, veterinarians, pet owners, and oncology researchers is presented in light of these findings.
Unilateral facial myokymia in a dog with an intracranial meningioma. Holland, CT; Holland, JT; Rozmanec, M. Austr Vet J; Sept 2010;88(9):357-361(5). Quote: "A 23-month-old castrated male Cavalier King Charles spaniel was evaluated because of a 6-month history of unusual rippling/undulating movements of the right facial muscles that were continuous and persisted during sleep. Neurological examination revealed narrowing of the right palpebral fissure and unilateral right-sided facial myokymia that was characterised by myokymic, and to a lesser degree, neuromyotonic discharges on concentric needle electromyographic examination. After persisting unchanged for almost 2.5 years from its onset, the facial myokymia gradually disappeared over a 6-month period concomitant with the emergence of a persistent ipsilateral facial paralysis and head tilt. At 5 years and 9 months after the first examination, signs of ipsilateral lacrimal, pharyngeal and laryngeal dysfunction became evident and the dog was euthanased. Postmortem examination identified a malignant (WHO grade III) meningioma in the right cerebellopontomedullary angle that compressed the ventrolateral cranial medulla, effaced the jugular foramen and internal acoustic meatus and extended into the facial canal of the petrous temporal bone. Novel findings were the unique observation of isolated unilateral facial myokymia preceding diagnosis of a meningioma affecting facial nerve function within the caudal cranial fossa and the remarkably long duration of neurological signs (75 months) attributable to the neoplasm."
Discovery and Canine Preclinical Assessment of a Nontoxic Procaspase-3-Activating Compound. Quinn P. Peterson, Danny C. Hsu, Chris J. Novotny, Diana C. West, Dewey Kim, Joanna M. Schmit, Levent Dirikolu, Paul J. Hergenrother, Timothy M. Fan. J.CancerRes. Sept. 2010;70:7232-7241. Quote: "A critical event in the apoptotic cascade is the proteolytic activation of procaspases to active caspases. The caspase autoactivating compound PAC-1 induces cancer cell apoptosis and exhibits antitumor activity in murine xenograft models when administered orally as a lipid-based formulation or implanted s.c. as a cholesterol pellet. However, high doses of PAC-1 were found to induce neurotoxicity, prompting us to design and assess a novel PAC-1 derivative called S-PAC-1. Similar to PAC-1, S-PAC-1 activated procaspase-3 and induced cancer cell apoptosis. However, S-PAC-1 did not induce neurotoxicity in mice or dogs. Continuous i.v. infusion of S-PAC-1 in dogs led to a steady-state plasma concentration of ∼10 μmol/L for 24 to 72 hours. In a small efficacy trial of S-PAC-1, evaluation of six pet dogs with lymphoma revealed that S-PAC-1 was well tolerated and that the treatments induced partial tumor regression or stable disease in four of six subjects. Our results support this canine setting for further evaluation of small-molecule procaspase-3 activators, including S-PAC-1, a compound that is an excellent candidate for further clinical evaluation as a novel cancer chemotherapeutic."
Syncope in a
Cavalier King Charles dog. C Fina, F
Stambouli. Point Veterinaire, 2011;42(316):9-10. Quote: The clinical
signs, diagnosis and surgical treatment of chemodectoma in a
Cavalier King Charles Spaniel dog in France are described.
Clinical presentation: A 7-year-old Charles Charles male dog is
presented for consultation for the exploration of a heart murmur. The
owners report an episode of syncope 2 months before the consultation and
the appearance of a dry cough for 1 week. The clinical examination
confirms left apexal systolic systolic murmur (IV / VI) without any
other abnormality. X-rays of front and thorax profile are made (photos 1
and 2) .Quality of the image → The density, the contrast, the sharpness
and the fineness of the details are ...
Superficial corneal squamous cell carcinoma occurring in dogs with chronic keratitis. Jennifer Dreyfus, Charles S. Schobert, Richard R. Dubielzig. Vet Ophth; May 2011;14(3):161-168. Quote: "Objective: Canine corneal squamous cell carcinoma (SCC) is a rare tumor, with only eight cases previously published in the veterinary literature. The Comparative Ocular Pathology Lab of Wisconsin (COPLOW) has diagnosed 26 spontaneously occurring cases, 23 in the past 4 years [three of which were cavalier King Charles spaniels]. This retrospective study describes age and breed prevalence, concurrent therapy, biologic behavior, tumor size and character, and 6-month survival rates after diagnosis. Results: A search of the COPLOW database identified 26 corneal SCC cases diagnosed from 1978 to 2008. There is a strong breed predilection (77%) in brachycephalic breeds, particularly those prone to keratoconjunctivitis sicca. The mean age was 9.6 years (range 6-14.5 years). Follow-up information >6 months was available for 15 of 26 cases. Recurrence occurred in the same eye in nine cases, seven of which were incompletely excised at the time of first keratectomy. No cases were known to have tumor growth in the contralateral eye and no cases of distant metastases are known. Where drug history is known, 16 of 21 dogs had a history of treatment with topical immunosuppressive therapy (cyclosporine or tacrolimus) at the time of diagnosis. Conclusion: Chronic inflammatory conditions of the cornea and topical immunosuppressive therapy may be risk factors for developing primary corneal SCC in dogs. SCC should be considered in any differential diagnosis of corneal proliferative lesions. Superficial keratectomy with complete excision is recommended, and the metastatic potential appears to be low."
Canine tonsillar squamous cell carcinoma - a multi-centre retrospective review of 44 clinical cases. A. Mas, L. Blackwood, P. Cripps, S. Murphy, J. De Vos, N. Dervisis, M. Martano, G. A. Polton. J. Sm. Anim. Pract. July 2011; doi: 10.1111/j.1748-5827.2011.01075.x. Quote: Objectives: To review the presenting clinical signs, treatment and survival of dogs with tonsillar squamous cell carcinoma and, if possible, to identify useful prognostic indicators. Methods: Medical records of 44 dogs were reviewed retrospectively [including 4 cavalier King Charles spaniels (9.1%)]. Clinical signs, clinical stage, time of diagnosis, treatment and outcome were recorded. Data were analysed using the Kaplan-Meier, log-rank, Student's t test, Kruskal-Wallis test and Chi-square/Fisher Exact test as appropriate. Results: The most frequent clinical signs were cough (12 dogs, 27%), enlarged lymph nodes (11 dogs, 25%) and dysphagia (11 dogs, 25%). Anorexia and lethargy were less common but were significantly associated with a poor outcome. No matter what treatment modalities were used, survival times were short and median survival time for all the dogs in the study was 179 days. However, there were a small number of long-term survivors. Clinical Significance: Dogs with tonsillar squamous cell carcinoma that suffered anorexia and lethargy had shorter survival times than patients without these clinical signs. Although surgery, chemotherapy and radiotherapy seem to increase the median survival time of dogs diagnosed with tonsillar squamous cell carcinoma, there is no highly effective treatment for canine tonsillar squamous cell carcinoma.
Dog models of naturally occurring cancer. Jennie L. Rowell, Donna O. McCarthy, Carlos E. Alvarez. Trends in Molecular Med. July 2011;17(7):380-388. Quote: "Studies using dogs provide an ideal solution to the gap in animal models for natural disease and translational medicine. This is evidenced by approximately 400 inherited disorders being characterized in domesticated dogs, most of which are relevant to humans. There are several hundred isolated populations of dogs (breeds) and each has a vastly reduced genetic variation compared with humans; this simplifies disease mapping and pharmacogenomics. Dogs age five- to eight-fold faster than do humans, share environments with their owners, are usually kept until old age and receive a high level of health care. Farseeing investigators recognized this potential and, over the past decade, have developed the necessary tools and infrastructure to utilize this powerful model of human disease, including the sequencing of the dog genome in 2005. Here, we review the nascent convergence of genetic and translational canine models of spontaneous disease, focusing on cancer."
Pharmacokinetics and derivation of an anticancer dosing regimen for PAC-1 in healthy dogs. Pamela W. Lucas, Joanna M. Schmit, Quinn P. Peterson, Diana C. West, Danny C. Hsu, Chris J. Novotny, Levent Dirikolu, Daniel R. Deorge, Laura D. Garrett, Paul J. Hergenrother, and Timothy M. Fan. Invest New Drugs. 2011 October; 29(5): 901-911. Quote: "PAC-1 [procaspase-3 activating compound 1] is a preferential small molecule activator of procaspase-3 and has potential to become a novel and effective anticancer agent. The rational development of PAC-1 for translational oncologic applications would be advanced by coupling relevant in vitro cytotoxicity studies with pharmacokinetic investigations conducted in large mammalian models possessing similar metabolism and physiology as people. In the present study, we investigated whether concentrations and exposure durations of PAC-1 that induce cytotoxicity in lymphoma cell lines in vitro can be achievable in healthy dogs through a constant rate infusion (CRI) intravenous delivery strategy. Time- and dose-dependent procaspase-3 activation by PAC-1 with subsequent cytotoxicity was determined in a panel of B-cell lymphoma cells in vitro. The pharmacokinetics of PAC-1 administered orally or intravenously was studied in 6 healthy dogs using a crossover design. The feasibility of maintaining steady state plasma concentration of PAC-1 for 24 or 48 hours that paralleled in vitro cytotoxic concentrations was investigated in 4 healthy dogs. In vitro, PAC-1 induced apoptosis in lymphoma cell lines in a time- and dose-dependent manner. The oral bioavailability of PAC-1 was relatively low and highly variable (17.8 ± 9.5%). The achievement and maintenance of predicted PAC-1 cytotoxic concentrations in normal dogs was safely attained via intravenous CRI lasting for 24 or 48 hours in duration. Using study, we investigated whether concentrations and exposure durations of PAC-1 that induce cytotoxicity in lymphoma cell lines in vitro can be achievable in healthy dogs through a constant rate infusion (CRI) intravenous delivery strategy. Time- and dose-dependent procaspase-3 activation by PAC-1 with subsequent cytotoxicity was determined in a panel of B-cell lymphoma cells in vitro. The pharmacokinetics of PAC-1 administered orally or intravenously was studied in 6 healthy dogs using a crossover design. The feasibility of maintaining steady state plasma concentration of PAC-1 for 24 or 48 hours that paralleled in vitro cytotoxic concentrations was investigated in 4 healthy dogs. In vitro, PAC-1 induced apoptosis in lymphoma cell lines in a time- and dose-dependent manner. The oral bioavailability of PAC-1 was relatively low and highly variable (17.8 ± 9.5%). The achievement and maintenance of predicted PAC-1 cytotoxic concentrations in normal dogs was safely attained via intravenous CRI lasting for 24 or 48 hours in duration. Using the dog as a large mammalian model, PAC-1 can be safely administered as an intravenous CRI while achieving predicted in vitro cytotoxic concentrations."
Malocclusion associated with macroglossia in a dog. Gerhard Putter. Comp. Anim. Nov/Dec 2011;16(9):12-19. Quote: "Macroglossia (defined as enlargement of the tongue but not indicating the cause) is a rare condition in dogs. The association with malocclusion has not been described before. It has been reported that resection of as much as 60% of the body of the tongue is well tolerated by dogs. Although the tongue is a very vascular organ, intraoperative haemorrhage during tongue amputation can be effectively controlled by a tourniquet at the base of the tongue. Healing of the amputation wound is usually rapid and uneventful. ... A five year old, 12 kg neutered male Cavalier King Charles Spaniel was presented with a complaint of an excessively long tongue."
Identification of genetic variation in 11 candidate genes of canine mammary tumour. K. S. Borge, A. L. Børresen-Dale, F. Lingaas. Vet. & Comp. Oncology; Dec 2011;9(4):241-250. Quote: "The incidence of canine mammary tumours (CMTs) differs significantly between breeds [cavalier King Charles spaniels are identified as being at low-risk for CMT], strongly supporting an influence of genetic risk factors. We aimed at identifying germline genetic variations in mammary tumour-associated genes in dogs and survey whether these might alter the encoded proteins. We sequenced 11 genes (BRCA1, BRCA2, BRIP1, CDH1, CHEK2, EGFR, ESR1, HER2, PTEN, STK11 and TP53) and screened for genetic variations. Sixty-four single nucleotide polymorphisms (SNPs) were identified. Nine of the coding SNPs were non-synonymous, of which four were located in gene regions conserved across four species. Three of the non-synonymous SNPs might be damaging according to PolyPhen predictions. One of the indels identified has previously been associated with CMTs. Because of the founder effects, genetic drift and inbreeding in many dog breeds the allele frequencies of the genes studied are likely to vary significantly between breeds and contribute to the considerable difference in genetic risk associated with cancer."
Thymidine kinase assay in canine lymphoma. J. W. Elliott, P. Cripps, L. Blackwood. Vet. & Comp. Oncology; Dec 2011. Quote: "The aim of the study was to evaluate if thymidine kinase (TK) correlated with duration of first remission (DFR) or survival in dogs with lymphoma and if initial TK levels correlated with stage and substage; and also to assess if TK level at diagnosis correlated with immunophenotype. TK was assayed in 73 dogs with treatment naïve lymphoma, then again after treatment; 47% had an initial TK above the reference interval. Dogs with B-cell lymphoma had higher initial TK activities than dogs with T-cell lymphoma. TK levels were not higher in dogs with higher stage disease and TK activity prior to treatment was not associated with DFR or survival. Where TK was elevated at diagnosis, it fell into the reference range during remission. TK was normal in 53% dogs at diagnosis, which is higher than previously reported. Further studies are warranted to assess the utility of TK in dogs with lymphoma."
Parallel Synthesis and Biological Evaluation of 837 Analogues of Procaspase-Activating Compound 1 (PAC-1). Danny C. Hsu, Howard S. Roth, Diana C. West, Rachel C. Botham, Chris J. Novotny, Steven C. Schmid, Paul J. Hergenrother. ACS Comb Sci. 2012 January; 14(1):44-50. Quote: "Procaspase-Activating Compound 1 (PAC-1) is an ortho-hydroxy N-acyl hydrazone that enhances the enzymatic activity of procaspase-3 in vitro and induces apoptosis in cancer cells. An analogue of PAC-1, called S-PAC-1, was evaluated in a veterinary clinical trial in pet dogs with lymphoma and found to have considerable potential as an anticancer agent. With the goal of identifying more potent compounds in this promising class of experimental therapeutics, a combinatorial library based on PAC-1 was created, and the compounds were evaluated for their ability to induce death of cancer cells in culture. For library construction, 31 hydrazides were condensed in parallel with 27 aldehydes to create 837 PAC-1 analogues, with an average purity of 91%. The compounds were evaluated for their ability to induce apoptosis in cancer cells, and through this work, six compounds were discovered to be substantially more potent than PAC-1 and S-PAC-1. These six hits were further evaluated for their ability to relieve zinc-mediated inhibition of procaspase-3 in vitro. In general, the newly identified hit compounds are two- to four-fold more potent than PAC-1 and S-PAC-1 in cell culture, and thus have promise as experimental therapeutics for treatment of the many cancers that have elevated expression levels of procaspase-3.
Household chemical exposures
and the risk of canine malignant lymphoma, a model for human non-Hodgkin's
lymphoma. Biki B. Takashima-Uebelhoer, Lisa G. Barber, Sofija E. Zagarins,
Elizabeth Procter-Gray, Audra L. Gollenberg, Antony S. Moore, Elizabeth R.
Bertone-Johnson. Environmental Research. Jan 2012.; 112:171-176. Quote:
"Background: Epidemiologic studies of companion animals offer an important
opportunity to identify risk factors for cancers in animals and humans. Canine
malignant lymphoma (CML) has been established as a model for non-Hodgkin's
lymphoma (NHL). Previous studies have suggested that exposure to environmental
chemicals may relate to development of CML. Methods: We assessed the relation of
exposure to flea and tick control products and lawn-care products and risk of
CML in a case-control study of dogs presented to a tertiary-care veterinary
hospital (2000-2006). Cases were 263 dogs with biopsy-confirmed CML. Controls
included 240 dogs with benign tumors and 230 dogs undergoing surgeries unrelated
to cancer. Dog owners completed a 10-page questionnaire measuring demographic,
environmental, and medical factors. Results: After adjustment for age, weight,
and other factors, use of specific lawn care products was associated with
greater risk of CML. Specifically, the use of professionally applied pesticides
was associated with a significant 70% higher risk of CML (odds ratio(OR)=1.7;
95% confidence interval (CI)=1.1-2.7). Risk was also higher in those reporting
use of self-applied insect growth regulators (OR=2.7; 95% CI=1.1-6.8). The use
of flea and tick control products was unrelated to risk of CML. Conclusions:
Results suggest that use of some lawn care chemicals may increase the risk of
CML. Additional analyses are needed to evaluate whether specific chemicals in
these products may be related to risk of CML, and perhaps to human NHL as well."
The effect of neutering on the risk of mammary tumours in dogs - a systematic review. W. Beauvais, J. M. Cardwell and D. C. Brodbelt. J.Sm.Anim.Pract, June 2012; 53(6): 314-322. Quote: "A commonly-stated advantage of neutering bitches is a significant reduction in the risk of mammary tumours, however the evidence for this has not previously been assessed by systematic review. The objectives of this study were to estimate the magnitude and strength of evidence for any effect of neutering, or age of neutering, on the risk of mammary tumours in bitches. A systematic review was conducted based on Cochrane guidelines. Peer-reviewed analytic journal articles in English were eligible and were assessed for risk of bias by two reviewers independently. Of 11,149 search results, 13 reports in English-language peer-reviewed journals addressed the association between neutering/ age at neutering and mammary tumours. Nine were judged to have a high risk of bias. The remaining four were classified as having a moderate risk of bias. One study found an association between neutering and a reduced risk of mammary tumours. Two studies found no evidence of an association. One reported "some protective effect" of neutering on the risk of mammary tumours, but no numbers were presented. Due to the limited evidence available and the risk of bias in the published results, the evidence that neutering reduces the risk of mammary neoplasia, and the evidence that age at neutering has an effect, are judged to be weak and are not a sound basis for firm recommendations."
The dog as a possible animal model for human non-Hodgkin lymphoma: a review. Laura Marconato, Maria Elena Gelain, Stefano Comazzi. Hematological Oncology. 2012. Quote: "Lymphoma represents the most frequent hematopoietic cancer in dogs, and it shows significant overlap with the human disease. ... Diffuse large B-cell lymphoma ... DLBCL is prevalent in Cavalier King Charles Spaniel and Bassethound ... Several environmental factors have been associated with canine lymphoma, suggesting that they may contribute to lymphomagenesis. Canine lymphoma often presents in advanced stage (III-V) at diagnosis and, most commonly, has an aggressive clinical course requiring prompt treatment, which relies on the use of polychemotherapy. In this review, we will summarize the state-of-the-art of canine lymphoma epidemiology, pathobiology, diagnostic work-up and therapy, and will highlight the links to the corresponding human disease, providing evidence for the use of dog as an animal model of spontaneous disease."
Squamous papilloma in an older Cavalier King Charles. Sing Kong Yuen. Aug. 2012. SinPets.com
Rectal lymphoma in 11 dogs - a retrospective study. N. Van den Steen, D. Berlato, G. Polton, J. Dobson, J. Stewart, G. Maglennon, A. M. Hayes and S. Murphy. J.Sm.Anim.Prac. Aug 2012. Quote: "Objectives: To retrospectively evaluate the clinical behaviour and immunophenotype of lymphoma of the rectum in dogs. Methods: Eleven dogs [including a cavalier King Charles spaniel] diagnosed with lymphoma of the rectum on histopathology were retrospectively reviewed. Immunohistochemistry with CD3 and CD79a antibodies was performed at diagnosis or retrospectively. Results: Treatment protocol varied with six dogs undergoing surgery and adjuvant chemotherapy, two received chemotherapy after only incisional biopsy, one had surgical resection only, one was treated symptomatically and one dog was not treated. Chemotherapy treatment consisted of either a -low-dose COP (cyclophosphamide - prednisolone - vincristine) protocol (four dogs) or a six-week CHOP-based (cyclophosphamide - vincristine - -prednisolone - anthracycline) protocol (four dogs). Dogs that received chemotherapy lived significantly longer than dogs that did not receive chemotherapy (2352 versus 70 days). Median survival time was not reached, and there was an overall mean survival time of 1697 days. Immuno-histochemistry was performed in 10 of 11 samples, and was consistent with B-cell -lymphoma in all cases. Clinical Significance: Canine lymphoma of the rectum is associated with a favourable prognosis. Immunohistochemical evaluation of these lesions was consistent with B-cell lymphoma in all cases in which it was examined."
Single Agent Polysaccharopeptide Delays Metastases and Improves Survival in
Naturally Occurring Hemangiosarcoma. Dorothy Cimino Brown and Jennifer
Reetz. Evidence-Based Complementary and Alternative Medicine 2012; Article ID
384301. Quote: "The 2008 World Health Organization World Cancer Report describes
global cancer incidence soaring with many patients living in countries that lack
resources for cancer control. Alternative treatment strategies that can reduce
the global disease burden at manageable costs must be developed. Polysaccharopeptide (PSP) is the bioactive agent from the mushroom Coriolus
versicolor (right). Studies indicate PSP has in vitro antitumor activities and inhibits
the growth of induced tumors in animal models. Clear evidence of clinically
relevant benefits of PSP in cancer patients, however, is lacking. The investment
of resources required to complete large-scale, randomized controlled trials of
PSP in cancer patients is more easily justified if antitumor and survival
benefits are documented in a complex animal model of a naturally occurring
cancer that parallels human disease. Because of its high metastatic rate and
vascular origin, canine hemangiosarcoma is used for investigations in
antimetastatic and antiangiogenic therapies. In this double-blind randomized
multidose pilot study, high-dose PSP significantly delayed the progression of
metastases and afforded the longest survival times reported in canine
hemangiosarcoma. These data suggest that, for those cancer patients for whom
advanced treatments are not accessible, PSP as a single agent might offer
significant improvements in morbidity and mortality."
Breed Variations in the Incidence of Pyometra and Mammary Tumours in Swedish Dogs. S. Jitpean, R. Hagman, B. Strom Holst, O.V. Hoglund, A. Pettersson, A. Egenvall. Reproduction in Domestic Animals. Dec. 2012. Quote: "Dogs enrolled in a Swedish insurance company (during 1995-2006) were studied for development of pyometra and mammary tumours (MTs), with special attention to breed and age. There were over 260 000 female dogs with over 1 000 000 dog-years at risk (DYAR) in the database, using data on bitches up to 10 years of age and 110 breeds with over 1000 DYAR. In total, 20 423 bitches were diagnosed with pyometra and 11 758 with MTs and 30 131 with either or both of the two diseases. [48% of female cavalier King Charles spaniels developed pyometra, and 15% of them developed mammary tumors, and 54% of them developed either or both pyometra and mammary tumors, by the age of ten years.] The incidence rate (IR) for pyometra was 199 (95% CI 196-202), for MTs 112 (95% CI 110-114) and for either or both of the two diseases 297 (95% CI 294-301) dogs per 10 000 DYAR. The mean age of diagnosis pyometra was 7.0 years (SD ± 2.2), MTs 8.0 years (SD ± 1.6). In all breeds, the overall proportion of the bitches that developed disease by 10 years of age was for pyometra 19%, MTs 13%, and either or both of two diseases 30%. The top 10 breeds diagnosed with either or both of the two diseases were the Leonberger (73%), Irish Wolfhound (69%), Bernese Mountain Dog (69%), Great Dane (68%), Staffordshire Bull Terrier (66%), Rottweiler (65%), Bullterrier (62%), Doberman (62%), Bouvier des Flandres (60%), Airdaleterrier (60%). These data provide information of the combined disease incidence in a large number of different breeds. Breed variations in incidence rate suggests genetic components in disease development. Our study may be valuable in the search for genetic risk-factors or protective factors."
Evaluation of an anal sac adenocarcinoma tumor in a Spitz dog. Javad Javanbakht, Abbas Tavassoli, Atefeh Sabbagh, Mehdy Aghamohammmad Hassan, Shohreh Alian Samakkhah, Radmehr Shafiee, Ali Lakzian, Vahideh Rahmani Ghalee, and Sonia Shoja Gharebagh. Asian Pac J Tropical Biomed. Jan. 2013; 3(1):74-78. Quote: "Anal Gland Adenocarcinoma is a cancer of the apocrine gland, located inside of the anal sac. Canine anal glands are scent glands that produce an oily secretion. They are found on either side of the dog's anus between the internal and external sphincter. These tumors tend to be locally invasive and can metastasize early. However, this cancer is associated with a prolonged clinical course. Breeds more commonly affected include English Cocker Spaniels, Cavalier King Charles Spaniels, German Shepherds and English Springer Spaniels. Both genders of dogs are equally affected. The cause of this tumor is unknown."
Breed-Predispositions to Cancer in Pedigree Dogs. Jane M. Dobson. ISRN Vet.Sci. 2013. Quote: "Cancer is a common problem in dogs and although all breeds of dog and crossbred dogs may be affected, it is notable that some breeds of pedigree dogs appear to be at increased risk of certain types of cancer suggesting underlying genetic predisposition to cancer susceptibility. Although the aetiology of most cancers is likely to be multifactorial, the limited genetic diversity seen in purebred dogs facilitates genetic linkage or association studies on relatively small populations as compared to humans, and by using newly developed resources, genome-wide association studies in dog breeds are proving to be a powerful tool for unravelling complex disorders. This paper will review the literature on canine breed susceptibility to histiocytic sarcoma, osteosarcoma, haemangiosarcoma, mast cell tumours, lymphoma, melanoma, and mammary tumours including the recent advances in knowledge through molecular genetic, cytogenetic, and genome wide association studies. ... In our clinic (Cambridge, UK) ... cavalier King Charles spaniels ... are under-represented [for mast cell tumors]. ... Canine anal sac gland carcinoma (ASGC) is a relatively uncommon malignancy arising from the apocrine glands in the walls of the anal sacs. This tumour is invasive and metastatic in nature and is often associated with a paraneoplastic hypercalcaemia. Although ASGC [anal sac gland carcinoma] may arise in any breed of dog the English cocker spaniel and to a lesser degree other spaniel types (English springer and cavalier King Charles) have been reported to be predisposed to development of this tumour."
Neutering Dogs: Effects on Joint Disorders and Cancers in Golden Retrievers. Gretel Torres de la Riva, Benjamin L. Hart, Thomas B. Farver, Anita M. Oberbauer, Locksley L. McV Messam, Neil Willits, Lynette A. Hart. PLOSone. Feb. 2013. Excerpt: "Hemangiosarcoma is a cancer that is affected by neutering in females. A study of cardiac tumors in dogs found that cardiac HSA for spayed females was greater than 4 times that of intact females. A study on splenic HSA found the spayed females had more than 2 times the risk of developing this tumor as intact females. Neither of these studies separated early- versus late-spayed females with regard to increased risk, and neither focused on just one breed. A study on the epidemiology of LSA (lymphoma) in dogs, for comparison with human lymphoma, found that intact females had a significantly lower risk of developing this cancer than neutered females or neutered males or intact males. Another cancer of concern is prostate cancer, which occurs in neutered males about four times as frequently as in intact males. A study on cutaneous mast cell tumors (MCT) in several dog breeds, including the Golden Retriever, examined risk factors such as breed, size, and neuter status. Although early versus late neutering was not considered, the results showed a significant increase in frequency of MCT in neutered females; four times greater than that of intact females. In contrast to the rather strong evidence for neutering males and/or females as a risk factor for OSA, HSA, LSA, MCT, and prostate cancer, evidence for neutering as protection against a dog acquiring one or more cancers is weak. The most frequently mentioned is mammary cancer (MC). However, a recent systematic review of published work on neutering and mammary tumors found the evidence that neutering reduces the risk of mammary neoplasia to be weak, at best."
Breed predispositions in canine mast cell tumour: A single centre experience in the United Kingdom. James Warland, Jane Dobson. Vet.J. April 2013. Quote: "Genetic factors play a major role in carcinogenesis. Many breeds have been reported to be predisposed to mast cell tumour (MCT) development using various methods and diverse control populations. A database of 222 dogs with MCT seen at a UK university referral hospital was compared to three control populations, namely, an insured population of UK dogs, registrations with the UK Kennel Club and other dogs seen through the same hospital. Odds ratios were calculated for each breed. Boxers, Labradors, Golden Retrievers and Staffordshire Bull Terriers appeared predisposed to MCT development. English Springer Spaniels, English Cocker Spaniels, German Shepherd Dogs, West Highland White Terriers and Cavalier King Charles Spaniels were underrepresented."
Serum thymidine kinase 1 and C-reactive protein as biomarkers for screening clinically healthy dogs for occult disease. K. A. Selting, C. R. Sharp, R. Ringold, J. Knouse. Vet. & Comparative Oncology. 2013. Quote: "Thymidine kinase (TK1) is a biomarker that correlates well with diagnosis and prognosis in certain canine cancers. Canine C-reactive protein (cCRP) is a widely accepted marker of inflammation correlated with increased risk and severity of various diseases. We evaluated serum TK1 and cCRP concentrations in apparently healthy dogs (n=360). All dogs were followed up for a minimum of 6months by health questionnaire. All dogs with cancer were identified using a proprietary dual-biomarker algorithm [termed Neoplasia Index (NI)]. Specificity of positive NI is 0.91 and high positive is 0.98. All-cause mortality was 20% in dogs with elevated cCRP and 3% in dogs with low cCRP. The performance of serum TK1 and cCRP as tools for screening for occult cancer is improved when evaluated together. Serum TK1 and cCRP (unified in the NI) are useful in the screening of occult canine cancer. cCRP is useful in screening for other serious diseases."
Canine Melanoma Vaccine. Heather Wilson-Robles. Clinicians Brief. August 2013:15-16. Quote: "Malignant melanoma is the most common malignant oral tumor in dogs, but it can also occur in other locations (eg, nail bed, eye, perineum, nasal cavity, GI tract, skin). ... Oncept (Merial, petcancervaccine.com), immunotherapy labeled for dogs with stage II or III oral melanoma, can help achieve local disease control.4 This therapy uses an orthologous DNA (different species) vaccine against tyrosinase, a melanosomal glycoprotein needed for melanin synthesis, to induce an antityrosinase immune response.5 Tyrosinase has been overexpressed in melanomas of various species.6-8 Although the human tyrosinase protein differs enough from the canine tyrosinase protein to allow human tyrosinase protein stimulation of an immune response in canine patients, in some cases the human tyrosinase protein is similar enough to the canine tyrosinase protein that the immune response is effective against canine melanoma cells."
Successful transendoscopic oesophageal mass ablation in two dogs with Spirocerca lupi associated oesophageal sarcoma. E. Yas, G. Kelmer, A. Shipov, J. Ben-Oz and G. Segev. J.Sm.Anim.Pract. Sept. 2013;54(9):495-498. Quote: "This report describes two cases of oesophageal tumours managed by transendoscopic neodymium:yttrium-aluminum-garnet laser ablation and polypectomy snare electrocautery. ... [including] A 4-year-old, neutered male, Cavalier King Charles spaniel ... In each dog oesophagoscopy revealed caudal oesophageal masses, suspected to be Spirocerca lupi-induced oesophageal neoplasia. To resect the masses, transendoscopic neodymium:yttrium-aluminum-garnet laser ablation was used in the first case and polypectomy snare electrocautery in the second. Recovery was uneventful. Histopathology was consistent with oesophageal fibrosarcoma and osteosarcoma in each case, respectively. Follow-up oesophagoscopy revealed apparently healthy oesophageal tissue except for focal scar tissue in the first case. Transendoscopic laser ablation and polypectomy snare electrocautery is a potential non-invasive, cost effective alternative for surgical oesophageal mass resection."
Canine tonsillar Squamous cell carcinoma.
Isabelle
Desmas. Vet. Ireland J. December 2013;3(12):654-657. Quote: Canine tonsillar
squamous cell carcinoma is an uncommon disease, characterised by rapid
growth and aggressive infiltration of the underlying tissues. Primary
tonsillar cancer is called TSCC1. Whatever the treatment used, it is
generally regarded to carry a poor prognosis. The metastatic rate is around
73%, the disease generally spreads to the regional lymph nodes and to the
lungs. Treatment approach includes surgery, radiation therapy, chemotherapy
and symptomatic treatment, or any combination of these approaches.
Multimodality approach is indicated given the high aggressiveness of this
type of cancer. All treatment confounded but keeping a multimodality
treatment approach, the median survival time is around six months. Without
any treatment, an absence of control of the primary disease will lead to
euthanasia in one or two months. (Photo: Lymphadenopathy of the right
submandibular lymph node in a Cavalier King Charles with a right-sided
tonsillar squamous cell carcinoma.)
Extranodal lymphoma with peripheral nervous system involvement in a dog. Ueno H, Miyoshi K, Fukui S, Kondo Y, Matsuda K, Uchide T. J.Vet.Med.Sci. May 2014;76(5):723-727. Quote: "An 8-year-old neutered female Cavalier King Charles Spaniel was evaluated for progressing right forelimb lameness. Upon magnetic resonance imaging, the right-sided radius nerves and the caudal brachial plexus were swelled. The histological and molecular biological diagnosis of partial the C8 spinal nerve was T-cell lymphoma. Co-administration of lomustine and irradiation was started. However, this therapy was ineffective. At necropsy, neoplastic tissues were seen extending into the subarachnoid space of the spinal cord, the liver, pancreas and kidneys as gross findings. A large mass was also identified occupying the caudal thorax. Histologic findings included infiltration in these organs and mass by neoplastic lymphocytes. To date, involvement of peripheral nerves (neurolymphomatosis) is rarely reported in veterinary species."
Evaluation of the risk and age of onset of cancer and behavioral disorders in gonadectomized Vizslas. M. Christine Zink, Parvene Farhoody, Samra E. Elser, Lynda D. Ruffini, Tom A. Gibbons, Randall H. Rieger. JAVMA Feb. 2014;244(3):309-319. Quote: "Objective: To investigate associations between age at gonadectomy and estimated risk or age at diagnosis of neoplastic and behavioral disorders in Vizslas. Design: Retrospective cohort study. Animals: 2,505 Vizslas born between 1992 and 2008. Procedures: Data on demographics, gonadectomy status, and age at diagnosis of disease or disorder were obtained with an anonymous online survey and analyzed. Results: Dogs gonadectomized at ≤ 6 months, between 7 and 12 months, or at > 12 months of age had significantly increased odds of developing mast cell cancer, lymphoma, all other cancers, all cancers combined, and fear of storms, compared with the odds for sexually intact dogs. Females gonadectomized at ≤ 12 months of age and males and females gonadectomized at > 12 months of age had significantly increased odds of developing hemangiosarcoma, compared with the odds for sexually intact dogs. Dogs gonadectomized at ≤ 6 months of age had significantly increased odds of developing a behavioral disorder. The younger the age at gonadectomy, the earlier the mean age at diagnosis of mast cell cancer, cancers other than mast cell, hemangiosarcoma, lymphoma, all cancers combined, a behavioral disorder, or fear of storms. (Mast cell cancer: 3.5 times higher incidence in neutered male and female dogs, independent of age at the time of neutering. Hemangiosarcoma: 9.0 times higher incidence in neutered females compared to nonneutered females, independent of age at the time spaying was performed. No difference in incidence of this disease was found for neutered versus nonneutered males. Lymphoma (lymphosarcoma): 4.3 times higher incidence in neutered male and female dogs, independent of age at the time of neutering. Other types of cancer: 5.0 times higher incidence in neutered male and female dogs. The younger a dog was at the time of neutering the younger the age of the dog at the time the cancer was diagnosed. All cancers combined: 6.5 times higher incidence of cancer in neutered females compared to nonneutered females; 3.6 times higher incidence of cancer in neutered males compared to nonneutered males.) Conclusions and Clinical Relevance: Additional studies are needed on the biological effects of removing gonadal hormones and on methods to render dogs infertile that do not involve gonadectomy. Veterinarians should discuss the benefits and possible adverse effects of gonadectomy with clients, giving consideration to the breed of dog, the owner's circumstances, and the anticipated use of the dog."
Acupuncture and Herbals for Cancers: Evidence-Based Clinical Application. Huisheng Xie. Chi Institute. October 2014. Quote: "Cancer is the most common natural cause of death in dogs and cats in the United States. About 45% of dogs that live to 10 years or older die of cancer. The most common cancers in pets are lymphoma, mammary tumors/cancer, mast cell tumor (MCT), hemangiosarcoma, soft tissue sarcomas, melanoma, squamous cell carcinoma (SCC) and osteosarcoma. Traditional Chinese Medicine (TCM) has been used for the diagnosis and treatment of tumors since the Warring States Period (475 to 221 BC), when 'Ling Shu Jing' (Miraculous Pivot) stated 'the tumor was caused by the pathological factors which had stayed in the body over a long time'. Clinical evidence indicates that acupuncture and herbal medicine can benefit for the treatment of cancer in dogs and people. This paper reviews the acupuncture and Chinese herbals for the treatment or adjunct treatment of cancers, and the possible mechanism of actions."
Clinical systemic lupeol administration for canine oral malignant melanoma. Inoru Yokoe, Kazuo Azuma, Keishi Hata, Toshiyuki Mukaiyama, Takahiro Goto, Takeshi Tsuka, Tomohiro Imagawa, Norihiko Itoh, Yusuke Murahata, Tomohiro Osaki, Saburo Minami, Yoshiharu Okamoto. Molecular & Clinical Oncology. Jan. 2015;3(1):89-92. Quote: "Canine oral malignant melanoma (COMM) is the most common and aggressive malignant tumor in dogs. Lupeol is a triterpene extracted from various fruits and vegetables that reportedly inhibits melanoma cell proliferation in vitro and in vivo. In this study, the efficacy of subcutaneous lupeol for spontaneous COMM was evaluated. A total of 11 dogs (3, 5 and 3 dogs diagnosed with clinical stage I [including a 17 year old cavalier King Charles spaniel], II and III melanoma, respectively) were evaluated. Subcutaneous lupeol (10 mg/kg) was administered postoperatively at various time points to treat these 11 COMM cases. Of the 11 subjects, 7 [including the CKCS] exhibited no local recurrence 180 days postoperatively and no severe adverse effects were observed in any of the cases. Furthermore, no distant metastasis was observed during the experimental period. Therefore, systemic lupeol may prevent local tumor progression and distant metastasis and may be a novel adjuvant treatment for the treatment of COMM.
Before
& After: Cavalier King Charles Gets Second Chance After Extensive Surgery to
Remove Tumors. Sharon Ostermann. Tails of a Shelter Vet. March 2014.
Quote: An adorable 12-year-old Cavalier King Charles Spaniel came to us at
San Jose Animal Care & Services with multiple problems. The most obvious
problem was the large mass that was on the front right of her chest. Though
her long locks covered and concealed much of her body, we also found another
mass on her belly and a large umbilical hernia. Like many Cavalier King
Charles Spaniels, this little girl also had a heart murmur. ... The small
mass was a benign mixed tumor that was completely removed and not likely to
come back. The larger mass was a mammary adenocarcinoma (mammary tumor)
(see photo at right) that was completely removed but showed evidence
that it might regrow in the future. I was definitely concerned about this
given how large and involved the mass was.
Management of canine corneal squamous cell carcinoma with lamellar keratectomy and strontium 90 plesiotherapy: 3 cases. Jessica C. Nevile, Simon D. Hurn, Andrew G.Turner, Christina McGowan. Vet. Ophth. May 2015;18(3):254-260. Quote: "Purpose: To report three cases of canine corneal squamous cell carcinoma (SCC) treated with strontium 90 beta radiation as an adjunct to surgical excision. A 15-year-old Cavalier King Charles Spaniel was presented with a 4 mm diameter axial whitish pink raised corneal mass OS. Methods: Corneal SCC was excised with lamellar keratectomy. This was followed by local application of strontium 90 beta radiation. Results: Available case follow-up times range from 3 to 50 months. One case suffered a recurrence 5 months following initial excision and strontium 90 treatment. Conclusion and discussion: Strontium 90 beta radiation has been used extensively as an adjunctive treatment for equine corneal SCC and in other canine ocular tumors; however, there is a paucity of information regarding use in canine corneal SCC. The cases presented here suggest its use following keratectomy may be helpful in preventing disease recurrence. At the dosage used, severe adverse effects were not observed."
Allogeneic hematopoietic cell transplantation in a dog with acute large granular lymphocytic leukemia. Suter SE, Hamilton MJ, Sullivan EW, Venkataraman GM. J Am Vet Med Assoc. May 2015;246(9):994-997. Quote: "Case Description: A 3-year-old 10-kg (22-lb) neutered male Cavalier King Charles Spaniel was referred because of an episode of acute vomiting and diarrhea. Clinical Findings: On physical examination, mild splenomegaly and prominent submandibular and popliteal lymph nodes were detected. Complete blood cell count revealed a high WBC count, characterized by a moderate lymphocytosis with 62% unclassified cells and severe thrombocytopenia with macroplatelets. On cytologic evaluation, the unclassified cells were described as large, neoplastic lymphoid cells containing a large nucleus with lacy chromatin and a large amount of blue vacuolated cytoplasm containing sparse, very fine azurophilic granules. A diagnosis of acute large granular lymphocytic leukemia of splenic origin was made. Treatment and Outcome: Following induction chemotherapy, the affected dog underwent allogeneic hematopoietic cell transplantation with dog leukocyte antigen-matched CD34+ cells harvested from a sibling of the same litter. Chimerism analysis revealed full donor engraftment within 2 weeks after transplantation that remained stable for at least 2 years, with the dog remaining apparently healthy at home. Clinical Relevance: Acute leukemias in dogs are rapidly fatal diseases. If an appropriate donor can be located, allogeneic hematopoietic cell transplantation may offer a feasible treatment, although peripheral blood CD34+ cell harvesting requires the availability of cell separator machines and management of graft-versus-host disease with immunosuppressive agents."
Partial retraction: Allogeneic hematopoietic cell transplantation in a dog with acute large granular lymphocytic leukemia. JAVMA August 2015;247(3):299. Quote: The article "Allogeneic hematopoietic cell transplantation in a dog with acute large granular lymphocytic leukemia" describes successful (ie, full donor chimerism approximately 2 weeks after transplantation and survival for > 2 years) allogeneic hematopoietic cell transplantation (HCT) in a 3-year-old Cavalier King Charles Spaniel in which a clinical diagnosis of acute large granular lymphocytic (LGL) leukemia had been made. At the time of case management, the authors made a diagnosis of acute LGL leukemia on the basis of clinical signs, initial CBC results (ie, WBC count of 24,200 WBCs/μL, consisting of 23% neutrophils, 12% lymphocytes, 2% monocytes, 1% eosinophils, and 62% unclassified, large, mononuclear cells with lightly vacuolated cytoplasm, a large nucleus, lacy chromatin, and a large indistinct nucleolus), and response to induction chemotherapy. In retrospect and following a full review of the medical record, it appears that a definitive diagnosis could not be reached in this case. Therefore, the conclusions that this case provides evidence that "allogeneic HCT is a realistic treatment option for dogs with acute leukemia," that the report documents the first use of allogeneic HCT "for the treatment of a client-owned dog with acute LGL leukemia," and that the report suggests that "use of allogeneic HCT to treat acute leukemias in dogs will provide a considerable clinical benefit over chemotherapy alone" are retracted by agreement of the editors, authors, and university. The conclusion that allogeneic HCT may be a feasible treatment in dogs remains unchanged.
Exome sequencing of lymphomas from three dog breeds reveals somatic mutation patterns reflecting genetic background. Ingegerd Elvers, Jason Turner-Maier, Ross Swofford, Michele Koltookian, Jeremy Johnson, Chip Stewart, Cheng-Zhong Zhang, Steven E Schumacher, Rameen Beroukhim, Mara Rosenberg, Rachael Thomas, Evan Mauceli, Gad Getz, Federica Di Palma, Jaime F Modiano, Matthew Breen, Kerstin Lindblad-Toh, Jessica Alfoldi. Genome Res. September 2015. Quote: "Lymphoma is the most common hematological malignancy in developed countries. Outcome is strongly determined by molecular subtype, reflecting a need for new and improved treatment options. Dogs spontaneously develop lymphoma, and the predisposition of certain breeds indicates genetic risk factors. Using the dog breed structure, we selected three lymphoma predisposed breeds developing primarily Tcell (boxer), primarily B-cell (cocker spaniel), and with equal distribution of B and T-cell lymphoma (golden retriever), respectively. We investigated the somatic mutations in B- and T-cell lymphomas from these breeds by exome sequencing of tumor and normal pairs. Strong similarities were evident between B-cell lymphomas from golden retrievers and cocker spaniels, with recurrent mutations in TRAF3-MAP3K14 (28% of all cases), FBXW7 (25%), and POT1 (17%). The FBXW7 mutations recurrently occur in a specific codon; the corresponding codon is recurrently mutated in human cancer. In contrast, T-cell lymphomas from the predisposed breeds, boxers and golden retrievers, show little overlap in their mutation pattern, sharing only one of their 15 most recurrently mutated genes. Boxers, which develop aggressive T-cell lymphomas, are typically mutated in the PTEN-mTOR pathway. T-cell lymphomas in golden retrievers are often less aggressive and their tumors typically showed mutations in genes involved in cellular metabolism. We identify genes with known involvement in human lymphoma and leukemia, genes implicated in other human cancers, as well as novel genes that could allow new therapeutic options."
Canine indolent and aggressive lymphoma: clinical spectrum with histologic correlation. L. Aresu, V. Martini, F. Rossi, M. Vignoli, M. Sampaolo, A. Aricò, P. Laganga, A. Pierini, P. Frayssinet, R. Mantovani, L. Marconato. Vet. & Comp. Oncology. December 2015;13(4):348-362. Quote: "Sixty-three dogs with newly diagnosed lymphoma underwent complete staging and received the same chemotherapy. Diffuse large B-cell lymphoma was the leading histotype (44.4%), followed by peripheral T-cell lymphoma (20.6%). Indolent lymphomas accounted for 30.2% of cases. Most dogs with aggressive B-cell lymphoma had stage IV disease. Dogs with indolent and aggressive T-cell lymphoma had more often stage V disease and were symptomatic. Liver and bone marrow were predominantly involved in B-cell and T-cell lymphoma, respectively. The clinical stage was significantly related to substage, sex and total lactic dehydrogenase (LDH) levels. Aggressive B-cell lymphomas were more likely to achieve remission. Median survival was 55 days for aggressive and indolent T-cell lymphoma, 200 and 256 days for indolent and aggressive B-cell lymphoma, respectively. The prognosis of advanced indolent lymphoma does not appear to be appreciably different from that of aggressive disease. Familiarity with the various histotypes is critical to make the correct diagnosis and drive therapy."
High-throughput mRNA and miRNA profiling of epithelial-mesenchymal transition in MDCK cells. Priyank Shukla, Claus Vogl, Barbara Wallner, Doris Rigler, Mathias Müller, Sabine Macho-Maschler. BMC Genomics. November 2015;16:944. Quote: "Background: Epithelial-mesenchymal transition (EMT) is an important process in embryonic development, especially during gastrulation and organ formation. Furthermore EMT is widely observed in pathological conditions, e.g., fibrosis, tumor progression and metastasis. Madin-Darby Canine Kidney (MDCK) cells are widely used for studies of EMT and epithelial plasticity. MDCK cells show an epithelial phenotype, while oncogenic Ras-transformed MDCK (MDCK-Ras) cells undergo EMT and show a mesenchymal phenotype. Methods: RNA-Seq and miRNA-Seq analyses were performed on MDCK and MDCK-Ras cells. Data were validated by qRT-PCR. Gene signature analyses were carried out to identify pathways and gene ontology terms. For selected miRNAs target prediction was performed. Results: With RNA-Seq, mRNAs of approximately half of the genes known for dog were detected. These were screened for differential regulation during Ras-induced EMT. We went further and performed gene signature analyses and found Gene Ontology (GO) terms and pathways important for epithelial polarity and implicated in EMT. Among the identified pathways, TGFβ1 emerged as a central signaling factor in many EMT related pathways and biological processes. With miRNA-Seq, approximately half of the known canine miRNAs were found expressed in MDCK and MDCK-Ras cells. Furthermore, among differentially expressed miRNAs, miRNAs that are known to be important regulators of EMT were detected and new candidates were predicted. New dog miRNAs were discovered after aligning our reads to that of other species in miRBase. Importantly, we could identify 25 completely novel miRNAs with a stable hairpin structure. Two of these novel miRNAs were differentially expressed. We validated the two novel miRNAs with the highest read counts by RT-qPCR. Target prediction of a particular novel miRNA highly expressed in mesenchymal MDCK-Ras cells revealed that it targets components of epithelial cell junctional complexes. Combining target prediction for the most upregulated miRNAs and validation of the targets in MDCK-Ras cells with pathway analysis allowed us to identify two novel pathways, e.g., JAK/STAT signaling and pancreatic cancer pathways. These pathways could not be detected solely by gene set enrichment analyses of RNA-Seq data. Conclusion: With deep sequencing data of mRNAs and miRNAs of MDCK cells and of Ras-induced EMT in MDCK cells, differentially regulated mRNAs and miRNAs are identified. Many of the identified genes are within pathways known to be involved in EMT. Novel differentially upregulated genes in MDCK cells are interferon stimulated genes and genes involved in Slit and Netrin signaling. New pathways not yet linked to these processes were identified. A central pathway in Ras induced EMT is TGFβ signaling, which leads to differential regulation of many target genes, including miRNAs. With miRNA-Seq we identified miRNAs involved in either epithelial cell biology or EMT. Finally, we describe completely novel miRNAs and their target genes."
Mutation of p53 Gene and Its Correlation with the Clinical Outcome in Dogs with Lymphoma. A. Koshino, Y. Goto-Koshino, A. Setoguchi, K. Ohno, H. Tsujimoto. J. Vet. Intern. Med. December 2015. Quote: "Background: p53 plays a key role in the apoptotic event induced by chemotherapeutic agents. Mutation of p53 gene has been observed in various spontaneous tumors in humans and is associated with a poor prognosis. p53 abnormalities have been evaluated in several tumors in dogs; however, the association of p53 gene mutation with clinical outcome in dogs with lymphoma has not been documented. Hypothesis/Objectives: The aim of this study was to examine p53 mutation in canine lymphoma cells and its association with the clinical outcome. Animals: Forty-three dogs [including 2 cavalier King Charles spaniels] with previously untreated high-grade lymphoma referred to the University of Tokyo were included in this study. Methods: Prospective cohort study. We examined p53 gene (exon 4-8) mutation in the tumor tissues from 43 dogs with lymphoma using PCR-SSCP (polymerase chain reaction - single-strand conformational polymorphism) analysis, followed by nucleotide sequencing of the abnormal bands. Results: Of the 43 dogs, 7 dogs (16%) had p53 mutation, whereas 36 dogs (84%) were devoid of p53 mutation. Overall response rate after remission induction was significantly lower (33% versus 88%, P = .002) in dogs with lymphomas having p53 mutation than those with lymphomas devoid of p53 mutation. Overall survival time was significantly shorter (67 days versus 264 days, P = .004) in dogs with lymphoma with p53 mutation than those with lymphoma retaining wild-type p53. Conclusion and Clinical Importance: Mutations of p53 gene were detected in a proportion of canine lymphoma cells from untreated dogs and can be associated with a poor prognosis."
Lu-177-Labeled Zirconia Particles for Radiation Synovectomy. Andras Polyak, Lívia Naszályi Nagy, Eszter Drotár, Gabriella Dabasi, Róbert P. Jóba, Zita Postenyi, Renata Mikolajczak, Attila Bóta, Lajos Balogh. Cancer Biotherapy and Radiopharmaceuticals. December 2015;30(10). Quote: "The present article describes the preparation of β-emitter lutetium-177-labeled zirconia colloid and its preliminary physicochemical and biological evaluation of suitability for local radionuclide therapy. ... An 11-year-old spayed Cavalier King Charles Spaniel was referred to the Institute with chronic, destructive, therapy-resistant osteoarthritis in the left hock joint. ... The new 177Lu-labeled therapeutic radiopharmaceutical candidate was based on the synthesis mode of a previously described zirconia nanoparticle system. The size and shape of the developed radiopharmaceutical compound were observed through a scanning electron microscope and dynamic light scattering methods. The radiocolloid had a 1.7 μm mean diameter and showed high in vitro radiochemical and colloid size stability at room temperature and during the blood sera stability test. After the in vitro characterizations, the product was investigated in the course of the treatment of a spontaneously diseased dog veterinary patient's hock joint completed with single-photon emission computed tomography (SPECT) imaging follow-up measurements and a dual-isotope SPECT imaging tests with conventional 99mTc-methanediphosphonic acid bone scintigraphy. In the treated dog, no clinical side-effects or signs of histopathological changes of the joints were recorded during the treatment. SPECT follow-up studies clearly and conspicuously showed the localization of the 177Lu-labeled colloid in the hock joint as well as detectable but negligible leakages of the radiocolloid in the nearest lymph node. On the basis of biological follow-up tests, the orthopedic team assumed that the 177Lu-labeled zirconia colloid-based local radionuclide therapy resulted in a significant and long-term improvement in clinical signs of the patient without any remarkable side-effects."
Lymphocytic thymoma in cavalier King Charles spaniel - case report and review. G. Simeonova, V. Nedev, R. Simeonov. Trakia J. of Sci. 2015;13(Suppl. 2):268-273. Quote: "A clinical case of thymoma in 6 month old, male, cavalier King Charles spaniel was described. The patient was brought to the Small Animal Clinic of Veterinary faculty at Trakia University, Stara Zagora in order to be evaluated by means of electroretinography (ERG) because of vision loss and difficulties in orientation in unfamiliar surroundings. Physical examination did not reveal any disturbances in vital parameters neither in retinal function. As complications occurred during recovery from general anaesthesia more detailed investigations were performed and the diagnosis thymoma was made. It was confirmed pathohistologically. Thymoma is an extremely rare tumor in dogs, especially in cavalier King Charles spaniels. The unusual manifestation of the disease as well as its very rare distribution among dogs was the reason to give a problem consideration."
Histological and immunohistochemical evaluation of stroma variations and their 4 correlation with the Ki-67 index and expressions of glucose transporter 1 and 5 monocarboxylate transporter 1 in canine thyroid C-cell carcinomas. Yoshio Kawamura, Hiroko Mizooku, Minoru Okamoto, Kazuya Matsuda, Tetsuo Omachi, Kazuko Hirayama, Tsuyoshi Kadosawa, Hiroyuki Taniyama. J. Vet. Med. Sci. January 2016. Quote: "Canine thyroid C-cell carcinomas (CTCCs) are malignant tumors derived from calcitonin-producing C-cells of the thyroid gland. This study aimed to investigate the histological diversity of CTCCs from the viewpoint of stroma variations and to investigate their components by histological and immunohistochemical analysis including semiquantitative analysis of the density of microvessels (MVs) and α-SMA-positive cell count. Moreover, we examined whether the variations correlated with the Ki-67 index and expressions of glucose transporter 1 (GLUT-1) and monocarboxylate transporter 1 (MCT-1). Three stroma types (reticular, R, nest, N, and trabecular, T) were observed in CTCCs and 21 cases were divided into 3 variations based on their combinations: mixed R and N (R/N) (n=7), simple N (n=7) and mixed T and N (T/N) (n=7). [One cavalier King Charles spaniel: female aged 10 years, tumor diameter: 4 cm., period to surgical treatment: 300 days.] Immuno-histochemically, stroma types depended on morphological features of α-SMA/fibronectin/laminin/collagen type IV-positive stroma cells. The density of MVs in R/N tended to be highest, and the density of those in N was significantly higher than the density of those in T/N (P=0.028). The α-SMA-positive cell count for N tended to be the lowest among the 3 variations. The Ki-67 index for R/N was significantly higher than those of the other variations (vs. N, P=0.007; vs. T/N, P=0.03), and that for T/N tended to be higher than that for N. Although there were no significant differences, GLUT-1 and MCT-1 expressions tended to be low in N. We concluded that stroma variations reflect tumor cell proliferation and expressions of GLUT-1 and MCT-1 in CTCCs."
Third eyelid gland neoplasms of dogs and cats: a retrospective histopathologic study of 145 cases. D. Dustin Dees, Charles S. Schobert, Richard R. Dubielzig, Timothy J. Stein. Vet. Ophthalmology. March 2016;19(2):138-143. Quote: "Purpose: To describe the various types of primary neoplasms affecting the third eyelid (TEL) gland of dogs and cats. Methods: A retrospective search of the Comparative Ocular Pathology Laboratory of Wisconsin (COPLOW) database was performed. Veterinary ophthalmologists, primary care veterinarians, and, when appropriate, owners were contacted for patient follow-up information. Patient data points collected included species, age, sex, breed, laterality, tumor type, surgical margins, recurrence, metastasis, and length of follow-up. Results: A total of 127 canine [including a cavalier King Charles spaniel] and 18 feline cases met the inclusion criteria. The most common canine TEL gland tumor was adenocarcinoma (n = 108; 85.0%) followed by adenoma (n = 18; 14.2%) and squamous cell carcinoma (SCC) (n = 1; 0.8%). For canine cases with follow-up information available (n = 62), 8.1% had confirmed or suspected metastasis and 11.3% had confirmed or suspected local recurrence of disease. The most common feline TEL gland tumor was adenocarcinoma (n = 15; 83.3%) followed by SCC (n = 3; 16.7%). For feline cases with follow-up information available (n = 9), 40.0% had confirmed or suspected metastasis and 30.0% had confirmed or suspected local recurrence of disease. Conclusions: This study determined that adenocarcinoma was the most common third eyelid gland tumor in both dogs and cats. The overall survival times were less, and metastatic occurrence and recurrence rates appeared to be higher for feline tumors as compared to those diagnosed in dogs. This is the first report of SCC originating from glandular ductular epithelium."
Canine tumor development and crude incidence of tumors by breed based on domestic dogs in Gifu Prefecture. Satoshi Komazawa, Hiroki Sakai, Yusuke Itoh, Mifumi Kawabe, Mami Murakami, Takashi Mori, Kohji Maruo. J. Vet. Med. Sci. May 2016. Quote: We analyzed the status of tumor development in dogs by breed based on tumor cases that presented to the Department of Veterinary Pathology of the Gifu University for diagnostic examinations over eight years (2005-2012). We also calculated the crude incidence of tumors in dogs by breed based on the results of a survey conducted in 2011 in Gifu Prefecture. The most common sites of tumor development included the skin, digestive organs, and mammary glands. Smaller dogs showed a tendency to have a higher incidence of breast tumors. We thus identified dog breeds with a higher crude incidence of tumors (Bernese mountain dog, golden retriever, corgi, etc.) and those with a lower crude incidence of tumors (Pomeranian, poodle, Chihuahua, etc.). Unlike the current trends for domestic dogs in the US and Europe, Japan has a higher number of small dogs as pets; it is therefore necessary to develop a policy for canine cancer specific to Japan. ... Smaller dog breeds had greater proportion of 176 breast tumors, which accounted for ... 41.2% in Cavalier King Charles Spaniel (CK). ... Mast cell tumors have been found ... with a lower frequency for such tumors were also revealed to be CK ... [Number of cavaliers with tumors: 34].
Evaluation of the factors contributing to long-term survival in canine tonsillar squamous cell carcinoma. J Grant, S North. Australian Vet. J. June 2016;94(6):197-202. Quote: Objectives: To identify any prognostic factors that may be associated with the long-term survival of dogs diagnosed with tonsillar squamous cell carcinoma (TSCC). Methods: The medical records of 15 dogs treated for TSCC were reviewed retrospectively. The signalment, presenting signs, clinical stage, treatments and outcome were documented. Results: The overall median survival time (MST) of the dogs in the study was 243 days. There was a 1-and 2-year survival of 40% and 20%, respectively. The results of initial staging had a significant effect on survival, as dogs with only one tonsil affected and no evidence of metastatic disease had a longer MST (637.5 days) than the dogs with local (MST: 134 days) or distant (MST: 75 days) metastatic disease or bilateral tonsillar involvement at the time of initial presentation. Prolonged survival times were reported for dogs undergoing surgery and adjunctive chemotherapy (MST: 464.5 days) for treatment of their TSCC. Clinical significance This is the first veterinary study demonstrating an association between prognosis of patients with TSCC and stage at the time of presentation, with long survival times demonstrated for dogs with early-stage disease following an initial treatment protocol that included surgery and chemotherapy. There was no clear association between long survival and additional surgeries for progressive disease; however; further investigation is warranted. ... Population data: Of the 15 dogs included in the study, 11 (73%) were male and 4 (27%) were female. The median age at the time of diagnosis was 10.5 years (mean: 10.6 years; range: 7-14) (Table 2). There was a mixture of breeds: 5 collies (Border Collie, Rough Collie and Bearded Collie), 3 spaniels (Springer and Cavalier King Charles Spaniels), 2 West Highland White Terriers, 2 Bichon Frise, 1 Lowchen, 1 Staffordshire Bull Terrier and 1 Saluki. ... [details of CKCS: Age: 9 yrs; Sex: female, spayed; symptoms: gagging/dysphagia; contralateral tonsil: lymphoid hyperplasia (RHS); Stage: T3N1a; surgery: bilateral tonsillectomy; chemotherapy: Carboplatin: 300 mg/m² x 4 cycles + Postoperative adjunct Rx (hypofractionated: 9 Gy × 4 fractions): tonsils; Survival from diagnosis day: 779; Outcome: pulmonary carcinoma; intraoperative death. ... Although the diagnosis of TSCC continues to be associated with an extremely guarded prognosis, this is the first study to demonstrate an association between early clinical stage at the time of diagnosis and survival. Prolonged survival in patients with only one tonsil affected at the time of diagnosis was achieved in patients undergoing initial treatment with surgery and chemotherapy, thus providing a strong argument for multimodality treatment. Larger studies into the effects of initial staging and treatment on long-term prognosis in patients with TSCC are required in the future to verify these preliminary findings.
Top 5 Dermatoses Associated with Electromagnetic Radiation.
Alexander Werner. Clinician's Brief. August 2016;93-97. Quote: Radiation
Therapy: Radiation therapy uses ionizing, high-energy waves (eg, x-rays,
gamma rays) to destroy cancer cells. Ionizing radiation directly damages
DNA, which can cause cell death and other effects. To provide a large dose
of radiation to the tumor while reducing the exposure of surrounding
tissues, radiation beams are shaped--or
aimed--from
several angles to intersect at the tumor. Fractionation of dosing also
allows normal cells to recover between treatments; cancer cells are slower
to recover. Because of its rapid turnover rate, however, the epidermis is
especially sensitive to acute radiation-induced dermatitis, with lesions
developing in >90% of dogs receiving fractionated radiation therapy for skin
and soft-tissue tumors. Lesions can develop several weeks into therapy. The
skin becomes pink and tender before mild exudation and eventual alopecia
with scarring (Figure 7) appear. Striking leukotrichia is common.
Secondary bacterial infection may occur in the immediate posttreatment
period. Scarring often persists after discontinuation of radiation
treatments. (Figure 7 [left]: Scarring from radiation therapy for
squamous cell carcinoma of the external ear canal in a 9-year-old
Cavalier King Charles spaniel. The distinct borders indicate the
treatment area.)
Use of Oncept melanoma vaccine in 69 canine oral malignant melanomas in the UK. S. Verganti, D. Berlato, L. Blackwood, I. Amores-Fuster, G. A. Polton, R. Elders, R. Doyle, A. Taylor, S. Murphy. J. Sm. Anim. Pract. January 2017;58(1):10-16. Quote: Objectives: Oral malignant melanomas carry a poor-to-guarded prognosis because of their local invasiveness and high metastatic propensity. The Oncept melanoma vaccine is licensed to treat dogs with stage II or III locally-controlled oral malignant melanoma and this retrospective study aimed to assess survival of affected dogs treated with the vaccine in the UK. Material and Methods: Medical records of dogs with histopathologically-confirmed oral malignant melanoma that received the vaccine as part of their treatment were evaluated. Survival analyses for potential prognostic factors were performed. Results: Sixty-nine dogs were included; 56 dogs, staged I to III, and with previous locoregional therapy, had a median survival time of 455 days (95% CI: 324 to 586 days). Based on Kaplan-Meier survival analysis with associated log-rank testing, no significant prognostic factors were identified for this population. Of the 13 patients with macroscopic disease treated with vaccine alone or in combination therapy, eight showed clinical response. Three patients with stage IV oral malignant melanoma survived 171, 178 and 288 days from diagnosis. Clinical Significance: Patients treated with the melanoma vaccine in our study had survival times similar to their counterparts receiving the vaccine in the USA. There were observed responses in patients with macroscopic disease and so the vaccine could be considered as palliative treatment in dogs with stage IV disease.
Safe and Effective Sarcoma Therapy through Bispecific Targeting of EGFR and uPAR. Antonella Borgatti, Joseph S. Koopmeiners, Aaron L. Sarver, Amber L. Winter, Kathleen Stuebner, Deborah Todhunter, Anthony E. Rizzardi, Jonathan C. Henricksen, Stephen Schmechel, Colleen L. Forster, Jong-Hyuk Kim, Jerry Froelich, Jillian Walz, Michael S. Henson, Matthew Breen, Kerstin Lindblad-Toh, Felix Oh, Kristy Pilbeam, Jaime F. Modiano, Daniel A. Vallera. Molecular Cancer Therapeutics. February 2017. Quote: Sarcomas differ from carcinomas in their mesenchymal origin. Therapeutic advancements have come slowly so alternative drugs and models are urgently needed. These studies report a new drug for sarcomas that simultaneously targets both tumor and tumor neovasculature. eBAT is a bispecific angiotoxin consisting of truncated, deimmunized Pseudomonas exotoxin fused to epidermal growth factor (EGF) and the amino terminal fragment (ATF) of urokinase. Here, we study the drug in an in vivo "ontarget" companion dog trial since eBAT effectively kills canine hemangiosarcoma (HSA) and human sarcoma cells in vitro. We reasoned the model has value due to the common occurrence of spontaneous sarcomas in dogs and a limited lifespan allowing for rapid accrual and data collection. Splenectomized dogs with minimal residual disease were given one cycle of eBAT followed by adjuvant doxorubicin in an adaptive dose-finding, phase I-II study of 23 dogs with spontaneous, stage I-II, splenic HSA. eBAT improved 6-month survival from <40% in a comparison population to ~70% in dogs treated at a biologically active dose (50 µg/kg). Six dogs were long-term survivors, living >450 days. eBAT abated expected toxicity associated with EGFR-targeting, a finding supported by mouse studies. Urokinase plasminogen activator receptor (uPAR) and EGFR are targets for human sarcomas, so thorough evaluation is crucial for validation of the dog model. Thus, we validated these markers for human sarcoma targeting in the study of 212 human and 97 canine sarcoma samples. Our results support further translation of eBAT for human patients with sarcomas and perhaps other EGFR-expressing malignancies.
Colonoscopic and histologic features of rectal masses in dogs: 82 cases (1995-2012). Adamovich-Rippe KN, Mayhew PD, Marks SL, Selmic LE, Culp WT, Youello AM, Runge JJ, Holt DE, Kass PH, Peauroi JR. J. Am. Vet. Med. Assn. February 2017;250(4):424-430. Quote: Objective: To evaluate colonoscopic and histologic features of rectal masses in dogs. Design: Retrospective case series. Animals: 82 client-owned dogs [including two cavalier King Charles spaniels] with rectal masses that underwent colonoscopy. Procedures: Medical records of dogs with rectal masses that underwent colonoscopy were reviewed. History, signalment, clinical signs, results of physical examination, diagnostic imaging findings, and results of colonoscopy (including complications) were recorded. When available, tissue samples obtained during colonoscopy and by means of surgical biopsy were reviewed by a single board-certified pathologist. Histologic features and tumor grade (when applicable) of tissue samples obtained during colonoscopy versus surgical biopsy were compared. Results: Multiple rectal masses were observed during colonoscopy in 6 of the 82 dogs, but no lesions were visualized orad to the colorectal junction. Results of histologic evaluation of surgical biopsy specimens were consistent with a diagnosis of epithelial neoplasia in 58 of 64 dogs, of which 71% were classified as benign adenoma or polyp and 29% were classified as adenocarcinoma in situ or adenocarcinoma. Complications of colonoscopy occurred in 3 of 82 dogs but were considered minor. A discrepancy in diagnosis occurred in 5 of 16 dogs for which both colonoscopic and surgical biopsy samples were available for histologic review. Conclusions & Clinical Relevance: Results suggested that multiple rectal masses are uncommon in dogs, and secondary lesions orad to the colorectal junction were not found in this study. Colonoscopy was associated with few complications, but the need for colonoscopic assessment of the entire colon in this patient population may merit reevaluation.
Atypical cytologic presentation of a histiocytic sarcoma in a Cavalier King Charles Spaniel dog. Lorelei L. Clarke, Lisa S. Kelly, Bridget Garner, Cathy A. Brown. J. Vet. Diagnostic Investig. April 2017. Quote: An 8-year-old neutered male Cavalier King Charles Spaniel dog was presented because of a 10-d history of progressive vomiting, inappetence, and lethargy, with mild neurologic signs. Fine-needle aspirates of splenic nodules seen on ultrasound were suggestive of a carcinoma. On autopsy, a disseminated neoplasm was present in the lung, spleen, and adrenal glands. Additionally, there was a Chiari-like malformation of the skull with corresponding syringomyelia of the cranial spinal cord. Histologically, the neoplasm was comprised of a pleomorphic population of round cells with a high mitotic rate. Cells stained positive for vimentin and CD18 and negative for cytokeratin, chromogranin A, CD3, CD20, MHC II, and CD11d, and hence the tumor was diagnosed as a histiocytic sarcoma. The cytologic presentation in this case is uncommon for this type of tumor, as was the clinical presentation.
What is your diagnosis? Inguinal lymph node aspirate from a dog. Corry K. Yeuroukis, Jessica M. Thiman, Anne C. Avery, Melinda S. Camus, Jaime L. Tarigo. Vet. Clin. Pathol. April 2017. Quote: A 10-year-old, 9.0 kg, female spayed Cavalier King Charles Spaniel was presented ... for evaluation of an abnormal gait involving the pelvic limbs as well as difficulty posturing to urinate. ... The inguinal lymph nodes were moderately enlarged bilaterally and all other peripheral lymph nodes were of normal size and consistency. Neurologic examination revealed ambulatory paraparesis and proprioceptive ataxia with a neuroanatomic lesion localization to T3-L3. Pain was noted on deep palpation of the cervical and lumbar spine. ... Pertinent CBC results included a moderate lymphocytosis and a mild thrombocytopenia with an increased mean platelet volume. The platelet profile was consistent with macrothrombocytopenia associated with the Cavalier King Charles Spaniel breed. Serum biochemistry results and cerebrospinal fluid analysis were unremarkable. Significant magnetic resonance imaging findings included mild syringohydromyelia in the cervical spinal cord, another well documented condition in this breed, in addition to mild chronic intervertebral disk disease (IVDD) with herniation at T13-L3, and an unexpected, moderate enlargement of inguinal and splenic lymph nodes. ... Cytologic Interpretation: Lymphoma with uropodbearing lymphocytes, suggestive of T-zone lymphoma (TZL). ... For this dog, flow cytometry rather than surgical biopsy was pursued as a less invasive method to further characterize the lymphocyte population in the lymph node. ... In this case, the dog presented neurologic deficits related to IVDD and breed related syringohydromyelia. The discovery of TZL was an unexpected but significant finding which highlights the importance of investigating enlarged lymph nodes when present. Discharge instructions included monitoring of the dog's peripheral lymphocytosis, lymphadenopathy, and clinical signs. Chemotherapy was not pursued as it has not been shown to improve the already prolonged median survival times with TZL (1.7-2.7 years).
Surgical management of primary, metastatic and recurrent anal sac adenocarcinoma in the dog: 52 cases. D. C. Barnes, J. L. Demetriou. J. Sm. Anim. Pract. May 2017;58(5):263-268. Quote: Objectives: To report the outcomes and complications of a cohort of dogs with primary and recurrent anal sac adenocarcinoma managed with surgery as the first-line treatment. To report the use of lymph node cytology for identification of metastatic disease. Methods: Retrospective review of case records of a single referral centre population of dogs diagnosed with anal sac adenocarcinoma. Results: Fifty-two clinical cases were identified [including one cavalier King Charles spaniel]. Altered ultrasonographic appearance of lymph nodes was highly consistent with metastatic disease as assessed by cytology and histopathology. Seven of 58 (12%) perineal surgeries had reported minor complications and seven (12%) others required further surgical intervention. Minor controllable intra-operative bleeding was the only complication noted associated with lymph node extirpation in two of 39 (5%) metastectomy procedures. Six dogs (12%) suffered local recurrence and 22 (42%) developed subsequent or recurrent nodal metastatic disease. From the time of detection of disease recurrence, median additional survival associated with a second surgical intervention was 283 days. Clinical Significance: Coeliotomy for lymph node metastatectomy in dogs with adenocarcinoma of the anal sac has low morbidity and should be considered in patients presenting with evidence of regional metastatic disease both at initial presentation and with recurrent disease.
Prognostic significance of Ki67 evaluated by flow cytometry in dogs with high-grade B-cell lymphoma. A. Poggi, B. Miniscalco, E. Morello, F. Gattino, A. Delaude, L. Ferrero Poschetto, L. Aresu, M. E. Gelain, V.Martini, S. Comazzi, F. Riondato. Vet. & Compara. Oncology. June 2017;15(2):431-440. Quote: Ki67 [Antigen KI-67 is a nuclear protein that is associated with and may be necessary for cellular proliferation] can discriminate between high- and low-grade canine lymphomas, but its prognostic role in specific subtypes of the neoplasm is unknown. We assessed the prognostic significance of Ki67% (percentage of Ki67-positive cells), evaluated by flow cytometry, in 40 dogs with high-grade B-cell lymphoma, treated with a modified Wisconsin-Madison protocol (UW-25). ... Data about the identification of breed were reported for 39 cases. There were 26 (66.7%) purebred dogs (3 Labrador retrievers, 2 German shepherds, 2 Dobermans, 2 Bloodhounds, 2 Pit bull terriers and 1 each of ... Cavalier King Charles Spaniel ...) and 13 (33.3%) crossbred dogs. ... The following variables were investigated for association with lymphoma specific survival (LSS) and relapse free interval (RFI): Ki67%, breed, sex, age, stage, substage, complete remission (CR). By multivariate analysis, Ki67% (P=0.009) and achievement of CR (P=0.001) were independent prognostic factors for LSS. Dogs with intermediate Ki67% (20.1-40%) presented longer LSS and RFI (median=866 and 428 days, respectively) than dogs with low (median =42 days, P<0.001; median=159 days, P=0.014) or high (median = 173 days, P=0.038; median=100 days, P=0.126) values. Determination of Ki67 is a prognostic tool that improves the clinical usefulness of flow cytometric analysis in canine high-grade B-cell lymphoma.
Epithelial and melanocytic tumors of the skin. Chapter 4. Goldschmidt MH, Goldschmidt KH. In: Meuten DJ, ed. Tumors in Domestic Animals. 5th ed. Ames, IA: Wiley Blackwell; 2017:88-141. Quote: Sebaceous carcinoma: This is a malignant neoplasm with cells showing sebaceous differentation. Incidence, age, breed, and sex: Sebaceous carcinomas are uncommon in dogs and cats and rare in other species. In dogs, the peak incidence is between 10 and 13 years. Breeds at increased risk are cavalier King Charles spaniel, cocker spaniel, Siberian husky, Samoyed, and West Highland white terrier. No sex predilection has been noted.
Survival analysis of dogs with advanced primary lung carcinoma treated by metronomic cyclophosphamide, piroxicam and thalidomide. G. Polton, R. Finotello, S. Sabattini, F. Rossi, P. Laganga, M. E. Vasconi, A. Barbanera, K. Stiborova, C. Rohrer Bley, L. Marconato. Vet. & Comp. Oncol. March 2018;1-10. Quote: Unresectable or metastatic (advanced) primary pulmonary carcinoma (PPC) represents a therapeutic challenge where surgery may be contraindicated and the therapeutic role of maximum-tolerated dose (MTD) chemotherapy remains uncertain. This study was undertaken to explore the impact of metronomic chemotherapy (MC) in dogs with advanced PPC. Previously untreated dogs with advanced (T3 or N1 or M1) PPC, with complete staging work-up and follow-up data, receiving MC (comprising low-dose cyclophosphamide, piroxicam and thalidomide), surgery, MTD chemotherapy or no oncologic treatment were eligible for inclusion. For all patients, time to progression (TTP) and survival time (ST) were evaluated. Quality-of-life (QoL) was only evaluated in patients receiving MC. To assess QoL, owners of dogs receiving MC were asked to complete a questionnaire before and during treatment. Ninety-one dogs were included [including one cavalier King Charles spaniel]: 25 received MC, 36 were treated with surgery, 11 with MTD chemotherapy and 19 received no treatment. QoL was improved in dogs receiving MC. Median TTP was significantly longer in patients receiving MC (172 days) than patients undergoing surgery (87 days), receiving MTD chemotherapy (22 days), or no oncologic treatment (20 days). Median ST was similarly longer in patients receiving MC (139 days) than those undergoing surgery (92 days), MTD chemotherapy (61 days) and no oncologic treatment (60 days). In dogs with advanced PPC, MC achieved a measurable clinical benefit without significant risk or toxicity. This makes MC a potential alternative to other recognized management approaches.
The dog as an animal model for bladder and urethral urothelial carcinoma:
Comparative epidemiology and histology. Simone de Brot, Brian D.
Robinson, Tim Scase Llorenç Grau‑Roma, Eleanor Wilkinson, Stephen A.
Boorjian, David Gardner, Nigel P. Mongan. Oncology Letters. May 2018; doi:
10.3892/ol.2018.8837. Quote: Despite the recent approval of several novel
agents for patients with metastatic urothelial carcinoma (UC), survival in
this setting remains poor. As such, continued investigation into novel
therapeutic options remains warranted. Pre‑clinical development of novel
treatments requires an animal model that accurately simulates the disease in
humans. The aim of the present study was to evaluate the dog as an animal
model for human UC. A total of 260 cases of spontaneous, untreated canine
primary urethral and urinary bladder UC, were epidemiologically and
histologically assessed and classified based on the current 2016 World
Health Organization (WHO) tumor classification system. Canine data was
compared with
human
data available from scientific literature. The mean age of dogs diagnosed
with UC was 10.22 years (range, 4‑15 years), which is equivalent to 60‑70
human years. The results revealed a high association between UC diagnosis
with the female sex [odds ratio (OR) 3.51; 95% confidence interval (CI)
2.57‑4.79; P<0.001], surgical neutering (OR 4.57; 95% CI 1.87‑11.12;
P<0.001) and breed (OR 15.11 for Scottish terriers; 95% CI 8.99‑25.41;
P<0.001). Based on the 2016 WHO tumor (T), node and metastasis staging
system, the primary tumors were characterized as T1 (38%), T2a (28%), T2b
(13%) and T3 (22%). Non‑papillary, flat subgross tumor growth was strongly
associated with muscle invasion (OR 31.00; P<0.001). Irrespective of
subgross growth pattern, all assessable tumors were invading beyond the
basement membrane compatible with infiltrating UC. Conventional, not further
classifiable infiltrating UC was the most common type of tumor (90%),
followed by UC with divergent, squamous and/or glandular differentiation
(6%). Seven out of the 260 (2.8%) cases were classified as non‑urothelial
based on their histological morphology. These cases included 5 (2%) squamous
cell carcinomas, 1 (0.4%) adenocarcinoma and 1 (0.4%) neuroendocrine tumor.
The 2 most striking common features of canine and human UC included high sex
predilection and histological tumor appearance. The results support the
suitability of the dog as an animal model for UC and confirm that dogs also
spontaneously develop rare UC subtypes and bladder tumors, including
plasmacytoid UC and neuroendocrine tumor, which are herein described for the
first time in a non‑experimental animal species. (Image (B) above is a
microphotograph of a flat urothelial carcinoma in the urinary bladder in an
11-year-old male neutered Cavalier King Charles spaniel.)
Canine visceral hemangiosarcoma treated with surgery alone or surgery and doxorubicin: 37 cases (2005-2014). Karen Batschinski, Alessandra Nobre, Ernesto Vargas-Mendez, Marcello V. Tedardi, Juliana Cirillo, Greice Cestari, Rodrigo Ubukata, Maria Lucia Z. Dagli. Canadian Vet. J. September 2018;59(9):967-972. Quote: The purpose of this retrospective study was to determine survival times and prognostic factors of dogs with visceral hemangiosarcoma (HSA) treated with surgery alone or surgery and doxorubicin. Medical records from 2 hospitals from 2005 to 2014 were searched for dogs with histopathologically confirmed visceral HSA. Data relevant to patient demographics, tumor characteristics, and outcomes were abstracted. The most common primary organ affected was the spleen; however, primary tumor location had no influence on prognosis. Twenty-three dogs were treated with surgery alone, while 14 dogs were treated with surgery and doxorubicin. There was a significant difference in survival times between dogs treated with surgery alone and with surgery followed by doxorubicin (66 days versus 274 days). Dogs with stage I tumors (196 days) had a longer median survival time (MST) than dogs with stage II (117 days) and stage III (23 days) disease. The overall MST was 179 days with a 1-year survival rate of 29.2%.
Epithelial-Myoepithelial Carcinoma in a Canine Salivary Gland. C.-H. Park, N. Shiwa, J. Sumimoto, K. Kimitsuki. J. Comp. Path. October 2018;165:52-56. Quote: A 7-year-old male cavalier King Charles spaniel was presented with a cervical subcutaneous mass. The mass had a multilobular growth pattern and each individual lobule contained ductal epithelial cells and myoepithelial cells surrounding the ductal cells. Immunohistochemically, the ductal epithelial cells were positive for cytokeratin (CK) 7 and CAM5.2 and the myoepithelial cells were positive for a-smooth muscle actin and p63. Both types of cells were positive for CK14, a myoepithelial cell marker. Ultrastructurally, the ductal epithelial cells were attached by desmosomes and contained abundant intracytoplasmic tonofilaments. Some ductal epithelial cells contained myofilaments characteristic of myoepithelial cells. Based on these findings, a diagnosis of epithelial-myoepithelial carcinoma was made. It is presumed that the tumour originated from an intercalated duct in a parotid salivary gland.
Incidence and risk factors for the diagnosis of lymphoma in dogs in UK primary-care practice. C. Pittaway, I. Schofield, J. Dobson, D. G. O'Neill, D. C. Brodbelt. J. Sm. Anin. Pract. July 2019; doi: 10.1111/jsap.13054 Quote: Objectives: To identify the incidence, risk factors and presenting signs of lymphoma in dogs presenting to primary‐care practice in the UK using analysis of data within the VetCompass™ programme. Materials and Methods: Case records from the VetCompass™ programme from primary-care practices in the UK were searched for newly diagnosed lymphoma in dogs within a 1-year period: 2013. Diagnosis was based on clinical records with or without laboratory confirmation. Signalment was evaluated as risk factors for lymphoma diagnosis using multivariable logistic regression. Results: There were 286 presumed newly diagnosed cases [7 were cavalier King Charles spaniels] identified during 2013 from 455,553 dogs (overall incidence risk 63 of 100,000 dogs per year [CKCS incidence risk was 69 of 100,000]) of which 193 (67%) were laboratory confirmed (42 of 100,000 dogs per year). Advanced age, dogs older than 12 years, dogs weighing more than 30 kg and some specific breeds were significantly associated with lymphoma diagnosis. Only 18 dogs (6%) of the population identified were referred to a specialist clinic. Clinical Significance: This study concurs with others that age, bodyweight and breed are significant risk factors for lymphoma. Results of this study highlight: (1) the low number of dogs with lymphoma that are referred to specialists in the UK and (2) that few dogs undergo immunophenotyping (which can carry prognostic importance), emphasising the importance of epidemiological programmes that evaluate diseases presented to primary-care veterinarians.
What is your diagnosis? Subcutaneous inguinal mass in a Greyhound. Claudio Petterino, Ines Hoffmann. Vet. Clin. Pathol. August 2019;doi: 10.1111/vcp.12769. Quote: Although benign proliferative sebaceous gland lesions such as nodular sebaceous gland hyperplasia or sebaceous adenoma are commonly seen in the skin of dogs, the cytologic features of a poorly differentiated sebaceous gland carcinoma with fibroblastic reaction are infrequently described in the literature. ... Proliferative lesions arising from sebaceous glands are subclassified in five subtypes as follows: sebaceous gland hyperplasia, sebaceous adenoma, sebaceous gland ductal adenoma, sebaceous gland epithelioma, and sebaceous gland carcinoma. The latter is considered to occur uncommonly in dogs and cats,2 and rarely in other domestic animals. No sex predilection has been reported; however, some canine breeds (eg, Cavalier King Charles spaniel, cocker spaniel, Siberian husky, Samoyed, and West Highland white terrier) seem to be predisposed. In dogs, sebaceous gland carcinoma mostly occurs on the head and neck ... Therefore, complete surgical excision with wide margins can be curative.
Ivermectin inhibits canine mammary tumor growth by regulating cell cycle progression and WNT signaling. Hongxiu Diao, Nan Cheng, Ying Zhao, Huihao Xu, Haodi Dong, Douglas H. Thamm, Di Zhang, Degui Lin. BMC Vet. Res. August 2019; doi: 10.1186/s12917-019-2026-2. Quote: Background: Mammary gland tumor is the most common spontaneous tumor in intact female dogs, and its poor prognosis remains a clinical challenge. Ivermectin, a well-known anti-parasitic agent, has been implicated as a potential anticancer agent in various types of human cancer. However, there are no reports evaluating the antitumor effects of ivermectin in canine mammary tumor. Here, we investigated whether ivermectin was able to inhibit canine mammary tumor development and explored the related mechanisms. Results: Ivermectin inhibited the growth of canine mammary tumor cell lines in a dose- and time-dependent manner. The antitumor effects induced by ivermectin were associated with cell cycle arrest at G1 phase via downregulation of CDK4 and cyclin D1 expression, with no significant induction of apoptosis. Furthermore, significantly reduced β-catenin nuclear translocation was observed after treatment with ivermectin, resulting in the inactivation of WNT signaling. Consistent with the results in vitro, a significant suppression of tumor growth by ivermectin was observed in canine mammary tumor xenografts. Conclusion: Ivermectin, as a promising anti-cancer agent, inhibits the growth of canine mammary tumor by regulating cell cycle progression and WNT signaling.
Breed-related expression patterns of Ki67, γH2AX, and p21 during ageing in the canine liver. Laura J. A. Hardwick, Andre J. Kortum, Fernando Constantino-Casas, Penny J. Watson. Vet. Res. Commun. December 2020; doi: 10.1007/s11259-020-09784-x. Quote: Cellular senescence is a molecular hallmark of ageing that is associated with multiple pathologies, and DNA damage marker γH2AX, together with cell cycle inhibitor p21, have been used as senescence markers in multiple species including dogs. Idiopathic canine chronic hepatitis has recognised breed-related differences in predisposition and prognosis, but reasons behind this are poorly understood. This retrospective study using archived post mortem tissue aimed to provide insight into liver ageing in 51 microscopically normal canine livers across seven breed categories [including 10 cavalier King Charles spaniels (19.6%) aged from 1 to 14 years], including those with and without increased risk of chronic hepatitis. Immunohistochemistry was conducted for γH2AX, p21, and cell proliferation marker Ki67, and the mean number of positive hepatocytes per high power field was determined. All three markers were strongly correlated to each other, but no age-dependent expression was seen in the combined study population. ... Age-dependence of marker expression was analysed within each breed group and ... CKCS showed a positive correlation between Ki67 and age. ... Overall expression levels were low in most dogs, with median values representing less than 1.5% of hepatocytes, but this increased to 20-30% in individual dogs at the upper end of the range. Individual breed differences were noted in two breeds that have increased risk of chronic hepatitis, with English Springer Spaniels having lower expression of Ki67 than other dogs, and Labradors having higher expression of Ki67 and γH2AX than other dogs. These results warrant further investigation in these breeds and highlight a need to validate reliable markers of cellular senescence in dogs.
Randomized controlled clinical study evaluating the efficacy and safety of intratumoral treatment of canine mast cell tumors with tigilanol tiglate (EBC-46). Thomas R. De Ridder, Justine E. Campbell, Cheryl Burke-Schwarz, David Clegg, Emily L. Elliot, Samuel Geller, Wendy Kozak, Stephen T. Pittenger, Jennifer B. Pruitt, Jocelyn Riehl, Julie White, Melissa L. Wiest, Chad M. Johannes, John Morton, Pamela D. Jones, Peter F. Schmidt, Victoria Gordon, Paul Reddell. J. Vet. Intern. Med. January 2021; doi: 10.1111/jvim.15806. Quote: Objective: To evaluate the efficacy and safety of tigilanol tiglate (TT) for local intratumoral treatment of mast cell tumors (MCTs) in dogs. Methods: A randomized controlled clinical study in 2 phases involving 123 dogs with cytologically diagnosed MCT. Phase 1 compared 81 TT-treated dogs with 42 control dogs; phase 2 allowed TT treatment of control dogs and retreatment of dogs that failed to achieve tumor resolution after TT treatment in phase 1. Tigilanol tiglate (1 mg/mL) was injected intratumorally with dose based on tumor volume. Concomitant medications were used to minimize potential for MCT degranulation. Modified response evaluation criteria in solid tumors were used to evaluate treatment response at 28 and 84 days. Adverse events and quality of life were also assessed. Results: A single TT treatment resulted in 75% complete response (CR) (95% confidence interval [CI] = 61‐86) by 28 days, with no recurrence in 93% (95% CI = 82-97) of dogs by 84 days. Eight TT‐treated dogs that did not achieve CR in phase 1 achieved CR after retreatment, increasing the overall CR to 88% (95% CI = 77-93). Control dogs had 5% CR (95% CI = 1-17) at 28 days. Wound formation after tumor slough and wound size relative to tumor volume were strongly associated with efficacy. Adverse events typically were low grade, transient, and directly associated with TT's mode of action. Conclusions: Tigilanol tiglate is efficacious and well tolerated, providing a new option for the local treatment of MCTs in dogs.
Recurrence-free interval 12 months after local treatment of mast cell tumors in dogs using intratumoral injection of tigilanol tiglate. Pamela D. Jones, Justine E. Campbell, Graham Brown, Chad M. Johannes, Paul Reddell. J. Vet. Intern. Med. January 2021; 10.1111/jvim.16018. Quote: Background: Tigilanol tiglate (TT) is a novel small molecule approved by the European Medicines Agency for intratumoral treatment of mast cell tumors (MCTs) in dogs. In a randomized controlled clinical efficacy and safety study in the United States, 85 of 116 dogs that received a single TT injection achieved complete response (CR) of the treated MCT by day 28. : Objective: To evaluate the durability of the TT treatment response achieved at day 28 in the U.S. study by assessing MCT recurrence at the treatment site 6 and 12 months after TT administration. Animals: Eighty-five dogs previously treated with TT. Methods: Dogs that achieved CR at day 28 were assessed retrospectively for the presence or absence of MCT at the treatment site using records from clinical visits and telephone interviews with owners. Dogs unavailable at an assessment time were considered lost-to-follow-up and data for their last assessment used in the final analysis. Results: By 12 months after TT treatment, 64 dogs remained evaluable, with 21 unavailable. Of evaluable patients, 57 (89%) remained tumor free at the treatment site and 7 (11%) had developed recurrence. All recurrences occurred within the first 6 months, predominantly (5/7, 71%) within the first 12 weeks. Conclusions and Clinical Importance: Tigilanol tiglate provided a durable long‐term local response for the treatment of MCT in dogs.
Non-neoplastic anal sac disorders in UK dogs: Epidemiology and management aspects of a research-neglected syndrome. Dan G. O'Neill, Anke Hendricks, Jennifer A. Phillips, Dave C. Brodbelt, David B. Church, Anette Loeffler. Vet. Rec. March 2021; doi: 10.1002/vetr.203. Quote: Background: Non-neoplastic anal sac disorders (ASD) are frequent presentations for dogs in primary-care practice but evidence-based information on disease occurrence and risk is sparse. This study estimates prevalence, breed associations and other risk factors as well as reporting on clinical management. Methods: A cohort study of dogs attending VetCompass practices between 1 January 2013 and 31 December 2013. Risk factor analysis used multivariable logistic regression methods. Results: Of 104,212 dogs attending 110 UK practices, the 1-year period prevalence of ASD was 4.40% (95% CI: 4.22-4.57). Compared to crossbreds, six breeds showed increased odds of ASD (Cavalier King Charles spaniel, King Charles spaniel, Cockapoo, Shih-tzu, Bichon Frise and Cocker spaniel), and six breeds showed reduced odds (Labrador Retriever, Border collie, Staffordshire Bull Terrier, Lurcher, German Shepherd Dog and Boxer). Brachycephalic types had 2.6 times the odds for ASD compared to dolichocephalic types. Medication prescribed for ASD included antimicrobials (n = 480, 20.24%) and analgesics (n = 284, 11.97%). Anal sacculectomy was performed in under 1% of cases. Conclusions: High prevalence, strong breed predispositions and evidence of severity suggested from the antimicrobial and analgesic therapies combined with current substantial knowledge gaps identify ASD as a key research‐neglected syndrome in dogs.
Dog breeds and body conformations with predisposition to osteosarcoma in the UK: a case-control study. Grace L. Edmunds, Matthew J. Smalley, Sam Beck, Rachel J. Errington, Sara Gould, Helen Winter, Dave C. Brodbelt, Dan G. O'Neill. Canine Med. & Genetics. March 2021; doi: 10.1186/s40575-021-00100-7. Quote: Background: Osteosarcoma is an aggressive and painful bone neoplasm in dogs. Previous studies have reported epidemiological associations suggesting that large body mass, long bone length and the genetics of certain breeds including the Rottweiler are associated with elevated osteosarcoma risk. However, these studies were often limited by selection bias and confounding factors, and have rarely offered insights into breed-associated protection for osteosarcoma. The current study includes 1756 appendicular and axial osteosarcoma cases presenting to VPG Histology (Bristol, UK) compared against a control population of 905,211 dogs without osteosarcoma from primary care electronic patient records in the VetCompass™ dataset. Methods and study design: Retrospective, case-control study. Multivariable logistic regression analysis explored associations between demographic risk factors (including breed, chondrodystrophy, age, sex/neuter status, skull-shape, and body mass) and osteosarcoma of all anatomical sites. Results: We identified several breeds with increased and reduced odds of osteosarcoma. At highest risk were the Rottweiler and Great Dane, with >10 times the odds of osteosarcoma compared with crossbreds, and the Rhodesian Ridgeback, which has not featured in previous lists of at-risk breeds for osteosarcoma, and had an odds ratio of 11.31 (95% confidence interval 7.37-17.35). Breeds at lowest risk of osteosarcoma (protected breeds) included the Bichon Frise, the French Bulldog and the Cavalier King Charles Spaniel, all with odd ratios of less than 0.30 compared with crossbreds. Body mass was strongly associated with osteosarcoma risk; dogs over 40 kg exhibited osteosarcoma odds of 45.44 (95% confidence interval 33.74-61.20) compared with dogs less than 10 kg. Chondrodystrophic breeds had an osteosarcoma odds ratio of 0.13 (95% confidence interval 0.11-0.16) compared with non-chondrodystrophic breeds. Conclusions: This study provides evidence of strong breed-associated osteosarcoma risk and protection, suggesting a genetic basis for osteosarcoma pathogenesis. It highlights that breeds selected for long legs/large body mass are generally overrepresented amongst at-risk breeds, whilst those selected for short leg length/small body mass are generally protected. These findings could inform genetic studies to identify osteosarcoma risk alleles in canines and humans; as well as increasing awareness amongst veterinarians and owners, resulting in improved breeding practices and clinical management of osteosarcoma in dogs.
Computed tomography of a spontaneous subserosal duodenal haematoma in a cavalier King Charles spaniel. K. R. Schaul, J. J. Karnia, O. T. Skinner. J. Sm. Anim. Pract. June 2021; doi: 10.1111/jsap.13376. Quote: An 8-year-old, spayed female Cavalier King Charles Spaniel, weighing 13.8 kg, was presented to her primary care veterinarian after developing anorexia, vomiting, diarrhoea and progres sive abdominal distension that did not respond to outpatient therapy over the course of 1 week. Initial supportive care at a second veterinary hospital for suspected pancreatitis resulted in no clinical improvement. Physical examination following referral to the University of Missouri revealed abdominal distension and a right-sided abdominal mass, palpable caudal to the last rib. A pre- and post-contrast (Omnipaque 350, GE Healthcare) CT scan of the abdomen demonstrated a 5.9×4.5×8 cm, soft tissue- attenuating mass (average 61.3 Hounsfield units) with peripheral contrast enhancement and well-defined borders, eccentrically surrounding the descending duodenum and causing narrowing of the duodenal lumen (Fig 1A, B). Surgical exploration revealed a 6.5×6×3.5 dark red mass along the antimesenteric aspect of the descending duodenum, extending from the major duodenal papilla to the level of the caudal portion of the pancreas (Fig 1C). Incision of the mass revealed clotted blood between the serosal and muscularis layers of the duodenal wall (Fig 1D). Follow ing debridement, an intact, viable muscularis layer was revealed (Fig 1E) and the serosal defect was omentalised before closure. Histopathology of the mass was consistent with a haematoma; immunohistochemical staining with CD31 did not identify evidence of occult hemangiosarcoma. The dog recovered unevent fully and was clinically normal 15 months post-operatively.
Intratumoural Treatment of 18 Cytologically Diagnosed Canine High-Grade Mast Cell Tumours With Tigilanol Tiglate. Graham K. Brown, Justine E. Campbell, Pamela D. Jones, Thomas R. De Ridder, Paul Reddell, Chad M. Johannes. Front. Vet. Sci. August 2021; doi: 10.3389/fvets.2021.675804. Quote: Canine high-grade mast cell tumours (HGMCT) are associated with a poor prognosis, are inherently more invasive, and have higher rates of local recurrence. The primary aim of this retrospective study was to assess the efficacy of intratumoural tigilanol tiglate (TT) as a local treatment option. Eighteen dogs with mast cell tumours (MCT) cytologically diagnosed by veterinary pathologists as either high-grade or suspected high-grade MCT were treated with TT. ... Larger breed or mixed breed dogs were over-represented with Staffordshire Bull Terriers making up over a quarter of the group and no other breed had more than one individual. ... The TT dose was based on tumour volume (0.5 mg TT/cm3 tumour volume) and delivered intratumourally using a Luer lock syringe and a fanning technique to maximise distribution throughout the tumour mass. Efficacy was assessed on the presence/absence of a complete response (CR) to therapy at days 28 and 84 using response evaluation criteria in solid tumours (RECIST). For dogs not achieving a CR after 28 days, the protocol was repeated with a second intratumoural TT injection. Ten out of 18 dogs (56%) in this study achieved and maintained a CR to at least 84 days after their first or second treatment. Six patients were alive and available for evaluation at 2 years, three of those were recurrence free, and a further three patients were recurrence free following a second treatment cycle. Tigilanol tiglate shows efficacy for local treatment of HGMCT, with higher efficacy noted with a second injection if a CR was not achieved following the first treatment. In the event of treatment site recurrence (TSR), the tumour may be controlled with additional treatment cycles. Tigilanol tiglate provides an alternative local treatment approach to dogs with HGMCT that would either pose an unacceptable anaesthetic risk or the tumour location provides a challenge when attempting surgical excision.
Lokivetmab improved pruritus in a dog with cutaneous epitheliotropic lymphoma. Kiyohiko Inai, Keita Kitagawa, Mami Murakami, Toshiroh Iwasaki. J. Vet. Med. Sci. December 2021; doi: 10.1292/jvms.21-0346. Quote: A 13-year-old spayed female Cavalier King Charles Spaniel presented with chronic swelling and pruritus on the palmar aspect of the left forepaw and on the tail. Cutaneous epitheliotropic lymphoma (CEL) was diagnosed by histopathology and immunocytochemistry. Prednisolone was initially used alone as an alternative treatment for CEL. Despite long-term corticosteroid therapy, the patient's physiological (pruritus) and dermatological signs (alopecia, erythema, erosion, and ulceration with crust) progressed and showed no evidence of improvement. To address the worsening condition of pruritus, lokivetmab was started in combination with prednisolone. Once on lokivetmab, the pruritus steadily improved and was effective in resolving and maintaining remission. ... In human medicine, it has been reported that the expression of serum IL-31 in cutaneous T-cell lymphoma (CTCL) patients is upregulated. Decreasing serum IL-31 levels are correlated with the resolution of pruritus in CTCL patients. Lokivetmab, a monoclonal antibody used to treat CAD [canine atopic dermatitis], is reported to neutralize IL-31 and mitigate canine pruritus. Although lokivetmab is not indicated for the treatment of CEL, it was used in the hope of reducing pruritus. In this case of CEL, lokivetmab decreased pruritus. Thus, anti-IL-31 therapy appears to be a potential treatment option in controlling pruritus associated with CEL in dogs. ... Further investigation on the critical role of IL-31 in the pruritus pathway of dogs with CEL is required.
Large granular lymphocyte lymphoma in the skin and urinary bladder of a dog. Mami Adachi, Hirotaka Igarashi, Minoru Okamoto, Takashi Tamamoto, Yasutomo Hori. J. Vet. Med. Sci. January 2022; doi: 10.1292/jvms.21-0201. Quote: A 10-year-old female Cavalier King Charles Spaniel presented with hematuria, pollakiuria and skin rash. Based on the histopathological and cytological examination of the skin and bladder mucosa, the dog was diagnosed with large granular lymphocytic (LGL) lymphoma of the bladder and skin. The dog responded well to the initial chemotherapy with nimustine for 3 months. Since recurrence of skin erosion and bladder wall thickening were observed, the dog was subsequently administered chemotherapy with other anticancer drugs, including chlorambucil, vincristine, doxorubicin, L-asparaginase, cytosine arabinoside, and cyclophosphamide. The dog survived for 11 months and died due to tumor-related disseminated intravascular coagulation. This is the first report of a canine case of LGL lymphoma in the skin and bladder.
Metastatic osteosarcoma tumor thrombus in a Cavalier King Charles Spaniel presenting with dyspnea. Alex Shirlow, Kieran Borgeat, Nicolette Hayward, Emma Scurrell, Jessie Rose Payne. J. Vet. Cardiol. March 2022; doi: 10.1016/j.jvc.2022.03.003. Quote: A six-year-seven-month-old female neutered Cavalier King Charles Spaniel was referred for investigation of progressive dyspnea and hyphema in the right eye with secondary glaucoma. Previous medical history included a high-grade soft tissue spindle cell sarcoma removed from the cranial sternal region one year before. On presentation at the referral hospital, the dog was tachypneic and dyspneic. The heart rhythm was regular and there was a soft left-sided systolic murmur. Echocardiography identified the presence of a mass significantly occluding left heart inflow, with no other lesions identified. Thoracic radiographs documented a localized alveolar pattern within the left caudal lung lobe. The size of the heart and pulmonary vessels were within normal limits, indicating a non-cardiogenic alveolar pattern. Given the clinical presentation of dyspnea and high index of suspicion of intra-cardiac neoplasia, the dog was considered to have a grave prognosis and therefore euthanized. Post-mortem gross and histopathologic examination revealed the presence of a metastatic osteosarcoma tumor thrombus in the left atrium and pulmonary vein, metastatic osteosarcoma infiltrating the myocardium, lungs, the uveal tract of the right eye, and both adrenal glands. Whitney grade II myxomatous changes were noted on the mitral and tricuspid valve leaflets. This report describes an unusual intra-cardiac tumor thrombus in a dog presenting with dyspnea. Cavalier King Charles Spaniels presenting with dyspnea often raise suspicion for myxomatous mitral valve disease. However as demonstrated in this case, other more unusual causes of dyspnea should also be considered in the absence of classic clinical findings.
Cutaneous epitheliotropic lymphoma (CETL) in dogs: Regarding two clinical
cases.
arolina
Maturana Nolia. Univ. Autònoma de Barcelona. June 2022. Quote: Introduction
and objectives: CETL is a neoplastic disease characterized by the
infiltration of T lymphocytes into the epidermis. The object of this study
is to review clinical and experimental articles and compare the information
obtained to two clinicalcases. ... Case 1: Patient: Cavalier King
Charles Spaniel, female, 9 years old [right]. Previous
history: cutaneous problems - allergy. Progression: 8-9 months. Multifocal
alopecia, generalized desquamation, pruritus, and mucocutaneous lesions.
Treatment: 1st Lomustine + prednisone, 2nd rabacfosadine + prednisolone, 3rd
masitinib + prednisolone, 4th CHOP, and 5th chlorambucil. Response: Complete
remission for 3 months with rabacfosadine. Progression of the disease
resulting in death under palliatives. ... Conclusion: Due to its low
prevalence and difficulty to follow up on cases, the information concerning
CETL is scarce. The cytotoxic drugs used in both cases are the most common
for CETL, and likewise, the need to use more than one therapy is frequent.
Radiotherapy is applied in animals with localized lesions, as in case 2.
This therapy was applied after the dog showed resistance to cytotoxic drugs
that are usually used. The time of survival of both dogs was within the
expected considering the presentation of the lesions.
Evaluation of the anti-tumour activity of Coriolus versicolor polysaccharopeptide (I'm-Yunity) alone or in combination with doxorubicin for canine splenic hemangiosarcoma. Allison Gedney, Pascale Salah, Jennifer A. Mahoney, Erika Krick, Reenie Martins, Heather Scavello, Jennifer A. Lenz, Matthew J. Atherton. Vet. & Comparative Oncology. September 2022; doi: 10.1111/vco.12823. Quote: Canine splenic hemangiosarcoma (HSA) is an aggressive tumour of vascular endothelium that carries a grave prognosis following standard of care treatment with surgery and doxorubicin. A previous pilot study revealed potential anti-tumour activity of I'm-Yunity polysaccharopeptide (PSP) for canine HSA. The aim of this prospective study was to assess patient outcome when treated with PSP alone or in combination with doxorubicin post-splenectomy compared to patients treated with surgery and doxorubicin that received a placebo in place of PSP. Dogs undergoing splenectomy for splenic HSA were eligible. Following splenectomy, owners were offered treatment with PSP alone or adjuvant doxorubicin chemotherapy (unblinded). Patients with owners that selected to proceed with doxorubicin chemotherapy were blindly randomized to receive placebo or PSP. Dogs were evaluated weekly for 15 weeks, then scheduled for monthly visits until death. One hundred and one dogs were included in the final analysis: 51 PSP alone, 25 doxorubicin/placebo, and 25 combination PSP/doxorubicin. On multivariate analysis, dogs treated with single agent PSP, female dogs, decreased haematocrit at diagnosis, and stage III disease were negatively significantly associated with outcome; however, an interaction between treatment group and sex was documented. Gender-specific outcomes revealed no significant difference in survival between treatment groups for male dogs, but female dogs treated with PSP alone had significantly reduced survival compared to females receiving doxorubicin/placebo (HR 0.21; p = .004). Anaemia (HR 5.28; p < .001) and stage III disease (HR 2.9; p = .014) remained negatively associated with survival when controlling for sex and treatment group. The addition of PSP to doxorubicin post-splenectomy did not improve survival in dogs with splenic HSA.
Clinical course and MRI lesion progression over four year in a dog with final diagnosis of high-grade oligodendroglioma in the forebrain. F. Graciolli Tomazi, V. M. Stein, A. Oevermann, F. Meneses, A. Maiolini. Vet. Suisse Fakultat, Univ. Bern. September 2022. Quote: Introduction: Oligodendroglioma is a common primary intracranial tumour in dogs, that can present as cystic lesions, with possible intralesional hemorrhages, usually characterized as a well-defined mass, Dogs with oligodendroglioma can remain stable over several years without specific treatment, particularly if no radiological progression is seen. This report describes serial clinical and imaging findings of a young dog with high-grade oligodendroglioma, that has been clinically and radiologically stable for four years, before acute deterioration occurred. Signalment, Timeline, & Overview of the Clinical Case: Female intact Cavalier King Charles Spaniel, 9-monthold at time of 1st presentation. Onset of paroxysmal episodes of pain and cervical scratching at age 6 months ... At 9 months: Primary brain tumor suspected; initiation of pallative treatment with dexamethasone, omeprazole, and gabapentine. ... Acute onset of generalized tonic-clonic seizures, rapid neurological deterioration to sudden death at 4 years and 9 months. ... Final pathological diagnosis: Anaplastic oligodendroglioma (WHO grade III) with subarachnoidal and intraventricular drop metastasis. Conclusion: This is the first report describing the long-term clinical course and MRI lesion progression of a dog eventually diagnosed with high-grade oligodendroglioma. Even though it remains unclear whether this tumor was a grade III/anaplastic oligodendroglioma from the beginning or progressed to a high grade tumor, it was present at very early age (9 months) and remained relatively stable over 3 years. The solid part of the tumor only increased with the last 1.5 years. Therefore, it might be worthwhile to implement pallative therapy and do regular follow-ups in oligodendroglioma. Although oligodendroglioma is a common primary intracranial tumor in dogs, survival data are scarce because of lack of systematic and prospective follow-up studies. It is highly desirable to collect prospective follow-up data from a large oligodendroglioma cohort to identify prognostic factors.
Clinical course and MRI lesion progression over four years in a dog with final diagnosis of high-grade oligodendroglioma in the forebrain. F. Graciolli Tomazi, V. M. Stein, A. Oevermann, F. Meneses, A. Maiolini. 34th Symposium ESVN-SCVN; P84. J. Vet. Intern. Med. September 2022; doi: 10.1111/jvim.17218. Quote: A 9-month-old female intact Cavalier King Charles Spaniel was presented with a 3-month history of paroxysmal episodes of pain and cervical scratching. MRI revealed a large left frontal lobe intra-axial complex cystic lesion with faint incomplete rim enhancement, transtentorial and transforaminal brain herniation, and cervical syringomyelia. A primary brain tumor (glioblastoma or anaplastic astrocytoma), or less likely a parasitic cyst where suspected. Palliative treatment (dexamethasone, omeprazole, gabapentine) reduced the frequency of the paroxysmal episodes. On MRI recheck 30 months later, the lesion showed comparable size, evidence of hemorrhage or mineralization, and regressive signs of increased intracranial pressure and perilesional edema. Considering the clinical evolution and rather benign biological behavior, porencephaly, congenital cystic malformations or less likely a parasitic cyst where then considered as differentials for the lesion. The patient remained clinically stable for another 19 months until generalized, tonic-clonic, epileptic seizures acutely occurred. The neurological status subsequently deteriorated over 48 hours to stupor, cardiovascular arrest and eventually death. Post-mortem MRI showed lesion progression characterized by increased size, increased soft tissue component, invasion of the left lateral ventricle, transtentorial and transforaminal brain herniation. Neuropathology revealed an anaplastic oligodendroglioma (WHO grade III) with subarachnoidal and intraventricular drop metastasis. Although oligodendroglioma is a common primary intracranial tumor in dogs, survival data are scarce because of lack of systematic and prospective follow-up studies. This is the first report describing the long-term clinical course and MRI lesion progression under palliative treatment of a dog eventually diagnosed with high-grade oligodendroglioma.
Tonsillar carcinoma in dogs: Treatment outcome and potential prognostic factors in 123 cases. Elisabetta Treggiari, MacKenzie A. Pellin, Giorgio Romanelli, Gianluca Maresca, Irina Gramer, Andrew D. Yale, Evi Pecceu, Matteo Pignanelli, Juan Borrego, Katarzyna Purzycka, Davide Berlato. J. Vet. Intern. Med. January 2023; doi: 10.1111/jvim.16623. Quote: Background: Tonsillar carcinomas are rarely reported in dogs. Information on outcome after treatment is sparse and prognosis is guarded to poor. Hypothesis/Objectives: Assess treatment outcome and potential prognostic factors in a population of dogs with cytological or histopathological diagnosis of tonsillar carcinoma. Animals: A total of 123 client-owned dogs with diagnosis of tonsillar carcinoma confirmed by cytology or histopathology. Methods: Retrospective, multi-institutional study. Medical records of 12 institutions were reviewed from 2012 to 2021 [, including 17 (14%) cavalier King Charles spaniels, the most predominent breed.] ... Our study population included 123 dogs. Interestingly, some breeds seemed overrepresented, particularly [cavalier King Charles] spaniels and collies. This observation is consistent with previous studies, and these breeds could be predisposed to developing tonsillar cancer. Results: Treatment included surgery, chemotherapy (conventional, tyrosine kinasenhibitors or metronomic chemotherapy), radiotherapy, nonsteroidal anti-inflammatory drugs (NSAIDs) or a combination of these. Surgery was performed in 68 cases, chemotherapy was administered in association with NSAIDs in 64 cases, NSAIDs were used alone in 14 cases and in association with surgery in 21 cases, whereas radiotherapy was used alone or in combination with surgery or chemotherapy in 20 cases. Overall survival time (OST) was 126 days (95% confidence interval [CI], 88-164). Significantly longer survival was seen in dogs without evidence of metastatic disease (median survival time, 381 days; 95% CI, 116-646). Other significant positive prognostic factors included absence of clinicals signs at presentation, surgery (tonsillectomy), use of adjuvant chemotherapy and use of NSAIDs. Conclusion and Clinical Importance: Asymptomatic dogs, those treated with surgery, those that received adjuvant chemotherapy, and those that received NSAIDs may have a better prognosis than previously expected, but overall survival remains short for dogs with tonsillar carcinoma.
A pilot study of chemotherapy combinations in rats: Focus on mammary cancer treatment in female dogs. Pereira Silva, Priscila Akemi Yamamoto, Marilia Carneiro de Araújo Machado, Fabiane Maria Fernandes Neves, Francine Johansson Azeredo, Ana Carolyne Santana dos Santos Silva, Nicole Hlavac, Denis de Melo Soares, Ana Leonor Pardo Campos Godoy, Alessandra Estrela-Lima. Res. Vet. Sci. March 2023; doi: 10.1016/j.rvsc.2023.01.009. Quote: The use of combined chemotherapy is an essential alternative in treating breast cancer. However, knowledge of the pharmacokinetics of drugs is necessary to obtain maximum efficiency of the protocol and reduce adverse reactions. This study suggests for the first time the effect of the association of carboplatin with ivermectin and carboplatin with cyclophosphamide. This investigation was performed with 36 healthy Wistar rats, divided into four groups: group control, carboplatin (C), carboplatin preceded by ivermectin (C + IV), and carboplatin associated with cyclophosphamide (C + CI). Plasma concentrations quantification was performed using the High-Performance Liquid Chromatographic (HPLC) equipment with an Ultraviolet (UV) detector at eight different time points. Then, the animal was euthanized and necropsied. The bioanalytical method was validated for the two matrices (dogs and rats' plasma), with full validation in female dogs and partial validation in rats, as recommended by the EMA. In both matrices, the method was linear and reproducible. Here, we show the results in female rats' plasma. When comparing the experimental rats' groups (C; C + IV, and C + CI), there is a tendency to increase the bioavailability of carboplatin when used in association, a slight increase for C + IV and more evident to the C + CI group with an AUC rise higher than 2-fold (AUC0-∞ = 2983.61 for C; 4459.06 for C + CI; 7064.68 for C + CI min·mg·mL−1). The blood count, biochemistry profile, and histopathology of the organs revealed only alterations inherent to the metabolic effects of the drugs used. The carboplatin association with ivermectin appeared safe for this pilot group. We believe the carboplatin dose can be maintained without risk to the patient. However, in the carboplatin association with cyclophosphamide, a slight reduction in carboplatin's amount is suggested, seeking to avoid increased effects due to cyclophosphamide. Thus, studies with a more significant number per group must confirm the relevance of this pilot study.
Analyses of combination chemotherapy effectiveness for canine transmissible venereal tumor in 188 indigenous dogs. A Sabarinathan, Chhavi Gupta, A Thangamani, A Ganesan, M Balagangatharathilagar, Dr. V Prabaharan. Pharma Inovation J. April 2023; 12:4. Quote: Canine transmissible venereal tumor occurs in sexually active dogs of tropical and subtropical region. The tumor is of near constant karyotypic variation of 58-59 chromosomes against the normal chromosomes number of 78 in dogs. Southern district of Tamil Nadu state is well known for the pure germplasm of indigenous dog breeds namely, Chippiparai, Kanni, Rajapalayam and Kombai such indigenous breeds were more prone for the Canine Transmissible Venereal Tumor (CTVT). The study was carried out in 188 indigenous dogs confirmed with CTVT. In Group I 94 dogs were treated with Inj. Vincristine sulfate @ 0.025 mg per kg b.wt via Intravenous (IV) route at 7 days interval 4-8 doses. In group II 94 dogs were treated with Inj. Vincristine sulfate @ 0.025 mg per kg b.wt via Intravenous (IV) route along with Inj. Ivermectin @ 200 mcg per kg b.wt subcutaneous (SC) at 7 days interval 4-6 doses.
Vertebral Angiomatosis in a Dog. Teresa Gagliardo, Teresa Bruna Pagano, Silvana Lo Piparo, Veronica Bifara, Filena Bono, Salvatore Ruffino, Filippo Cinti. J. Am. Anim. Hosp. Assoc. January 2024; doi: 10.5326/JAAHA-MS-7384. Quote: A 3 yr old spayed female Cavalier King Charles spaniel was referred for insidious ataxia and paraparesis. A thoracolumbar lesion was suspected. Computed tomography showed focal osteolysis of the vertebral body and pedicles of T5. In addition, a hyperdense, extradural material within the vertebral canal, causing spinal cord compression on the right side, was present. The lesion was confirmed with magnetic resonance imaging. A T4-T5 hemi-dorsal laminectomy was performed to decompress the spinal cord. Histopathological examination was consistent with vertebral angiomatosis. After the surgery, the dog rapidly improved; however, 5 mo later the clinical signs relapsed. Vertebral angiomatosis is a vasoproliferative disorder, rarely reported as a cause of myelopathy in cats. This condition has not previously been reported in dogs. This case report describes the clinical features, the diagnostic findings, and the follow-up of a young dog with vertebral angiomatosis.
Risk factor analysis and clinicopathological characteristics of female dogs with mammary tumours from a single-center retrospective study in Poland. Izabella Dolka, Michał Czopowicz, Diana Stopka, Agata Wojtkowska, Ilona Kaszak, Rafał Sapierzyński. Sci. Rept. March 2024; doi: 10.1038/s41598-024-56194-z. Quote: This is a comprehensive retrospective study to characterize female dogs with canine mammary tumors (CMTs) using a dataset retrieved from the archives of the Division of Animal Pathology, Institute of Veterinary Medicine in Warsaw, and to identify prognostic factors. Clinical and histopathological data of 1447 dogs with CMTs were included. Malignant tumours were found in 83.3% (n = 1206), benign tumours in 11.7% (n = 169), and non-neoplastic lesions in 5.0% (n = 72) of dogs. Dogs most often had grade II carcinomas (38.2%, 215/562) of a single histological subtype (88.5%, 1281/1447), mostly simple carcinoma (35.3%, 510/1447). Dogs with a median age of 10 years significantly often had larger (> 3 cm) and malignant CMTs, whereas intact females had smaller tumours (median size 2.0 cm). However, the threshold value for the age of the dog in the differentiation of malignant and non-neoplastic/benign masses could not be determined. Most females were hormonally active (76.4%, 372/487). Hormonally active dogs significantly more often had multiple tumours. Multiple tumours were significantly smaller (median 2.5 cm) than single ones. Among pedigree dogs, small-breed dogs were mostly recorded (43%, 428/1006). Twelve breeds had an increased risk of CMTs, regardless of tumour behaviour, compared with the theoretical distribution of pedigree dogs in Poland. Four breeds were often affected only by malignant and other four breeds only by non-neoplastic/benign CMT. Large-breed dogs were significantly younger and affected by larger CMT (median 4 cm) compared with small- and medium-breed dogs. ... Based on the theoretical distribution of female pedigree dogs in Poland according to available registers of the Polish Kennel Club from years 2009-2019 ... fifteen breeds were significantly under-represented: ... Cavalier King Charles Spaniel. ... Cavalier King Charles Spaniel... were significantly underrepresented among dogs with malignant CMT. ... Ninety dogs with a malignant CMT and complete records were included in the full analysis of CMT-specific survival (CMT-SS) with a median follow-up time of 20.0 months. We showed that the timing of ovariohysterectomy in relation to mastectomy was significantly associated with grade, CMT-SS, and CMT-related death. We indicated the low diagnostic accuracy of palpation of regional lymph nodes (RLN) in the prediction of their metastatic involvement. By multivariable analysis, dogs with neoplastic emboli, tumour ulceration, and simple or complex carcinoma had a significantly higher risk of local recurrence. Tumour size > 3 cm was as a strong independent predictor of lung metastases. Compared with dogs with an easily separated localized tumour, dogs with a multiple/diffuse malignant CMT pattern had a fivefold higher risk of death. The risk of death was significantly higher in the presence of neoplastic emboli (~ fivefold) and tumour ulceration (~ fourfold). Furthermore, the presence of neoplastic emboli and large tumour size were independent predictors of CMT-related death.
Clinical course and MRI lesion progression over 4 years in a dog with final diagnosis of high-grade oligodendroglioma. Fabiana Graciolli Tomazi, Veronika M. Stein, Anna Oevermann, Felix Meneses, Arianna Maiolini. Vet. Rec. Case Rpts. November 2024; doi: 10.1002/vrc2.1037. Quote: A 9-month-old Cavalier King Charles Spaniel with 3-month history of paroxysmal episodes of cervical pain and scratching had a magnetic resonance imaging revealing a large intra-axial cystic lesion in the left frontal lobe, caudal transtentorial and foraminal brain herniation, and cervical syringomyelia. Despite suspected high-grade glioma, clinical signs improved under palliative treatment. Follow-up magnetic resonance imaging 2.5 years later showed a similar lesion size, with no radiological evidence of increased intracranial pressure. The differential diagnosis was reconsidered to possibly porencephaly, congenital cystic malformation or parasitic cyst. The dog remained clinically stable for 19 months before developing acute generalised, single, self-limiting seizures, deteriorating to cluster seizures, stupor, cardiovascular arrest and death. Postmortem magnetic resonance imaging revealed lesion progression with ventricle invasion. Neuropathology confirmed a high-grade oligodendroglioma with subarachnoid and intraventricular drop metastasis. This is the first report describing long-term clinical course and magnetic resonance imaging lesion progression under palliative treatment of a dog ultimately diagnosed with high-grade oligodendroglioma. (See also this September 2022 abstract report of this case.)
Recurrence rate of corneal squamous cell carcinoma in dogs undergoing superficial keratectomy surgery. Helen Mather, Robin G. Stanley. Open Vet. J. November 2024; doi: 10.5455/OVJ.2024.v14.i11.35. Quote: Background: Corneal squamous cell carcinoma (cSCC) is a rare neoplasm of dogs that can be treated with various modalities, principally by superficial keratectomy (SK) surgery. It is common to treat cSCC with multiple adjunctive therapies, but this may not always be practical for clinicians, clients, or patients. Aim: This retrospective study describes the signalment of affected dogs, concurrent medical therapy, and success rate of surgical treatment of cSCC with SK surgery alone or in combination with adjunct therapy. Methods: Eligible dogs undergoing SK surgery for histologically confirmed cSCC were selected from medical records (2009-2024) of Animal Eye Care, Melbourne. Records were examined for cSCC recurrence at follow up. Results: Between January 2009 and August 2024, 16 eyes from 14 dogs (5 male; 35.7% (37.5% eyes), 9 female; 64.3% (62.5% eyes) had a confirmed histopathological diagnosis of cSCC following SK surgery. All cases were diagnosed within the last 9 years. There was a notable predilection of brachycephalic breeds (85.7% of dogs; 81.3% of eyes) with pugs the most overrepresented (42.9% of dogs; 37.5% of eyes). ... Brachycephalic breeds -- Pugs, Bulldogs, and Cavalier King Charles Spaniels, were overrepresented accounting for 81.3% (13/16) of study cases. ... The majority of eyes (15/16) featured a chronic inflammatory condition or prior chronic irritation (Table 5). All Pugs and Cavalier King Charles Spaniels included in the study displayed concurrent pigmentary keratitis making this the most prevalent pre-existing condition in this series. ... The average age at diagnosis was 8.7 years (range 2.1-13.8). Tumor recurrence occurred in two cases following incomplete excision, with no tumor recurrence reported following a second SK surgery. Adjunctive therapy was used in four cases and included cryotherapy and topical interferon alpha-2a. At the time of diagnosis, 12 out of 16 eyes had been treated previously with topical immunomodulatory therapy. Prevalence data varied but peaked in 2021 with 0.14% of total patients and 0.82% of all brachycephalic patients diagnosed with cSCC. Conclusion: Complete excision of cSCC by SK surgery is effective for preventing the recurrence of cSCC in dogs, even in the absence of adjunctive therapies. Dogs with chronic corneal inflammatory conditions, particularly brachycephalic breeds, are at higher risk for developing cSCC. Corneal SCC should be suspected in middle-aged brachycephalic dogs presenting with proliferative, raised, or hyperaemic corneal lesions.
The epidemiology of mast cell tumours in insured dogs in Sweden. Karolina Engdahl, Sara Saellstrom, A.Åke Hedhammar, Maria Dimopoulou, Henrik Ronnberg. Preventative Vet. Med. May 2025; doi: 10.1016/j.prevetmed.2025.106589. Quote: Background: Mast cell tumour (MCT) is the most common skin neoplasia in dogs. This study aimed to explore the incidence rate, cause-specific mortality rate and risk factors (breed, age, gender) for MCT in insured dogs in Sweden (2011-2016). Results: The study population of this cohort study included just over 600,000 dogs, which either were insured for veterinary care, life, or both. There were 917 dogs with veterinary care claims for MCT, and the incidence rate was 5.23 (95% confidence interval (CI): 4.90-5.58) cases per 10,000 dog-years at risk (DYAR). The risk of MCT was higher in females than in males (relative risk (RR) 1.29, 95% CI: 1.13-1.48, P < 0.001). The breeds at highest risk were the Dogo Argentino (RR 30.0, 95% CI 9.70-70.2) and Boxer (RR 9.78, 95% CI 7.02-13.3), while the Jamthund (RR 0.10, 95% CI 0.01-0.35) and Cavalier King Charles spaniel (RR 0.06, 95% CI 0.00-0.35) had the lowest risk. The median age at first diagnosis was 7.93 (range 0.44-15.4) years. In total, 11.6% of the affected dogs suffered multiple MCT events. The cause-specific mortality rate was 0.79 (95% CI: 0.63-0.97) deaths per 10,000 DYAR, and 87 of all dogs that were covered by life insurance died of MCT-related causes at a median age of 8.33 years (range 2.16-11.7). The Shar-pei (RR 51.5, 95% CI: 13.7-137.0) had the highest risk of MCT-related death. Conclusions: MCT mainly affected middle-aged to older dogs, and large breed-related differences in the risk of MCT and MCT-related death were found.


CONNECT WITH US